世田谷・目黒区、自由が丘駅南口徒歩3分の歯医者
デンタルアトリエ自由が丘歯科の院長の小笠原です。
歯医者へ行くたびに虫歯になる解決策のお話も今回で最後となります。3回目の最後は歯の状態についてです。
前回までで、虫歯の予防方法についてお話しました。
》【虫歯になりやすい人編】
》【虫歯にならない歯のケア編】
こちらは新しく虫歯にならない上でとても重要ですので是非お読みいただきたいと思います。
ただこれらを実践していても、歯医者で虫歯が見つかってしまう場合があります。またケアをいくら頑張ったとしても、虫歯リスクが高い歯の状態というものがあります。
それは何でしょうか?
今回の記事をご理解いただき、歯のメンテナンスを行っていただくことで、今後の人生において歯医者で虫歯が見つかることが無いと言っても過言ではありません。
ではお話していきましょう(^^)/
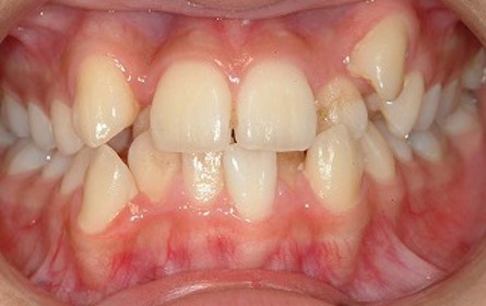
①歯磨きが出来ない「歯並び」
いくら歯磨きやフロスを頑張ったとしても、元々汚れが溜まりやすく、ケアが行き届かない歯並びというものがあります。それは「ガタガタの歯並び」「重なった歯並び」です。これを歯科では「叢生(そうせい)」と言います。

こちらに関しては良く分かりやすかと思います。歯並びが悪く、ガタガタしているので、歯と歯の重なっている場所に汚れが溜まりやすく、そして磨きにくいです。

このように重なってしまっている歯と歯の間には汚れが溜まりやすく、また汚れを取りずらそうなことが分かるかと思います。歯ブラシの毛先は入りませんので、フロスを使うことは必須となります。
特に奥歯で歯並びが悪い場合は、ご自身で見えづらく、ケアもうまくできないために、
このように、

虫歯になって、歯と歯の間にまたがって詰め物がされている場合が非常に多く見受けられます。
また磨けない歯の状態で忘れてはいけないのは、親知らずです。

図にあるのは、下の奥歯の親知らずが横向きに生えてしまっている状態です。
親知らずは「智歯(ちし)」と呼ばれ、10代後半から20代くらいで生えてくる最後の永久歯です。親知らずは「ある人・ない人」「縦向き・横向き」など、人によって違いがあります。抜かずに過ごしてきた人は50代でも60代でも現在もお口の中に存在している場合があります。
特にちゃんと生えず横向きに生えてきた人の場合、手前の歯との間が隙間となり、そこには汚れが溜まります。
上記写真の親知らずの場合、親知らず自体が黒くなっているのが分かりますが、さらにレントゲン写真(エックス線)検査で歯の中の状態を見てみると

エックス線検査は見えない歯の内部が見えます。横向きに生えて、手前の歯にぶつかっているのが分かります。
こちらをよく見てみると、

赤い枠の部分が黒く抜けて見えますが、こちらは虫歯になっている場所です。虫歯で歯が溶けると、エックス線写真で黒く抜けた像になります。
親知らずが原因で手前の歯が虫歯になってしまっています。本人では気づけない虫歯となります。
このように親知らずの状態によっては歯が磨きづらく、汚れが溜まり虫歯になってしまう場合が多くあります。このようにならないためには、親知らずは早期に抜いておく必要があります。症状がないから抜くのをためらう人が多くいますが、親知らずは抜いておくことで虫歯リスクを減らずことができます。
②虫歯になりやすい「噛み合わせ」
虫歯になりやすい歯並びの他に、虫歯になりやすい噛み合わせということがあります。
歯並び?噛み合わせ?
と分かりにくいかもしれませんが、歯並びは、隣同士の歯の位置のことを説明しています。今回の噛みあわせに関しては、噛み合う上と下の歯の状態を言っています。
虫歯になりやすい噛み合わせの例を説明していきましょう。
「反対咬合(下あご前突)」こちらは受け口と言われるかもしれませんが、下の歯が前に出てしまっている人です。

写真を見ると分かりやすいかもしれませんね。
あともう一つ。
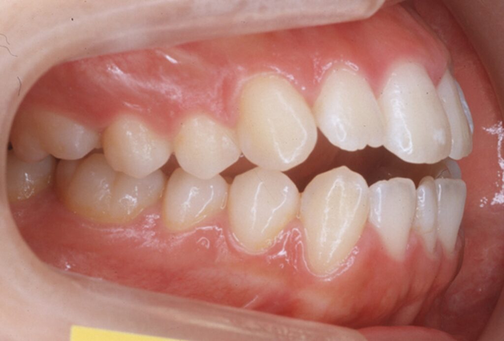
「開咬(かいこう)」といって、前歯が噛めない人がいます。

噛んでもらうと、奥歯だけ噛んで前歯が当たらない人です。
開咬の人は一見すると、歯の並びは綺麗に並んでいるため、自分が歯並びが悪い(噛み合わせが悪い)という事に気づいていません。開咬の人は、麺類などを前歯で噛み切ることができません。しかし今まで指摘されていなければ、そういうものと生活しているので、正しい噛み合わせの人は前歯が食べ物が噛み切れることを説明すると驚かれます。
この「反対咬合」と「開咬」の方に共通していることは、「奥歯しか噛めない」という事です。通常、歯は上下・全体で噛み合って負担を分散するのですが、前歯が噛めない人は奥歯に過重負担が起こります。それにより、奥歯に亀裂やヒビが入り、その隙間から虫歯菌が侵入することが多くあります。これが他の人より虫歯になりやすい原因です。
「叢生」「反対咬合」「開咬」の人の解決方法は「矯正治療」です。歯並び、噛み合わせをよくする歯列矯正をすることで、虫歯リスクを減らすことが可能となります。噛み合わせが良い人は噛み合わせの悪い人に比べて、80歳になった時に歯の残っている本数が多いことがデータで出ています。つまり、噛み合わせが安定していると、歯の治療を受けることが少ないのです。治療していない天然の歯が残っていることは歯の寿命が長いこととも言えます。
現在は大人でも歯並びを治す方が増えてきています。大学で教わる教科書レベルでは65歳まで歯列矯正はできると言いますので、過去に虫歯が多くできている人で、歯並び噛み合わせが悪い人は、矯正治療を考えてみることをおすすめします。

歯並びをよくすることで、汚れが溜まりにくく、歯ブラシがしやすい環境になったことは一目瞭然ですね。
③古い詰め物の中の虫歯
いよいよ最後の説明になってきました。この項目がご自身ではどうすることもできない、歯医者で虫歯が見つかる原因の1つとなります。その原因は、以前治療した歯が再度虫歯になるという事です。その人の新しくできる虫歯リスクは【虫歯になりやすい人編】で話していますので、食生活の環境を見直すことで虫歯になりませんが、既に今ある歯の中で虫歯が進行しているために、よく定期健診で虫歯が見つかることあります。
早速、例を挙げて説明していきましょう。

虫歯の治療で何年も前に入れた銀歯が入っています。パッと見ても、歯と銀歯のつなぎ目に段差があり、銀歯が浮いているのが分かります。
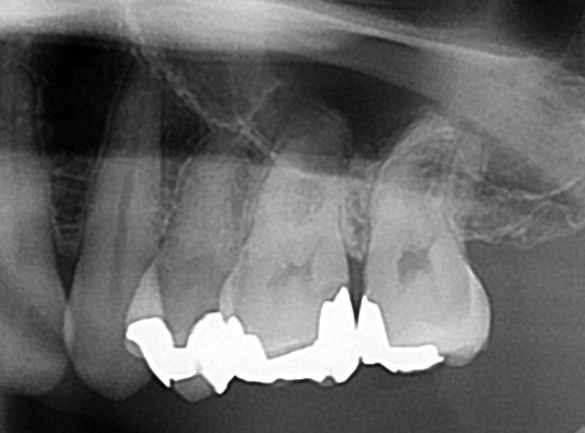
エックス線写真を見てみると、

銀歯と歯の接合部ですが、銀歯がズレて歯との間に黒い隙間があるのが見受けられます。

この赤いところに虫歯があります。
実際に銀歯を外してみると、

銀歯の中は汚れており、虫歯を染色するう蝕検知液を使ってみると、

虫歯が赤く染まり、内部で虫歯が広がっているのが分かります。
また銀歯だけではなく、レジンという白いプラスティック樹脂の材料で治療されている歯でも、

ここの歯に白いレジン材料が入っています。

赤く示したここですね。レジンを削って取ってみると、

中に茶色い虫歯が広がっています。
このように昔に虫歯治療をした詰め物の中で虫歯が進行している場合があります。
たまに勘違いしている方がいるのですが虫歯の治療は1度したら安心というわけではありません。個人差はありますが、特に保険適応で治療した場合には、再度虫歯になる平均使用年数のデータがでています。

詰め物の耐久年数は5年~7年とも言われ、2次的に再度虫歯になる可能性があります。
また材料の性質だけでなく、治療した歯科医師の腕(技術力)も再度虫歯になるリスクにつながります。どういうことかというと、
例えば、つい先月虫歯の治療をしたが違和感を感じるという患者さん。歯を見てみると、

白い詰め物が装着されている。

青い枠が詰め物が入っている場所です。
詰め物を削り取って外してみると、

う蝕検知液で虫歯を赤く染色していますが、詰め物の中に虫歯が広がっています。先月治療をしたという事なので、1カ月以内に虫歯が進行したことは考えづらく、担当した歯科医師による虫歯の取り残しが考えられます。
このように、担当する歯医者によって虫歯の取り残しだけでなく、詰め物がズレて入れられた場合なども隙間から虫歯菌が入り込みやすく、その後の虫歯の進行リスクにつながります。
ではどうしたら良いか?
1つは、虫歯リスクになりやすい古い詰め物を新しく、虫歯になりにくい材料に変える。
もう1つは、ちゃんと虫歯を治してくれる歯医者に治療してもらう。
この2つは再度虫歯が指摘されないようにするには、とても重要なことになります。
出来るだけ上手な歯医者さんに精度を高く治療してもらうことで、その後のトラブルを最小限に抑え、歯の寿命を延ばすことが出来ることは言うまでもありません。
日本では国民保険制度が導入されていますので、全国一律同じ治療費で治療を受けることができます、これはとても良いことです。しかし欠点があります。それは、治療内容に制限があることと、担当する歯医者の腕によって違いがあることです。
最先端の良い材料は高額医療であるので保険には適応されません。歯に優しい良い材料は自費治療となります。また、こちらの方が大切なのですが、治療が上手な歯医者と下手な歯医者がいるという事です。治療の報酬が一律な日本では、野球で例えると大谷選手と2軍選手が同じリーグで、同じ報酬でやっているということです。いくら丁寧に治療をしても、手を抜いて治療をしても、もらえる医師への報酬が同じなので、担当した歯医者によって違いが出てきます。例えば、その時間帯で患者さんが多く忙しかったりすると、とりあえず時間内に処置を済ませる歯医者が多いです。
この項目で説明した患者さんの例でもわかると思いますが、歯の治療をするときは、お金がかかっても良い材料で丁寧に精度よく治療しておくと、その後再度虫歯になることを防ぐことが出来ます。
④行く歯医者によって虫歯にされる
最後に注意点を1点お話しておきます。
実は行く歯医者によっては虫歯を見つけられてしまうかもしれません。どういうことかというと、虫歯の治療基準というものは完璧にあるわけではなく、歯医者の裁量に任されます。そのため、行った歯医者で言われた虫歯の数が違うということが起こります。
・初期虫歯で経過を見ても良いのだが、削ってしまう歯医者。
・黒い着色でも虫歯として、削ってしまう歯医者。
・ちょっと欠けている所があれば、削って詰めてしまう歯医者。
などなど、いろいろな考え方の歯医者がいて、治療する基準はその担当する歯科医師に任されます。
「歯医者は削らないとお金になりません」
これは保険治療ではよく言われることです。全てではありませんが、その診療時間内にどれだけ治療するかで医師の報酬が変わってくるのが保険治療です。特に、説明が少なく、すぐに治療がされる歯医者では気を付けた方がいいかもしれません。
検診の度に「虫歯」と言って削られることがありますので、最後にこちらのお話もしておきます。
《まとめ》

3回にわたって説明させていただいた「虫歯にならない方法」ですがご理解いただけたでしょうか?
①虫歯になりやすい生活環境の改善
②歯のケアに気を付けること
③現在の歯の状態を改善しておくこと
このことを実践できると、今後の人生において虫歯が見つかるということはほぼありません。これは読んでいただいた方自身に重要なことはもちろん、家族においても大切なことになります。今お子さまがいる方はもちろん、これから子どもを授かる若い人たちも自分の子どもの代、孫の代までも家族を守ることが出来る知識です。
日本ではほとんど多くの人が知識がなく、歯医者で虫歯が見つかると、「しょうがないか」と気軽な気持ちで受け入れて虫歯治療を受けます。歯は有限です。削れば削るほど歯は少なくなり、将来的に歯が抜かれてしまう可能性が高くなります。
歯は大切な体の一部で、財産です。少しでも多くの人の健康の助けになれば幸いです。
≫デンタルアトリエ自由が丘歯科ホームページ
「デンタルアトリエ自由が丘歯科」小笠原院長の書籍

『歯のトリセツ』
誰もが嫌いな歯の治療。虫歯になる人には共通点があります。基本的な「歯」の扱い方がわかる1冊。あなたの歯の取扱説明書です。
書籍購入のURLはこちら>>>https://amzn.to/2ISey4G

『ホワイトニングはまだやるな!』
ネックになりやすい治療費の話も含め、一般の目線に立って、実践できる歯の守り方、歯医者との向き合い方を具体的に解説してくれる一冊です。
書籍購入のURLはこちら>>>https://amzn.to/3aFwYif
当院ではセカンドオピニオンを推奨しています。
お気軽にご相談ください。≫こちら
当院の治療の内容が見られます ≫デンタルアトリエYoutubeチャンネル
・公式ホームページ
・アメブロ
デンタルアトリエ自由が丘歯科
自由が丘駅から徒歩3分
世田谷区奥沢-30-8-2F
診療時間9:30~18:00
☎03-6715-6603
この記事の作成者