院長の小笠原です。
今回は「歯ぎしり」についてお話ししたいと思います。
自分が「歯ぎしり」をしていると自覚ある方はいますか?
いや、ほとんどの方は自覚がありません。
「歯ぎしり」のほとんどは睡眠中に無意識のうちに行われるために、自分では自覚することはなく、家族に指摘されたり、歯医者さんで指摘されることが多いです。
ですので、指摘されても「なんのこっちゃ」「だから何?」と思う患者さんがほとんどです。
しかし、「歯ぎしり」は放っておいてはいけません!

「歯ぎしり」の歯への影響
①歯がしみる
歯ぎしりにより、歯がすり減ったり・欠ける事があります。歯の表面が欠けて内部が露出することで、知覚過敏を起こします。
②歯周病が進行する
歯ぎしりの強い力と往復運動により、歯が揺さぶられグラグラします。すでに歯周病の方は歯周病が悪化して早期に抜け落ちてしまうこともあります。
③顎関節症の原因に
歯ぎしりの影響は、歯だけでなく顎の骨にも伝わり、顎を動かす「顎関節」に負担をかけてしまいます。
④虫歯になる
歯ぎしりにより、歯に小さいヒビ(亀裂)が入ってしまうことがあります。目には確認しにくい小さなヒビですが、虫歯菌が入り込むことにより虫歯になります。
⑤被せ物(補綴物)が外れる・壊れる・欠ける
歯のつめものにもダメージがかかります。
⑥筋肉の疲労
噛むためには筋肉をたえず動かします。頬っぺたの筋肉・頭の横の筋肉・肩の筋肉などを使うために筋肉疲労や筋肉痛が起ります。片頭痛や肩こりの原因にもと言われます。
「歯ぎしり」は無意識下に非常に強い力で噛んでいます。自分でその力はコントロールできません。意識下では強く噛めて自分の体重(㎏)ぐらいの噛む力も、夜間では100㎏を超えると言われます。毎日の習慣のツケが回ってきた時には大変な事態になる患者さんが多くいます。

歯ぎしりの原因
そもそも、なぜ「歯ぎしり」をするのでしょうか?
結論として、原因は明確にされていません。
「日中のストレス」「不揃いな歯並び」「悪い噛み合わせ」が原因と考えられ、夜間に歯ぎしりをすることで「ストレス発散」だったり「噛み合わせを合わせる」ためと言われています。
脳の中枢からの信号で無意識的に行われているために、止める事はできません。
歯ぎしりには種類があります
一般的に言われる「歯ぎしり」ですが、実際はブラキシズム(悪習癖)と呼ばれ3種類に分けられます。それぞれが歯に悪影響を及ぼし、人によって行っていることが違います。
①グラインディング
いわるゆ「歯ぎしり」です。歯を左右に往復運動でギリギリします。
歯が減ったり欠けたり、歯周病にも影響を及ぼします。
②クレンチング
いわゆる「食いしばり」です。歯を噛み合わせて、強く力をいれて噛みしめます。日中に仕事など集中している時にみられるのも特徴です。
顎関節症や、筋肉疲労の原因になります。
③タッピング
「カチカチ」とリズムで噛み合わせる習慣です。
歯が欠けたり、ヒビが入ったり歯にダメージがかかります。
歯ぎしりセルフチェック
家族に指摘されると分かりますが、 ブラキシズムは自分ではわかりません。
自分で確認できる指標をまとめたいと思います。
①朝起きると、顎がだるい
歯ぎしりの運動で、咬筋が疲労するので起きると顎の筋肉がだるい感じがあります。
②下あごを左右どちらでも、ずらした時に、上下の歯の先端が一致する
歯ぎしりによって歯が摩耗(擦り減る)するために、上下の歯がそろいます。

③お口の中に骨の膨らみ(骨隆起)がある。
歯に負担がかかると、応力が骨に伝わり、骨が硬く膨らむ(骨隆起)体の防御反応が起きます。病気や異常なものと思う方がいますが、問題ありません。
1)口蓋隆起
上あごの中央部に骨の膨らみができます。

2)下顎隆起
下あごの内側に骨の出っ張りがでてきます。外側が膨らむ方もいます。

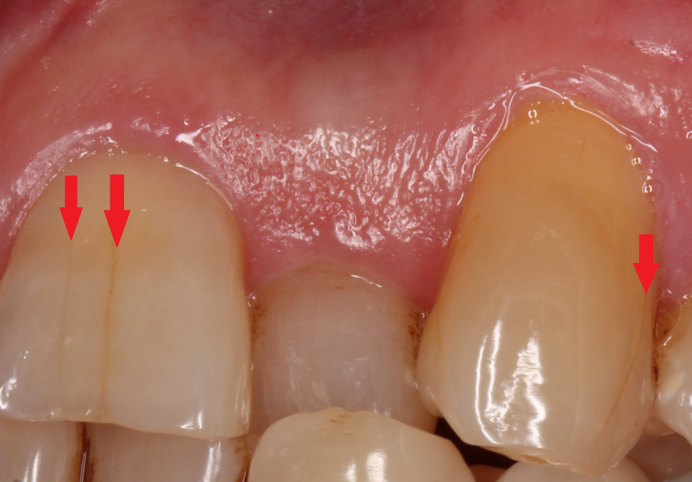
④歯のヒビ(マイクロクラック)
歯に負担がかかると、細かいヒビが入ることがあります。明るい場所で見たり、光を当てると見えやすいです。

⑤歯ぐきが下がる

⑥歯ぐきの際の段差(楔状欠損)
歯ぎしりで応力が集中すると「歯茎の際」の部分が欠けてしまいます。
楔状欠損・アブフラクションと呼ばれ、知覚過敏の原因になります。

⑦頬っぺたの内側に、白い線状の跡がある
食いしばるときに、頬っぺたの内側が巻き込まれて跡が付きます。
いかがですか?当てはまる項目があれば要注意です。
これらは自分では気づきにくい症状です。お口の中は痛みが無ければあまり見る事はないと思いますので、是非チェックしてみてください。
次に、歯ぎしりの治療方法ですが・・・
今回はここまでにしておきます。
歯ぎしりは、早めに歯医者さんでチェックしてもらうことをおススメします。
お気軽にご相談ください(^^)/