院長の小笠原です。
先日の治療です。
銀歯をセラミックに変えたい患者さんです。
かなり前に治療した銀歯の詰め物が気になるとの事です。
お口の中は、、、

右上の奥歯に銀歯が入っています。
1本だけ銀歯だと目立ちますね(^^;
銀歯を外してみると

左側に若干茶色く、虫歯が残っていますが、
虫歯の進行はなく、割と綺麗な状態です。
虫歯を取り除き、セラミックが入るように整えます。
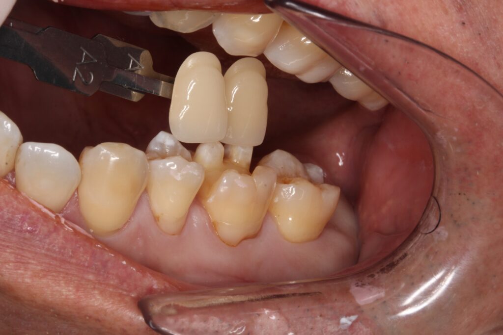
色合わせです。

歯の色見本を当てて、色の記録を取ります。
歯型と、色見本を参考に歯科技工士は、セラミックで歯を作ります。
治療が終わった状態です。

銀歯が無くなり、セラミックの詰め物が入りました。
治療した箇所がどこかわからないくらいに綺麗になりましたね(*^^*)
セラミックの歯は、見た目の審美性はもちろん、
銀歯に比べ虫歯のリスクが低く、再度虫歯になりにくい素材です。
【治療費】
・セラミックインレー
費用(税別):1本80,000円 (別途型取り代)
(将来的に値段が変わる場合があります)
【施術の副作用やリスク】
治療中または治療後に出血や痛みや腫れを伴う場合があります。