先日の治療内容です。
右下の歯です。
真ん中の5番目の歯に銀歯が入っており、
一つ奥の歯には、レジンという樹脂がが入っており、以前治療をしてあります。
白い材料なので分かりにくいですが、経年劣化により、茶色く変色しています。
レントゲン写真でこの歯の間に虫歯を認めます。
銀歯の交換も希望のため、
銀歯は削って外し、虫歯の治療を行います。

銀歯を外してみると、隣の歯との間に黒い虫歯がありました。
外してみるとよく見えますね。
虫歯を削って除去します。

内部に茶色く見える虫歯の侵入があります。

全ての虫歯を取り、古い詰め物を取り、
セラミックが入るように形を整えた状態です。
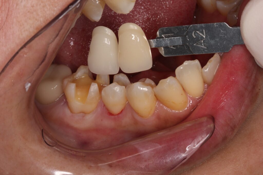
後は、歯型を取り、色合わせを行います。

色見本を当てて、歯の色を記録します。
これを元に、歯科技工士が歯の色を合わせて、セラミックの詰め物(インレー)を作製します。
セラミックが入った状態です。

銀歯がなくなり、白く綺麗な歯に仕上がりました(^-^)
セラミックは虫歯になりにくく、劣化しにくい材料なので、
歯ブラシや、歯の間の虫歯予防に、デンタルフロスを使用して、
メンテナンスを行っていただければ、お口の中でずっと良い状態を維持してくれます。
【治療費】
・セラミックインレー
費用:1本 88,000円
(将来的に値段が変わる場合があります)
【施術の副作用やリスク】
治療中または治療後に出血や痛みや腫れを伴う場合があります。