審美歯科

  • Before
    After

    前の歯医者では治療がなかなか進まない…銀歯もセラミックに交換して審美歯科

  • Before
    After

    全ての銀歯を白く綺麗に治す。

  • Before
    No Image

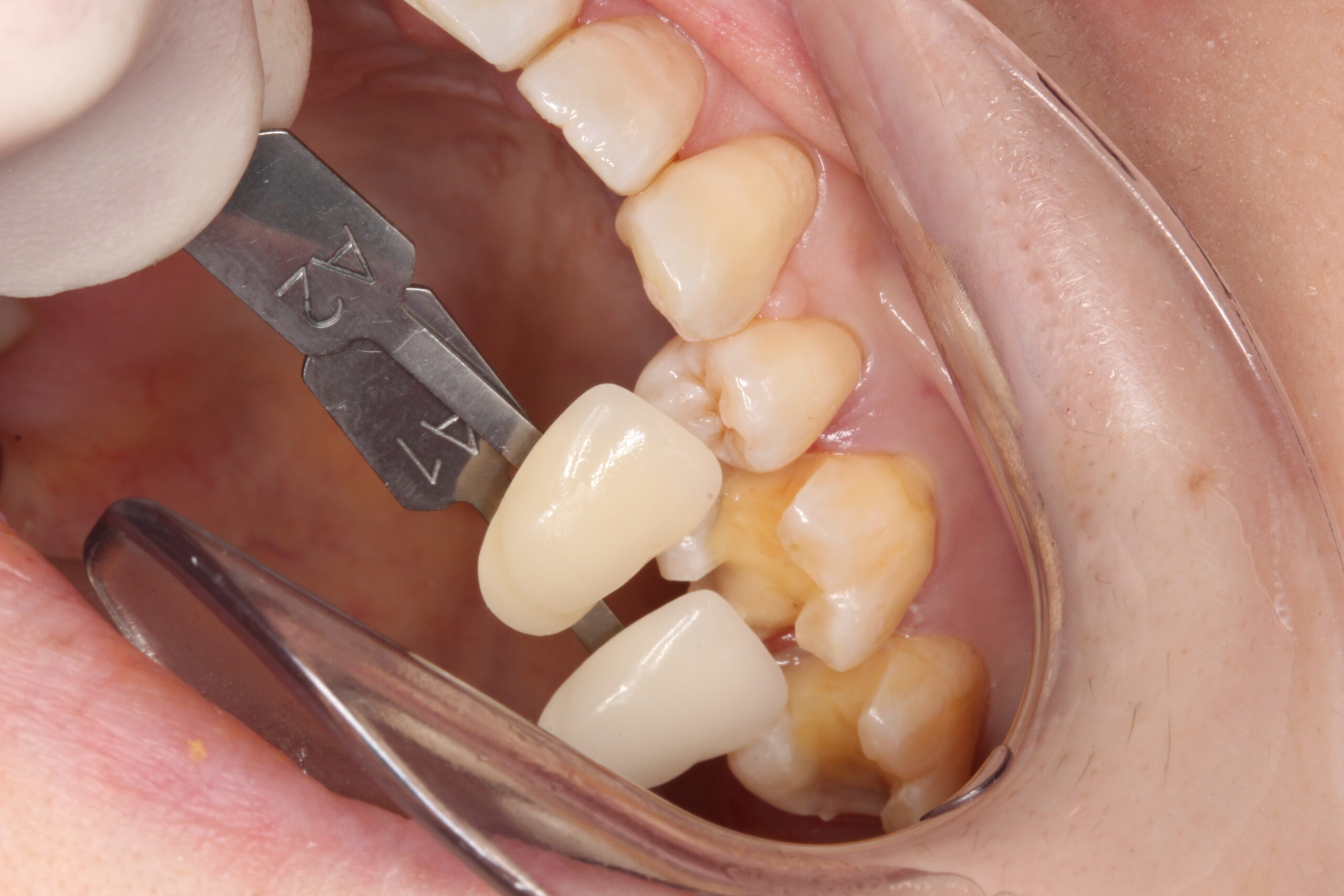
    ジルコニアで治療するも、フロスが引っかかる。原因は?歯の治療を自費で受ける前の注意点。

  • Before
    After

    セラミック?が欠けた?よくあるトラブル

  • Before
    No Image

    前歯セラミック治療の動画を追加しました。セラミック矯正など審美歯科治療は失敗されることが多くあります。

  • Before
    After

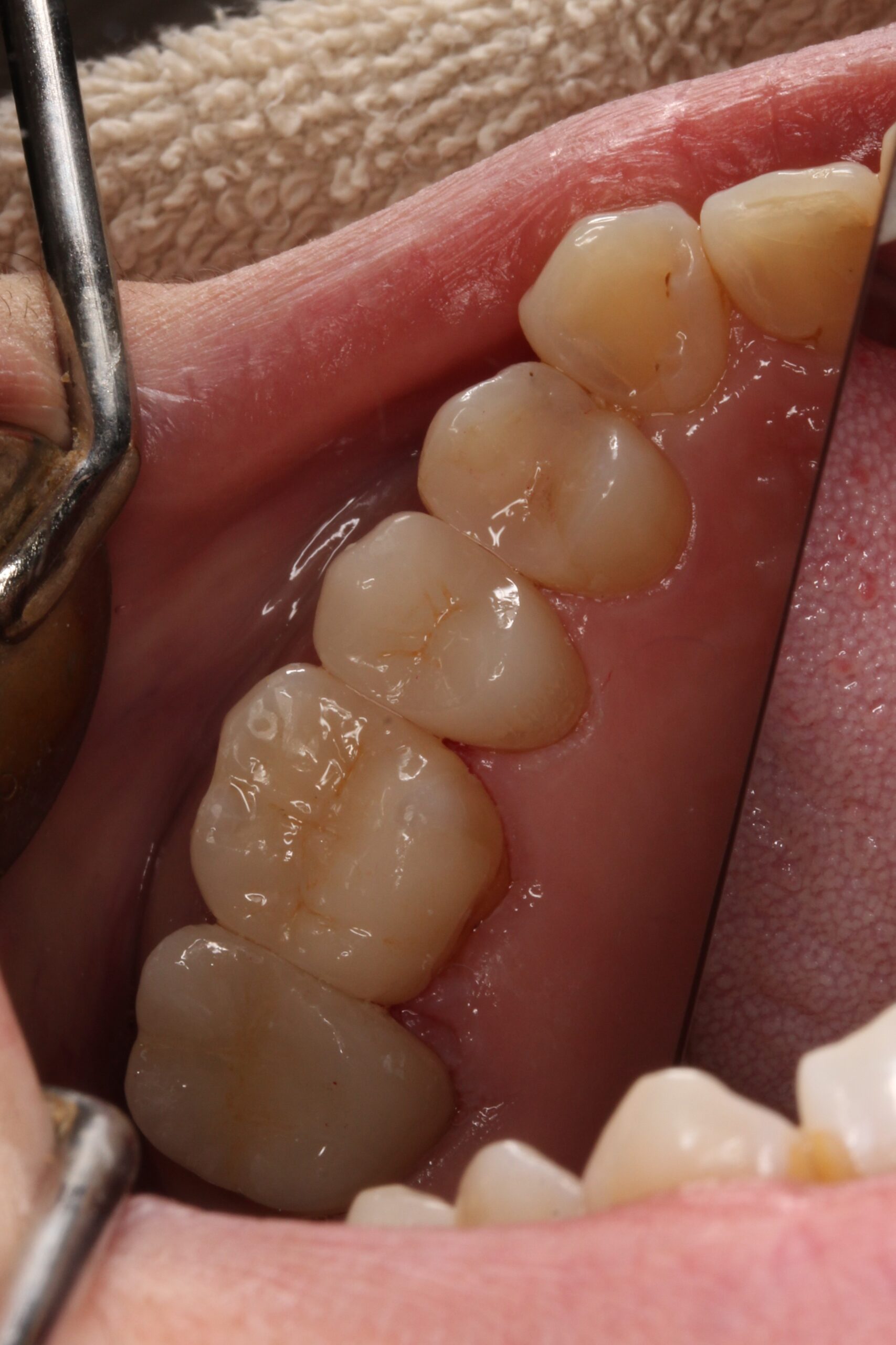
    フロスが引っかかる浮いて合っていないジルコニアインレーをセラミックに交換

  • Before
    After

    セラミックインレー+ダイレクトボンディングの虫歯治療

  • Before
    After

    銀歯とレジンの内部の虫歯。セラミック治療。

  • Before
    After

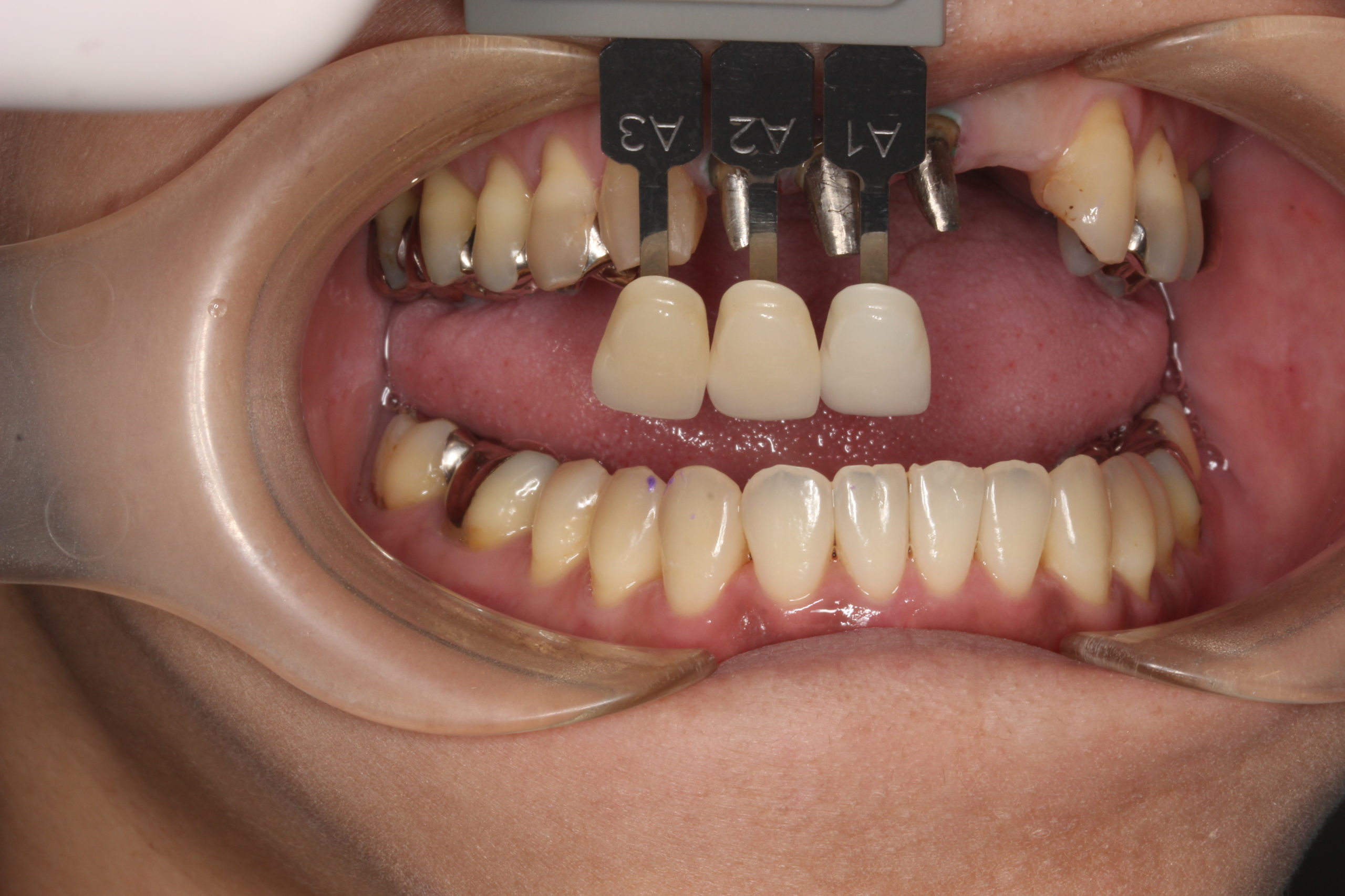
    40代女性 銀歯をセラミックへ

  • Before
    After

    40代女性 銀歯交換 ダイレクトボンディング

ご予約・お問合せ

dentalatelierロゴ

デンタルアトリエ自由が丘歯科

03-6715-6603
平日9:30-13:00 / 14:30-18:00 9:30-13:00 / 14:30-17:00 水日祝休診

〒158-0083
東京都世田谷区奥沢5丁目30−8
アプロード自由が丘 2階

診療時間
【水日祝】休診
【土】は17時まで

電車電車でお越しの場合

東急東横線・大井町線
「自由が丘駅」南口or北口(正面口)
より徒歩3分

お車お車でお越しの場合

  • 環七通りからは、柿の木坂陸橋を右左折し、目黒通り⇒自由通りへ、or南千束(長原陸橋)を右左折し、中原街道⇒自由通りへ
  • 環八通りからは、等々力不動前(等々力不動陸橋)を右左折し等々力通りへ、o玉川田園都市を右左折し学園通りへ

※駐車場はございませんので、自由が丘駅周辺の有料駐車場をご利用ください