オールセラミック症例
セラミック歯で改善
-
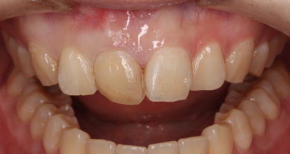
差し歯の根元が黒い⇒オールセラミックスクラウンで改善
-
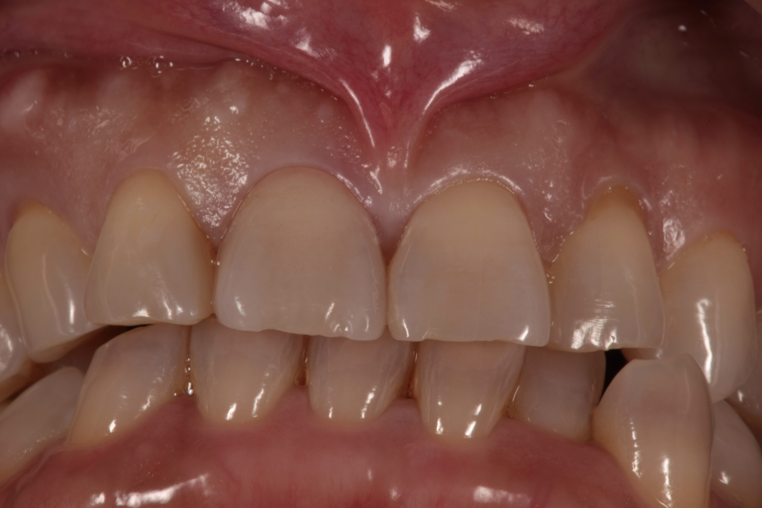
昔の保険の差し歯を綺麗に作り治したい。メタルコアは外さずに治療。
-
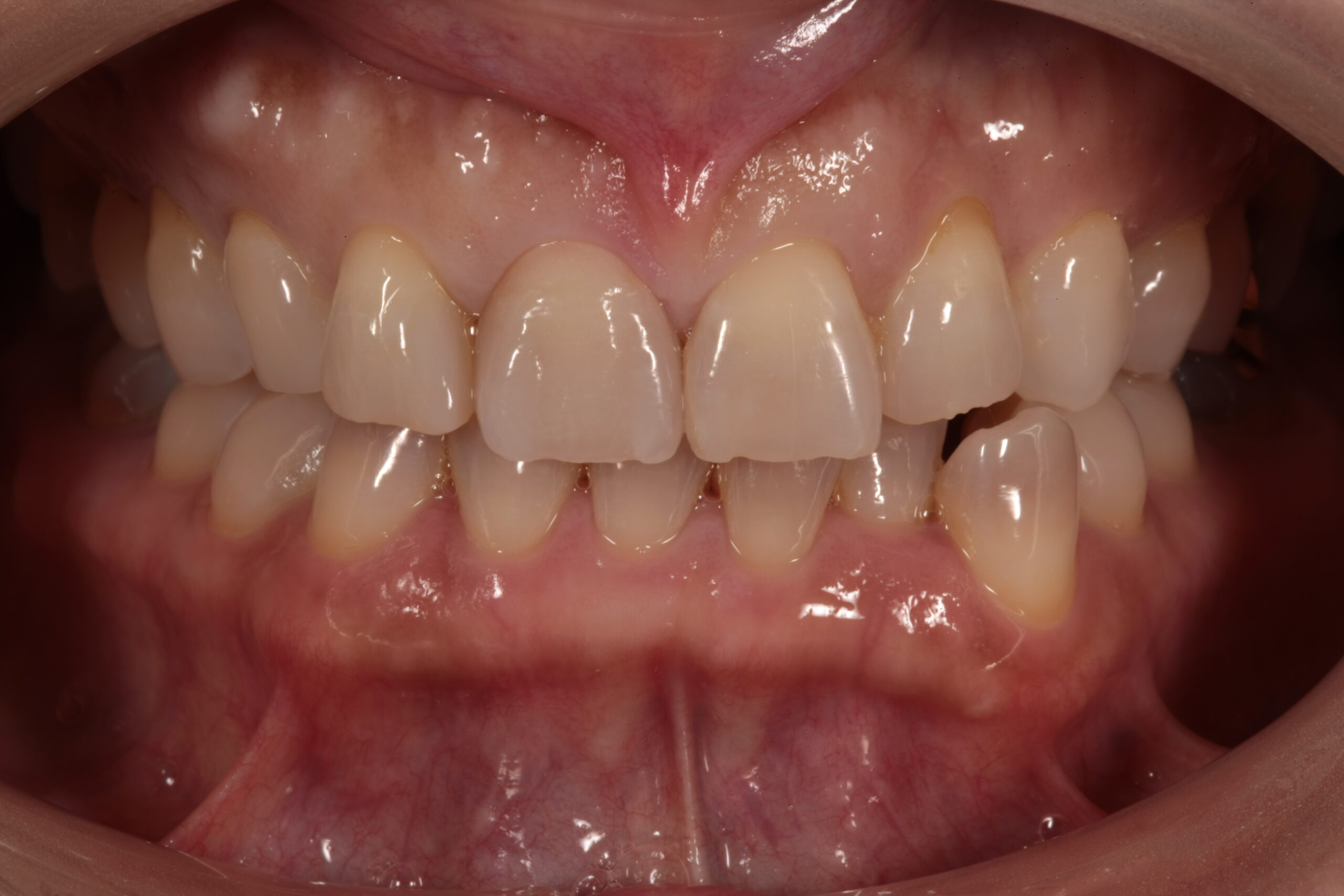
形と色が合っていない前歯の保険のかぶせ物を、セラミックで審美的にやり替え
-
前歯の神経が死んでいる。神経が死んだ歯を綺麗に治療します。Dead Teeth | Root Canal Treatment
-
虫歯だらけで歯がボロボロ。全ての歯を綺麗に治す。50代女性
-
銀歯をセラミックに交換。30代女性
-
審美歯科ホワイトニング。銀歯をセラミックに。60代男性。
-
色があっていない前歯の被せものをセラミックに変えて自然な歯に
-
30代男性 銀歯全て除去。メタルフリー治療。
-
前歯ジルコニアセラミックへ交換。審美歯科。30代女性。
-
30代 女性 前歯セラミック治療
-
神経が死んで変色した前歯⇒ジルコニセラミックアクラウン+ホワイトニング
ご予約・お問合せ
03-6715-6603
平日9:30-13:00 / 14:30-18:00
土9:30-13:00 / 14:30-17:00
水日祝休診
〒158-0083
東京都世田谷区奥沢5丁目30−8
アプロード自由が丘 2階
電車でお越しの場合
東急東横線・大井町線
「自由が丘駅」南口or北口(正面口)
より徒歩3分
お車でお越しの場合
- 環七通りからは、柿の木坂陸橋を右左折し、目黒通り⇒自由通りへ、or南千束(長原陸橋)を右左折し、中原街道⇒自由通りへ
- 環八通りからは、等々力不動前(等々力不動陸橋)を右左折し等々力通りへ、o玉川田園都市を右左折し学園通りへ
※駐車場はございませんので、自由が丘駅周辺の有料駐車場をご利用ください