世田谷目黒区、自由が丘駅南口徒歩3分の歯医者
デンタルアトリエ自由が丘歯科の院長の小笠原です。
先日の治療です。
古い銀歯が合っていない患者さんです。
お口の状態は、

銀歯が入っている歯があり、歯と銀歯の隙間が、すぐ見てわかるくらいズレています(^^;
銀歯を外していきます。

内部は黒くなっています。さらに削っていくと

こんな感じです。
内部は黒くなっているのですが、黒い箇所すべてが「虫歯」ではありません。
銀歯が長年入っていると、金属イオンが溶け出して、黒く染まってしまいます。
虫歯を染色するう蝕検知液を使い、虫歯だけを取り除いていきます。

手前の歯との間にも虫歯がありましたので、歯を横断するように削って整えてあります。黒く見えるところもありますが虫歯ではなく、歯が黒くなっている箇所です。

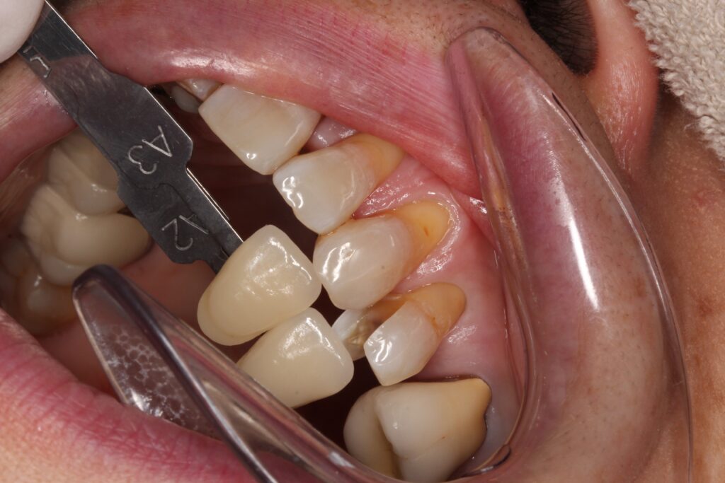
歯の色合わせをして、形を整えます。
セラミックインレーを作製し、セットします。

綺麗にセラミックがセットされています。
治療した箇所が分かりますでしょうか。
銀歯は長年使用すると、劣化して、ズレてきたり、
イオンが溶けだし、歯を着色させる原因にもなります。
歯により良い治療を提供しています。
そのため当院では、虫歯治療は保険適応外です。
【治療費】
・セラミックインレー
費用:1本88,000円(税抜80,000円) (別途型取り代)
(将来的に値段が変わる場合があります)
【施術の副作用やリスク】
治療中または治療後に出血や痛みや腫れを伴う場合があります。
・公式ホームページ
・アメブロ
・デンタルアトリエYoutubeチャンネル