院長の小笠原です。
先日の治療です。
検診にて、虫歯があった患者さんです。
レントゲン写真にて虫歯が分かり、治療を希望されました。
右上の6番目と、7番目の奥歯2本です。
お口の中は、

昔に行った、古い銀歯が2本入っています。
銀歯の中に虫歯がありますので、銀歯を外し中を確認していきます。
まずは一番奥の銀歯を削り取ります。

取るとこんな感じです。
表面に白いセメント(接着剤)が付いているので、削っていきます。

う蝕検知液にて、虫歯を染色してみると、内部に赤く染まった虫歯が確認されます。

虫歯の染色→虫歯除去を繰り返し、
虫歯の箇所だけ丁寧に取り除きます。
また今回は、手前の銀歯の歯との間に虫歯があるので、
そちらも取っていきます。

手前の銀歯が入っている歯の黒い虫歯が確認できます。
銀歯を外し、こちらも虫歯を取っていきます。

奥歯と接触していた箇所の内部に、染色された虫歯が確認できます。
虫歯の再発のないように丁寧に虫歯を取り除き、
歯の形を整えていきます。
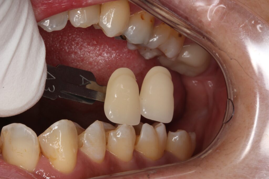
今回は、セラミック治療を希望ですので、インレーという部分的な詰め物で歯を修復します。

歯の色を記録し、型取りを行い、セラミックを作製し、
歯に装着します。

奥歯2本にセラミックインレーが装着されました。
治療前の写真がこちらです。

歯の内部の虫歯もなくなり、治療した歯がどこか分からないくらいに審美的に仕上がりましたね(*^^*)
銀歯の寿命は5年~7年とも言われ、
再度虫歯になるリスクが高い治療です。
残念ながら日本の保険制度では、いまだに銀歯が多用されているのが現状です。
また、治療時の虫歯の取り残しによって、虫歯が再発する可能性もあります。丁寧に虫歯を完全に取り除く必要があります。
たまに患者さんから、「ドックスベストセメント」はどうですか?
と聞かれますが、私は使いませんよー。使いたくもないですよ(^^;
「薬で治したい」や「歯を削りたくない」という気持ちはわかりますが、
ドックスベストをうたっている先生も結局は歯を削りますし、
薬で治ったとしても、虫歯の残骸はその後の予後に左右されます。
(薬で治りませんが。。)
もし最良の治療なら世界基準になっていますよねっ‼(*^-^*)
希望される患者さんは、自己責任でよそへ行ってくださいm(__)m
当院では、できるだけ歯が長持ちする治療の提案、相談をしていきます。
そのため当院では、虫歯治療は保険適応外です。
【治療費】
・セラミックインレー
費用:1本88,000円(税抜80,000円) (別途型取り代)
(将来的に値段が変わる場合があります)
【施術の副作用やリスク】
治療中または治療後に出血や痛みや腫れを伴う場合があります。