世田谷目黒区、自由が丘駅南口徒歩3分の歯医者
デンタルアトリエ自由が丘歯科の院長の小笠原です。
今回は前歯の審美治療のご紹介です。
50代女性。何十年も前に入れた差し歯を綺麗に治したい。
というご希望で来院されました。
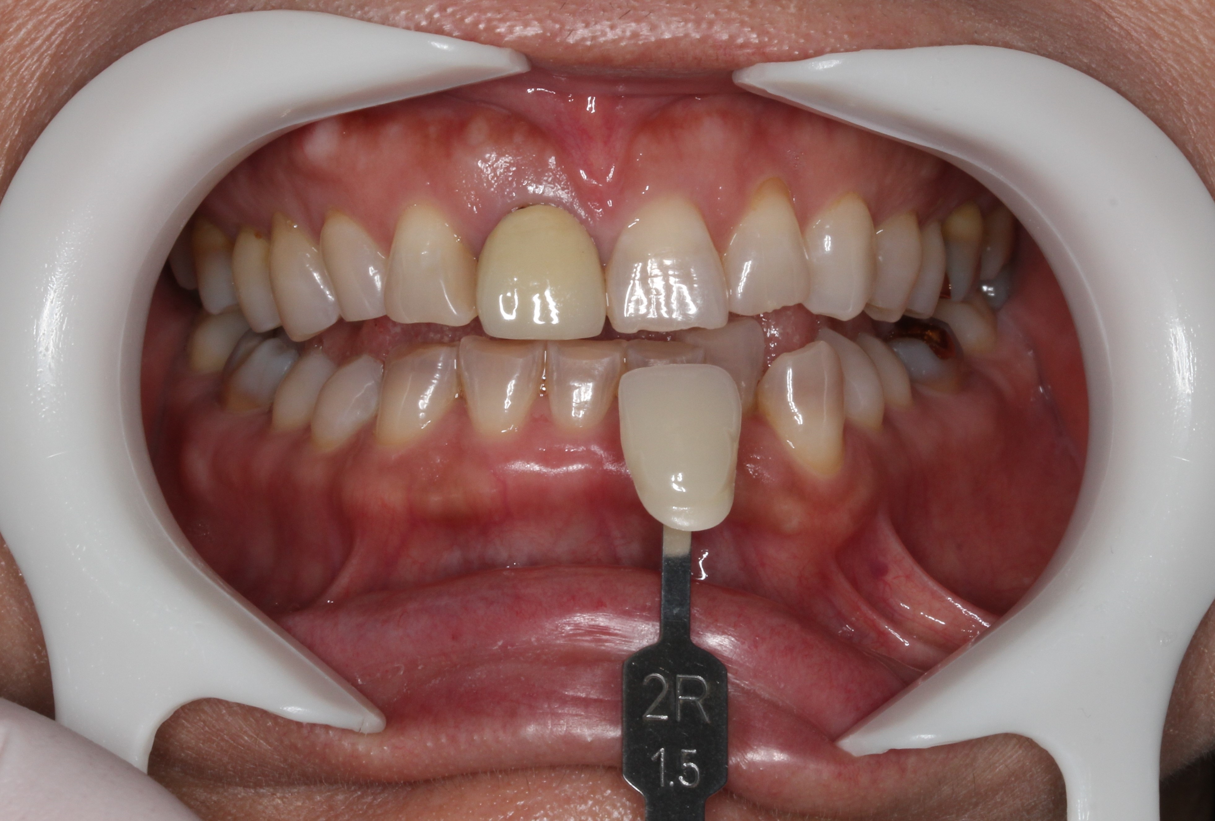
お口の中を見てみると

このような状態でした。
どこが差し歯かわかりますよね?

矢印のこちらの歯です。
歯の根元が黒くなり、
歯の色が合わなく1本だけ浮いて見えます。
また歯の形も膨らみが強く、いかにも「作った歯」という感じです。
この歯は一般的な保険適応の被せもので、
古くからあり、今でも使用されます。
レジン前装冠と呼ばれ、
銀歯の被せもので表面の見える所を白いレジンが張り付けてあります。
ですので、裏側には金属が見えます↓
(参考写真です)
保険適応の前歯は、この前装冠。または、レジン冠という全てプラスティックでできた歯が今では使われます。
セラミックの歯は保険適応外です。
レジンは欠点として経年的に劣化します。
長く使っていると削れたり、色が黄色く変色したりします。
保険で安価に使われる材料ですね。
今回はセラミックを使い、審美的に歯を仕上げていきます。
被せものを外し、歯の形を整えていきます。

被せものがしてある歯は一回り小さく山型に削ってあります。
通常被せものは小さくした歯に被せていきます。
前歯で大切なのは歯の色合いです。
全ての人が違う歯の色・形をしています。指紋と一緒で同じ人はいません。
こだわりを持って色形を再現する場合は担当する歯科医師の技量はもちろん、
シェードテイキングという色の記録と、
製作する歯科技工士の職人技が必要となってきます。
今回の患者さんは、テトラサイクリン歯といって元々、色の濃淡がある歯のグラデーションをしています。よく見ると上の歯と下の前歯の色が違います。
このように特徴があるグラデーションを合わせていくのは技術的に難しくなります。

様々な色の見本を当てがって、その方の歯の色を決めていきます。
また歯科技工士が直接、患者さんの歯の色を確認し、患者さんの希望を聞きながら色をチェックします。
最終的な歯が仕上がった状態です(*^-^*)

どこを治療したか分からない仕上がりですね!
綺麗にセラミックの歯が入っています。

横から見ても自然な色に仕上がっています。
左右のバランス、下の歯とのバランス、

そして細かい形が再現されています。
口元が自然な仕上がりですね(^^)

写真を撮った時の前歯の目立ちがなくなり綺麗に写ります。
前歯にコンプレックスがある方は、笑った時の写真の口元が気になります。
歯が目立ち、笑わないようにしたり隠したりと気にしながら生活している方が多いです。
コンプレックスがなくなると生活の質が上がります(^^)/
前歯は綺麗にしておきたいですよね。
歯を作るのは職人技です。
歯の形や色の再現度は、歯科医師と歯科技工士の腕により違いがあります。
「歯の治療はどこの歯医者でも一緒」では全くありません。
デンタルアトリエでは専門の歯科技工士と一緒に仕事を行っています。
また技術向上、より良い医療が提供できるように日々研鑽を積んでいます。
当院ではひとりひとりの方に時間をかけ、より良い治療を提供しています。
そのため当院での虫歯治療は保険適応外です。
【治療費】
・ジルコニアセラミッククラウン(前歯)
費用:1本176,000~198,000円 (別途型取り代)
(色のこだわりに応じて価格が変わります。)
【施術の副作用やリスク】
治療中または治療後に出血や痛みや腫れを伴う場合があります。