今回はセラミック?白い詰め物の中の虫歯の治療です。
お口の中を見てみると

奥歯に詰め物が入っています。
今回治療する歯は、

こちら(赤枠)の歯です。
よく見ると、セラミックの白い詰め物が入っています。
数年前に治療をしたようで、たまに違和感があるとの事です。
レントゲン(エックス線)検査で内部に虫歯の影を確認済みです。
通常通り、麻酔を行い詰め物を削って外していきましょう。

外してみると、中になにやら白い詰め物が入っています。
これはセメントというお薬です。
以前治療した先生が詰めたもので、
たぶん虫歯が大きかったので、神経を保護するようにセメントを詰めたようです。
そしてその上からセラミックを詰めてある、2段構造になっています。
しかし、よくみると

歯ぐきの際までセメントが詰めてあり、
その直下の歯ぐきが赤くなっています。
本来ですとセメントは内部に詰めて、周囲をセラミックで覆うように塞ぐのですが、今回はセメントがはみ出ています。
セメントを削り取ってみると、

セメントの下は茶色く虫歯が広がっており
う蝕検知液で染色してみると、

赤く色が染まってきます。
今回は、セメントとの隙間に虫歯が入り込んだことが原因の虫歯でした。
「セラミックを入れたら虫歯にならない」と説明する歯医者がありますが、
あくまで、
①内部の虫歯をしっかりと取りきる
②セラミックの詰め物を確実にセットする
③その後のケアをしっかりする
これを守った結果、再度虫歯になるリスクが減ります。
材料を使ったから大丈夫ではなく、しっかりとした歯科医師の治療と、
その後のご自身でのケアがなされなければ、良い治療をしても意味がありません(*_*)
虫歯を取り切り、
レジンでコーティング。
歯の形を整えます。

今回はしっかりと、歯と歯ぐきの境目が出ているのが分かると思います。

歯の境目(赤線)と、レジンコーティングの境目(青線)。
分かりにくいですよね(^^;
しかし、これでセラミックがしっかりとカバーするようにフィットします。
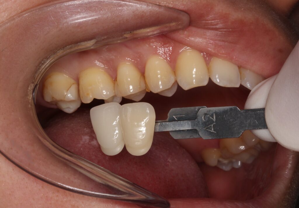
あとは歯型を取って、
歯の色を写真で記録して、

セラミックインレーを製作し、
後日セラミックをセットします。

綺麗に治療が終わりました(^^)/
しっかりとセラミックが隙間なく入ってくれれば、あとはケアするだけです。
フロスをしてもらい歯と歯の間の汚れを取るように心がけてくださいね(^-^)
歯の治療はどこでやっても同じではありません。
「治療費が安いからこっちの歯医者で」
その後のトラブルで来院される患者さんが毎日いらっしゃいますm(__)m
医療に安価を求めると、
再治療により余計に費用が掛かることが多いです。
その際に患者さんは、ほぼ泣き寝入りです。
しっかりと信頼できる腕のある先生かと、保証内容を確認してから治療を受けましょう。
当院では歯により良い治療を提供しています。
そのため当院での虫歯治療は保険適応外です。
【治療費】
・セラミックインレー
費用:1本 110,000円
(別途型取り代がかかります)
【施術の副作用やリスク】
治療中または治療後に出血や痛みや腫れを伴う場合があります。