院長の小笠原です。
前回「歯ぎしり」についてお話ししましたが、
☟
https://dental-atelier-jiyugaoka.com/cases/1140/
今回は続きで「歯ぎしりの治療法」についてお話ししたいと思います。
目次
歯ぎしりの治療方法
インターネットを検索すると色んな治療法が出てくると思います。
「ボトックス注射」や「薬物療法」と施術が必要なことから、
「催眠療法」「ストレスコントロール」・・・
「寝具選び」まで(笑)
もし噛み合わせが原因で「歯ぎしり」しているのであれば、
根本が解決されないので、まず第一優先は歯医者を選択すべきだと思います。
「顎関節症」の患者さんはなおさらです。
そのなかで、世界的に標準に行われている治療が「マウスピース治療」なので
今回は「マウスピース」を詳しくお話しします。
マウスピースの種類
歯ぎしり自体を止める事はなかなか難しいので、
歯科医院では対処法としてマウスピースを使ってもらうのが一般的です。
ナイトガード(スプリント)とも呼ばれ、寝ている時に歯に装着してもらいます。
歯や顎関節の負担が減るために、標準的に使用されます。
そしてナイトガードには種類があります。
一般の方は種類を自分で選択するのは難しいので説明したいと思います。
①ソフトタイプ(保険適応)
厚さ1mm~2mmくらいの柔らかいタイプです。シリコン用の素材を使い、患者さんの歯型に合わせて作ります。


ゴムみたいに柔らかいので曲げられます。
②ハードタイプ(保険適応)
歯型に合わせてプラスティックで作るので硬いタイプです。


ソフトタイプと違い、曲げられません。硬く、薄めです。
③ハードタイプ・スプリント(自費診療)
保険適応のマウスピースとの違いは、歯科技工士が噛み合わせを合わせて作製することです。完全オーダーメイドで顎の動きを再現させます。
それによりブラキシズムの負担を減らします。


完成したスプリントです。咬合器に装着して噛み合わせを合わせて作ります。
上の歯の模型に付いています。

均一に噛めるようにしてあります。
保険のハードタイプとは作製する材料が違います。
どのタイプのマウスピースを使えばいいの?
保険適応の場合は、ソフトかハードかは病院によって違います。
つまり歯科医師の裁量によって決まるのです。
では何が良いのでしょうか?
実際に患者さんのお口の中の状況によっても選択が違いますが、使わない方がよいものがあります。
誤ったものを使うことで、より症状が悪化することもあります。
論文にも様々な報告がされていますが、
ここでは私の考えでお話しさせていただきます。
①ソフトタイプについて
ブラキシズムの治療として用いるならハードタイプがおすすめです。
しかし、ソフトタイプ同様に歯科医師が噛み合わせを調整しないものはおすすめしません。
ハードタイプも保険適応の場合は、病院スタッフが作るところもあると思います。
しかし簡単に作られたものは歯ぎしりの負担を減らす構造になっていないために、本来は装着の当日に歯科医師が、プラスティックの材料を盛って、均一に力が分散するように調整することが推奨されます。

☝ハードタイプ(保険適応)の噛み合わせを合わせた状態
(色紙で噛み合わせを確認)

☝ハードタイプ(自費)スプリント
(色紙で噛み合わせを確認)
本来の目的である、ブラキシズムに対する負担の軽減を目的とする場合
その人の噛み合わせに合った「マウスピース」を作ることで歯を守れます。
自費のマウスピースは費用が歯科医院によって違います。

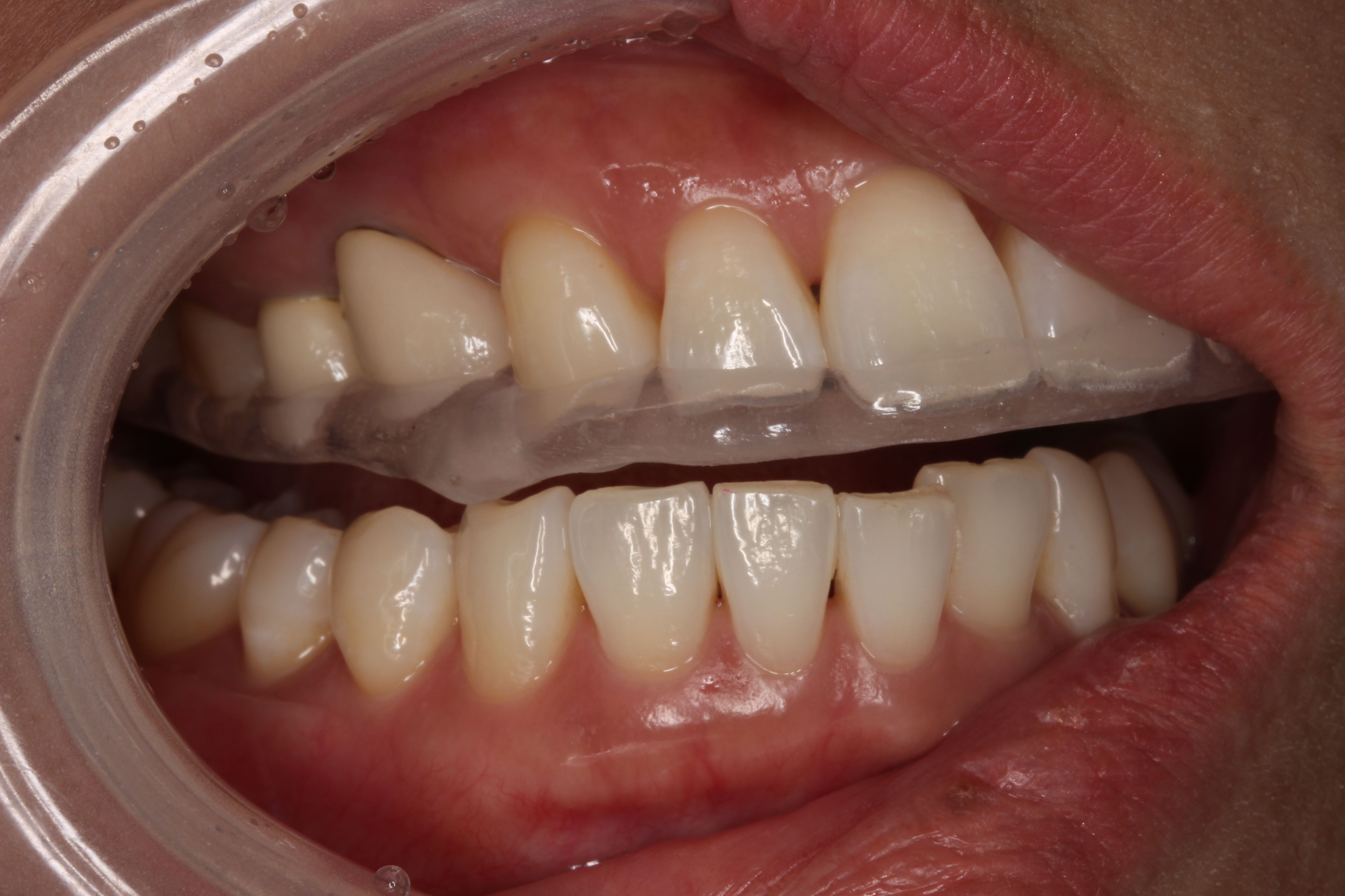
☝歯をずらした状態で負担がかからないように作られている。
市販のマウスピースって?
ネットで調べると睡眠時のマウスピースがたくさんあります。

構造を見ると、シリコン製で奥歯を噛む構造になっています。
ソフトタイプのものと考え方は同じでしょうか。
実際に私自身は使ったことがないので何とも言えませんが、
使いたいとも思いません。
おわりに
ブラキシズムの治療や、顎関節症の治療など、
噛み合わせの治療は、未だに確実な治療法は定まっておらず、歯科医師の技術や知識の裁量に任されています。
当院では、マウスピースは院長である私がすべて調整し、患者さんに使ってもらいます。そして自費用のマウスピースは「フェイスボウ」を行い、その人の顎の動きをチェックして信頼できる専門の歯科技工士に作成をお願いしています。
また、寝る前に行う顎周囲の筋肉のストレッチを行うことで、ブラキシズムの活動が低下する効果が期待できる方もいらっしゃいます。
治療に介入するのでストレッチの方法はここでは書きませんが、
お口のお悩み、相談はお気軽にどうぞ(^^)/