世田谷目黒区、自由が丘駅南口徒歩3分の歯医者
デンタルアトリエ自由が丘歯科の院長の小笠原です。
前歯をセラミックで綺麗にしたい
今回は、前歯の審美歯科の症例です。
30代女性。古い前歯の保険の歯をセラミックにして綺麗にしたい。
という希望の方です。
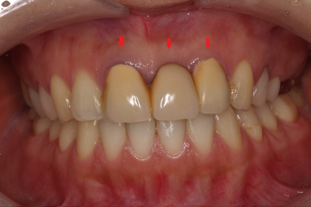
お口の中を見てみると、
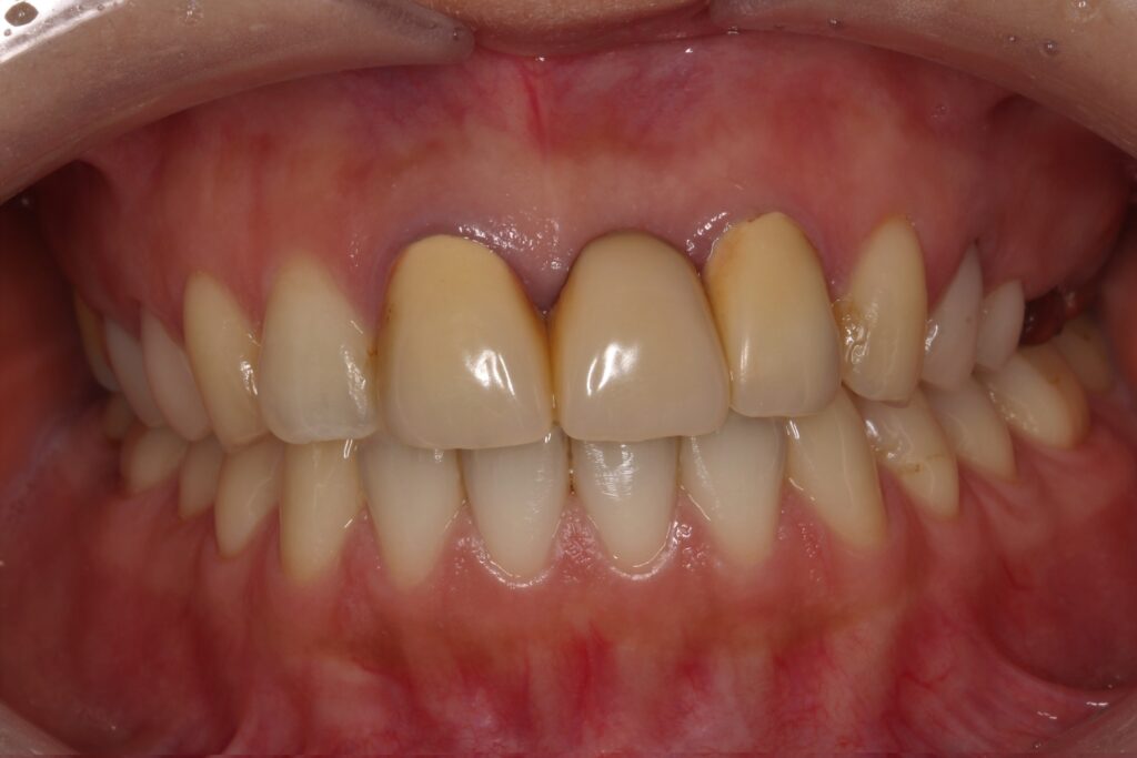
前歯が不ぞろいで、色が黄ばんでいます。
保険の「レジン前装冠」というかぶせ物が3本入っています。
1本歯が無い箇所があるので、ブリッジという橋渡しで繋がった歯です。
保険の前歯の被せ物「レジン前装冠」
保険で使用できる材料で、昔から今でも保険治療だとこのような歯が入ります。
表面は「レジン」というプラスチックが張り付けられて、
裏側と内部には「銀歯」が使用されています。
裏側から見るとこんな感じです☟
(今回の患者さんとは異なります)
裏から見ると黒く見えますね。
レジン前装冠の欠点は、表面のレジンは経年劣化で黄ばんで変色し、透明感はありません。内部に金属を使用しているので、歯ぐきの際が透けて黒く見えます。
今回の方もそんな感じですよね?
セラミックで歯を作り、周りの歯に合わせて自然のように仕上げましょう。
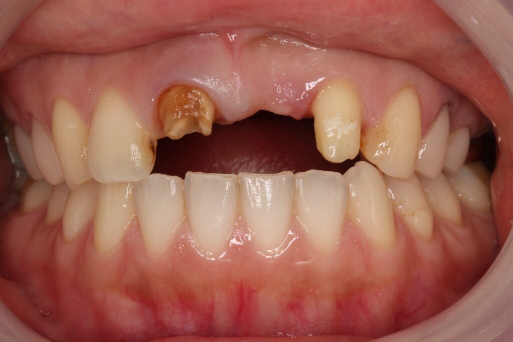
被せ物を外して治療スタート
まずは今のかぶせ物を外していきます。
外してみると、
こんな感じで歯が残っていました。
支えになる歯は綺麗にして、土台を立てて、かぶせ物ができるように仕上げます。
一つ隣の左側の歯に、黒い虫歯があるのでこちらも治します。
(支えになる歯が虫歯であったり、根管治療が必要な場合は、そちらも行います)
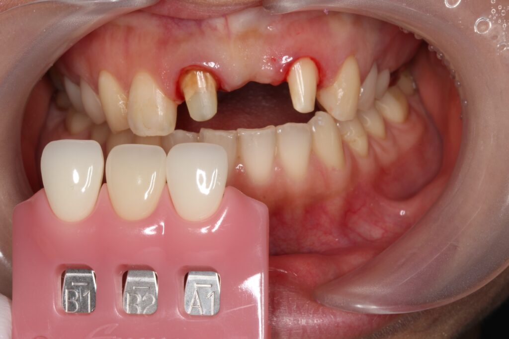
土台を立てて、虫歯も治し、綺麗にします。
そして、色見本で色を合わせて、セラミックの歯を製作します。
ジルコニアセラミックの前歯
出来上がったかぶせ物です。
表面はセラミックを使い、色のグラデーションを出して、自然な透明感に仕上げます。内部はジルコニアという、人工ダイヤモンドの材料を使い、ブリッジをつなげて、強度を出します。
使っている材料が「ジルコニア」と「セラミック(ポーセレン)」です。
2種類の材料を用いて歯を製作してあります。
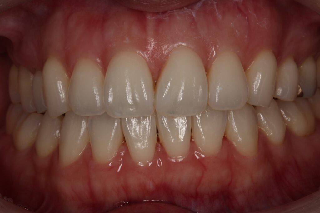
お口の中にセットすると、
綺麗に仕上がっています。
治療した歯がどこか分かりますか?(^^)/
自然な色と透明感で、周囲の歯と同じように入っています。
術前と術後
ビフォーアフターです。
同じ人とは思えませんね(*^_^*)
患者さんも綺麗に仕上がり喜んでもらえました(^^)/
前歯は見た目が重要な所なので、綺麗になると笑顔に自信がついて、
生活の質が上がるところですよね!
今はマスク生活なので笑顔を見せる機会も少ないですが、
マスクのうちに歯を綺麗にしようという患者さんも増えています。
お気軽にご相談を(^^)/
【治療費】
・ジルコニアセラミッククラウン(前歯)
費用:1本176,000~198,000円 (別途型取り代)
(色のこだわりに応じて価格が変わります。)
【施術の副作用やリスク】
治療中または治療後に出血や痛みや腫れを伴う場合があります。