検診で虫歯が見つかった方です。
30代女性。症状はありませんでした。
レントゲン写真(エックス線)で奥歯の詰め物の中に虫歯が見つかりました。
お口の中を見てみても、

どこに虫歯があるか分かりませんね(*_*)
どこかというと、

赤枠で示したところに「レジン」というプラスティック樹脂の詰め物が入ってい
ます。
数年前に治療したようで、白い材料なので一見分かりません(*_*)
また手前の歯にもレジンが入っているのですが、
その歯と歯の間にも虫歯がありました。

ココですね。
レジンを削って行くと、

茶色い虫歯が出てきました。
表面から見ただけでは分からないですよね・・・
レントゲン写真を撮ることで、詰め物の内部の虫歯が分かります。
レントゲン写真は歯科ではとても大切な検査と言えます。
たまに「レントゲン写真は取りたくない」という患者さんがいるのですが、
病気の見逃しにつながる恐れがあるので、当院ではそういう希望の方はお断りさせていただいておりますm(__)m
※当院ホームページでも記載があります。
虫歯をすべて取りきり、
形を整えて型取りを行います。
今回は手前との歯の間も虫歯があり、
患者さんと相談し、セラミックインレー(部分的な詰め物)で修復を行います。

歯の色を記録して、その方に合ったセラミックインレーを製作します。
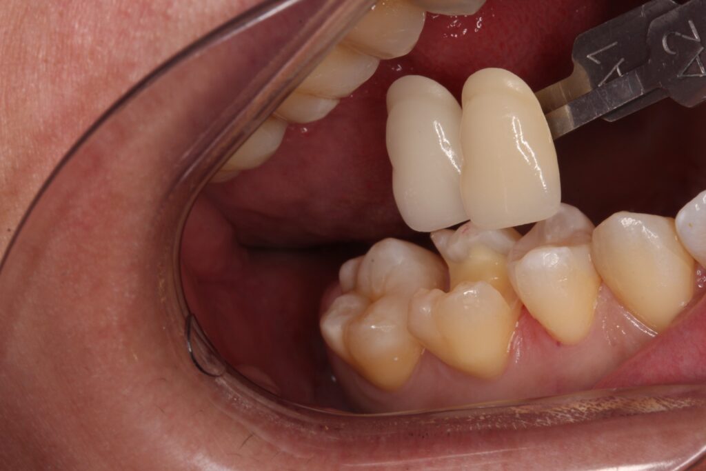
後日出来上がったインレーをセットします。

綺麗に仕上がりました(^^)/
どこを治療したか分からないですね。
治療前もレジンが入っていて治療の箇所が分からない感じでしたが(*_*)
確実に歯の内部の虫歯がなくなり、安心な状態になりました。
症状はないですが、内部の虫歯を放っておくと、
あとで神経を取らなければならない・・・
ということも多くあります。
検診で早めに虫歯がみつかるといいですね(^^)/
当院では歯により良い治療を提供しています。
そのため当院での虫歯治療は保険適応外です。
【治療費】
・セラミックインレー
費用:1本 110,000円
(別途型取り代がかかります)
【施術の副作用やリスク】
治療中または治療後に出血や痛みや腫れを伴う場合があります。