院長の小笠原です。
今回は前歯の審美治療の紹介です。
30代男性の患者さんです。
「昔に神経を取って、保険でかぶせ物をした前歯が合っていないので綺麗にやり直したい」という希望で当院を来院されました。
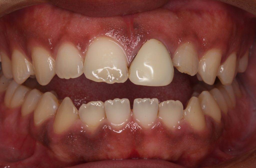
早速お口の中を確認してみましょう。

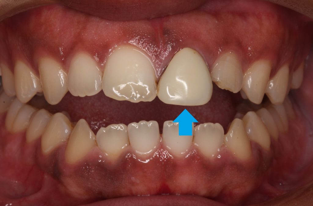
パッと見て前歯が1本浮いているのが分かります。

この歯ですね。
形も丸すぎていますし、色も白く、天然の歯のような透明感がありません。
このかぶせ物(クラウン)は保険の人工歯で、レジン前装冠というかぶせ物です。

表面の白く見えるのはレジンというプラスティックで、内部と裏側に金属が使われています。
現在も保険適応で製作される前歯のかぶせ物です。
レジンを使っているので透明感が無く、塗ったような単色の仕上がりで、経年劣化で変色をします。
今回の人工歯は色も形も全然合っていないものが入っています。
多くの患者さんは、歯医者で治療を受けると先生の言われるがままに治療を受けます。
「特に話が無く銀歯を入れられた」
「色が合ってないが特に何も言われなかった」
など、治療が終わった後で不満が出ることが多いのが特徴です。
しかし、保険治療の悪い所でもありますが、治療の仕上がりとして「見た目の良さ」や「治療の精密さ」などに関しての基準など存在せず、担当医の腕が上手でも下手でも全国一律で受けさせられます。
今回の患者さんも、昔に治療した歯が笑うと目立ってコンプレックスだったようです。
話を戻して、治療の説明に入りましょう。
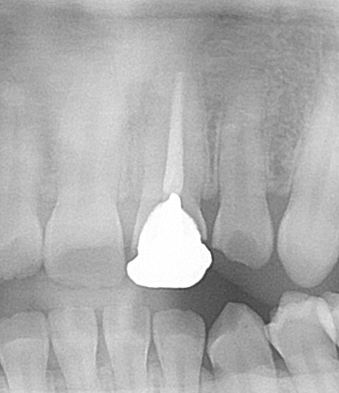
エックス線写真(レントゲン)を確認してみると、

かぶせ物が白く写っています。歯の内部、根っこの中に白いスジが見えますが、これは神経を抜いてお薬が入っている状態です。材料の造影作用で白く写り、神経が取ってあるのが分かります。
CT写真でさらに詳しく確認してみると、


正面と横側からの断面です。
神経を抜いてある歯を治療する際には、根の先で膿んでいないか(バイ菌が入っていないか)を確認する必要があります。
神経が無いので、虫歯が入り感染していても痛みを感じません。
もしバイ菌が入っている場合は、再度、根管治療を行ない、歯の中を消毒する必要があります。
今回は問題ないので、差し歯(かぶせ物と土台)だけやり直します。
まずはかぶせ物を削って外します。

外すと、中に金属が見えます。
これはメタルコアという金属の土台で、いわゆる差し歯のさしてある部分です。
以前のブログでもメタルコアを外して治療を行なったケースを紹介しています☟
・太いメタルコアを外して、前歯をセラミックで綺麗に
・太いメタルコアが入っているので抜歯?メタルコアを取り外して歯を残す
・審美歯科ホワイトニング。銀歯をセラミックに。60代男性
メタルコアも外してみると、根管が見えます。お薬が詰めてあります。

金属のメタルコアを、金属の使わないファイバーコアに変えます。

ファイバーコアを根管に埋め込み、レジンで埋め固めます。
支台築造(しだいちくぞう)と言って、クラウンを被せられるように土台を建てていきます。
形を整えた状態です。

ひとまわり小さく山型に形を整えます。
ここに後に製作したセラミックのクラウン(人工歯)をセットしていきます。
※途中、仮の歯を製作して合わせて行くのですが、ここでは省略します。
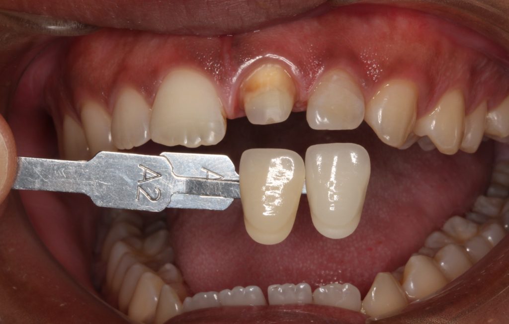
歯の型取りと、色合わせです。
歯の色見本と照らし合わせて記録します。周囲の歯の色に合わせてクランを製作します。

後日、専門の歯科技工が製作した歯をセットします。
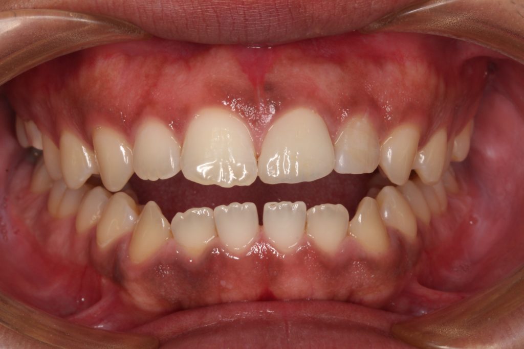
クラウンがセットされた状態です。ジルコニアセラミッククラウンで仕上げています。

綺麗に歯が装着されています。
パッと見てどこを治療したのか分からないくらいに仕上がっていると思います。
色と形を反対側の歯に合わせ、周囲の歯にも馴染んでいます。
最初の状態をもう一度お見せします。

やはり目立ちますね。
ちなみに、隣の歯が欠けていたので、こちらはダイレクトボンディングで歯の形を修復してあります。

最終的に綺麗に仕上がって良かったです(*^_^*)
患者さんにも満足してもらえました。
前歯は人前で見える場所で、その人の印象を左右する大切な場所です。
前歯にコンプレックスがある場合、人前で笑うのを避けたりと、気を付ける必要があったりと生活の質が落ちます。
自信をもって笑顔で他人を接することができると生活が変わります。
前歯の審美治療もご相談ください(^^)/
【治療期間】4回
【費用】¥213,400(税込)
【リスク】治療中または治療後に軽い出血や痛みを伴う場合があります。
仮歯は強固ではないので取れる可能性や、稀に欠ける場合もあります。