世田谷目黒区、自由が丘駅南口徒歩3分の歯医者
デンタルアトリエ自由が丘歯科の院長の小笠原です。
銀歯をセラミックに交換と、虫歯治療の患者さんです。
今回は2回に分けて、合計3本の歯を治しています。
右上の奥歯です。
銀歯が入っている歯が3本。特に右側の6番目の歯には、大きな銀歯が入っています。

虫歯や、銀歯をやり直す上で重要なことがあります。
それは、1回の治療でどこまでやるか?です。
初回の治療の内容というと、
「銀歯を外す」→「虫歯を取り除く」→「形を整える」→「型取りをする」
までを行い。
2回目の来院で、製作した「詰め物」「かぶせ物」をセットする。という順序です。
初回で、銀歯除去から型取りまでを丁寧にやると、1時間はかかると思います。
例えば、今回は3本なので、まとめてやるとしても1時間半~2時間の治療時間がかかると思います。
患者さんによるのですが、お口を空いているのが大変な患者さんもいれば、
早く治療を終わらせたい患者さんなど、様々なニーズがあります。
今回は、急ぎではなく、ゆっくり通院していただける患者さんだったので、
大きな銀歯が入っている6番目の歯をしっかりなおしてから、
手前の2本の治療と、回数を分けさせていただきました。
当たり前のことですが、歯科医師からすると治療は時間をかけさせていただいた方が、治療精度が上がります。
通常の保険治療ですと、この3本の歯の治療を30分以内に終わらせます(^^;
すごいですよね。僕には出来ないですし、自分はそういう治療を受けたくありません(^-^;
そのため当院では、保険での治療を原則やめました。
保険での治療を受けたい人は他院へ行ってくださいm(__)m
保険患者歓迎の歯医者さんは世の中に沢山ありますので。
話を戻して、
まずは大きな銀歯を削り、除去します。

歯の中は汚れており、
1つ奥の歯の間も虫歯になっています。
奥の歯は、ジルコニアのインレーが入っており、1年前に他の歯医者で治療したようです。虫歯が残っていますね(-_-;)
(この後、私の方で部分的に虫歯をなおしました)

内部まで虫歯の入り込みが認められます。

虫歯を取り切りました。一度治療した歯の再治療なので、かなり大きく歯が無くなってしまいました。
しかし、神経には達しなかったので、神経は取らずに済みました。
この後は、削ったところをレジンで保護し、色合わせをして、型取りまでします。

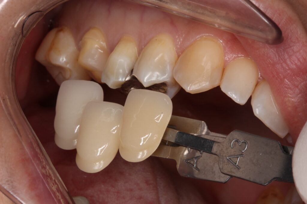
出来上がったセラミックの歯をセットすると、

ここの歯の治療は終わります。
かなり広範囲でしたが、この患者さんはその後も症状はなく経過良好です。
手前の2本の治療は・・・
次のブログで記載しますね(^^)/
途中、熱くなって書いたので疲れました(笑)
【治療費】
・セラミックインレー
費用:1本88,000円(税抜80,000円) (別途型取り代)
(将来的に値段が変わる場合があります)
【施術の副作用やリスク】
治療中または治療後に出血や痛みや腫れを伴う場合があります。