世田谷目黒区、自由が丘駅南口徒歩3分の歯医者
デンタルアトリエ自由が丘歯科の院長の小笠原です。
今回は銀歯のセラミック交換の症例です。
右下の歯ですが、お口の中を見てみると

5番目の歯と、6番目の歯の2本に銀歯が入っています。
もう古く、5年以上前にやった治療のようです。
麻酔をして、銀歯を削って外していきます。

外してみると、歯と歯の間に黒い虫歯があります。
今回は特に虫歯の進行はそこまで進んでいなく、
虫歯の箇所をしっかりと削り、形を整えていきます。

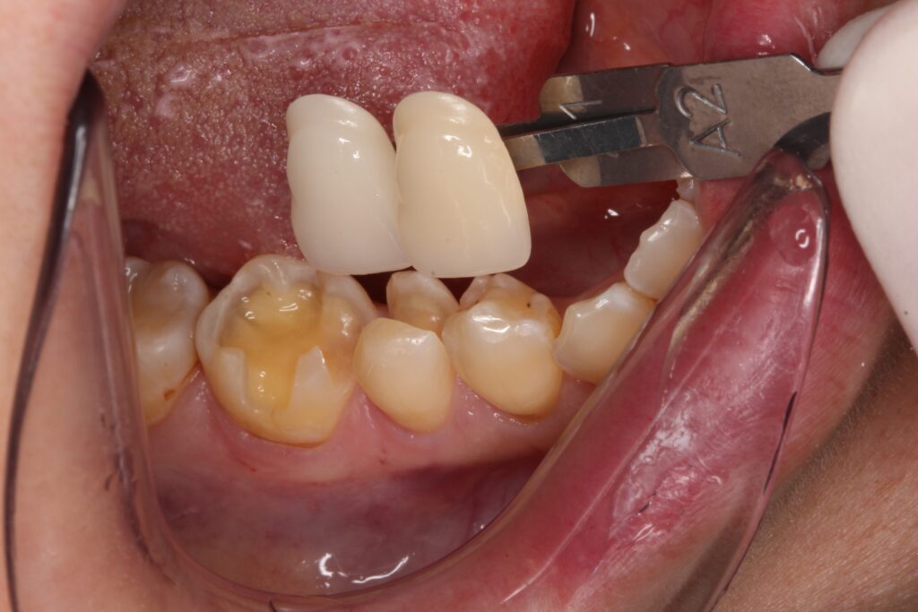
歯の形を整えて色合わせをします。
セラミックのインレーを製作します。

セラミックのインレーがセットされた状態です。
写真の角度が違い分かりにくいかと思いますが、
上から2番目と3番目の歯にセラミックがセットされています。
「どこに入っているか分からない」
と思われるようでしたら、治療はうまくいきましたね(^^)/
当院に来院される方で、以前セラミックを入れて治療したという歯を確認するのですが、歯と色が違い、詰め物が浮いている感じで、「ただ白いだけ」の詰め物処置がされていることが多くあります。
例えば、違う方ですが

以前の歯医者での治療です。
赤い矢印が、セラミック?による詰め物。
青い矢印が、ジルコニアによるかぶせ物です。
セラミック?は歯の形がなく、ぺったんこで、浮いてい見えます。
ジルコニアは元々、色の再現性が難しく、単一の白色になりがちですが、
ここまで周りの歯と色が違うのもどうかと思います(^^;
もう少し色が合わせられる気がしますが・・・
セラミックや、ジルコニアも安価な値段設定だと、色の再現まではしない歯医者もあります。しかし、せっかくお金払った自費診療を受けるのであれば、
しっかりと色も形も合わせてもらいたいですよね(^^;
「インレー」の詰め物ですが、
通常、「インレー」が入っていた歯は、新しく詰め物をする場合、再度「インレー」を入れます。
範囲にもよりますが、既に削って「インレー」になっている歯を、「レジン」のプラスティック樹脂で詰めることは、可能ではありますが、おすすめはしません。
前回の治療でそれだけ削られているために、そこに直接レジンを詰めようとすると、形の再現性、特にかみ合わせを精度よく合わせることは難しくなります。また耐久性が低くなりますので、せっかく新しくする治療の精度が落ちる可能性があります。
しっかりと型取りをして、模型上で噛み合わせを合わせて、歯にフィットさせてあげた方が良いと思います。(すべてではありませんが)
ダイレクトボンディングという、「レジン」で治す場合は、
虫歯の初期の段階。あまり歯を削らずに治療が出来る場合は、
そこだけ詰めてあげたほうが歯にとって良い治療となるでしょうか。
当院では、できるだけ歯が長持ちする治療の提案、相談をしていきます。
そのため当院では、虫歯治療は保険適応外です。
【治療費】
・セラミックインレー
費用:1本 88,000円
(将来的に値段が変わる場合があります)
【施術の副作用やリスク】
治療中または治療後に出血や痛みや腫れを伴う場合があります。
・公式ホームページ
・アメブロ
・デンタルアトリエYoutubeチャンネル