世田谷目黒区、自由が丘駅南口徒歩3分の歯医者
デンタルアトリエ自由が丘歯科の院長の小笠原です。
目次
検診で虫歯が見つかった40代男性の方です。
治療を見ていきましょう。
歯の状態を確認します。
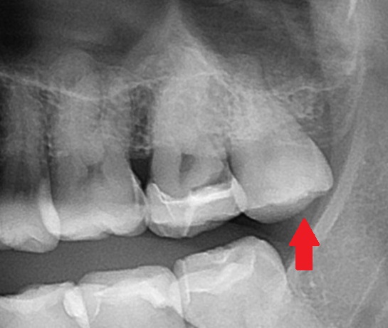
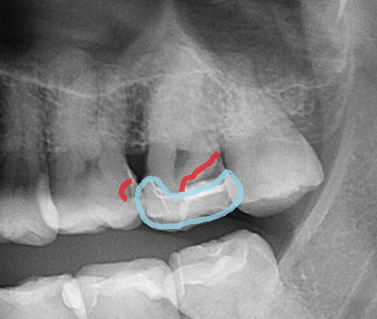
まずレントゲン写真(エックス線写真)を見てみましょう。

こちらのは歯は親知らずです(矢印)
一つ手前(左側)の歯はスケルトンのように見えますよね。

青い所がセラミックで、以前虫歯治療でセラミックを入れたようです。
赤く囲まれた所が黒く、虫歯があります。
さらに手前の歯の間も虫歯です(-_-;)
虫歯はレントゲン写真(エックス線写真)で確認ができます。
虫歯は歯が溶けてしまう病気なので、歯の内部が溶けて、
レントゲン写真で黒く写ってきます。
次にお口の中を見てみると、

矢印が親知らずで、手前の歯はセラミックで治療されています。
白い材料なので一見分かりませんが、内部に虫歯があります。
親知らずも虫歯になっていますし、親知らずがあることで、手前の歯が虫歯になってしまっているので、親知らずの抜歯と、虫歯の治療を行っていくことをご希望されました。
歯の状態は、
・8番目(親知らず):虫歯
・7番目(セラミック):虫歯
・6番目の歯:虫歯
治療を始めます。
まずはセラミックを外して、虫歯を取り除きます。

セラミックを外すと、レジン?かセメント?で埋めてあり、
うっすら青く内部が透けています。
奥の親知らずは虫歯になっています(-_-;)
さらに削ると、

穴が開きました・・・
なんだこれ?
内部が黒く、良い感じではないです(*_*;
詰めてある材料を削り取ると、

内部は黒く虫歯が進行しています。
今回は親知らずが原因というより、虫歯の取り残して詰めたので、内部で広がった感じでしょうか(*_*;
(実際は分かりませんが・・・)
う蝕検知液を使い、虫歯を取り除きます。
虫歯を取って隔離しています。(途中)

すべて取り除いた状態ですが、
黒い箇所がありますが、以前銀歯が入っていたようで、銀歯の金属イオンが着色し黒く染まっている状態です。
つまり歯が変色している状態です。虫歯は残っていません。
今回はギリギリ神経までは達しませんでした(-_-;)
ここにレジンを詰めて、保護し、親知らずを抜歯します。

親知らずは抜いて約2週間後です。
抜いた場所の傷は縮まり、手前の歯はレジンで保護されています。
抜歯した当日は出血があるので、傷が治ってから治療を続けます。
また、今回虫歯も大きかったので、痛みが出ないか経過を見たかったので。

さらに手前の歯の虫歯を治療します。
こちらは小さい虫歯なので、レジンで詰めて、1回で終わりです。
奥歯はセラミックが入るように形を整え直し、型取りをします。

色を合わせ、セラミックインレーを作製します。
治療が終わったお口の中
セラミックをセットして、治療が終わった状態です。

綺麗に仕上がりましたね(^^)/
親知らずが無くなったことで、手前の歯が磨けるようになり、
衛生状態も良くなりました。これで虫歯のリスクも減ります。
まとめ
今回は親知らずが原因?
だけではなかったかもしれませんが(^-^;
親知らずを抜いたほうがいい場合ですが、
①親知らずとの間に虫歯がある場合、
②その親知らずが噛み合っておらず機能していない場合、
抜歯をお勧めします。
その親知らずがあるせいで、手前の歯の寿命が短くなってしまいます。
既に虫歯になっている場合は、確実に親知らずを残しておいたせいで、手前の歯が虫歯になったので、これを繰り返すことになることは言うまでもありません。
「どうしても抜きたくない!」
という方は、無理に抜歯はしませんが(^^;
たまに頑なに親知らずの抜歯を嫌がる方がいますが、後でもっと苦労するのは自分です。もう病気になるのは自己責任でしょうね。
当院では、できるだけ歯が長持ちする治療の提案、相談をしていきます。
そのため当院では、虫歯治療は保険適応外です。
【治療費】
・セラミックインレー
費用:1本88,000円(税抜80,000円) (別途型取り代)
(将来的に値段が変わる場合があります)
【施術の副作用やリスク】
治療中または治療後に出血や痛みや腫れを伴う場合があります。