今回はむし歯の治療です。
検診にて、銀歯の中にむし歯があることが分かりました。
右上奥の歯です。お口に中を見ると、

6番目と7番目の歯に銀歯が入っています。
以前より、しみる感じや違和感があったとの事です。
患者さんの希望もあり、1本づつ状態を確認して治療を行う予定としました。当院では、患者さんの希望を聞きながら、治療の計画を相談いたします。
今回は6番目(奥から2番目)の歯の治療を行います。
麻酔を行い治療中に痛みが出ないようにします。
銀歯を外してみると、
このような状態です。
歯の内部に白い材料が入っています。
前回の先生が治療した際に、むし歯が深い所に材料を詰めてあります。
こちらを削って取ってみると、

内部で茶色いむし歯が広がっているのが分かります。

う蝕検知液を用いて、むし歯を丁寧に取り除いていきます。
かなり神経近くまで広がっているのですが、
今回は神経は出てこなかったので、神経は取らずに治療してあります。
むし歯は全て取りきり、削った表面を保護するように、
レジンでコーティングしていきます。

形を整えて型取りを行っていきます。

歯の色合わせを行い、歯に綺麗に合うようにセラミックを製作します。
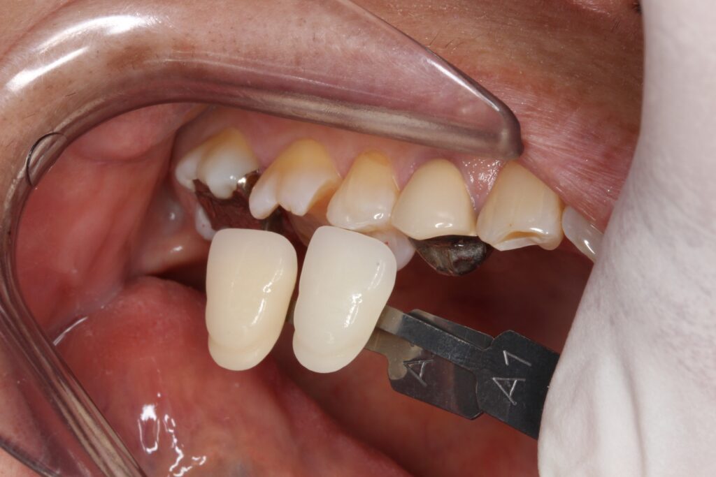
セラミックが装着された状態です。

綺麗に入りました。
その後特に症状もなく、通常通りお食事もできるため、
こちらの歯の治療を終えました。
次回は一番奥の歯の治療を行います。
当院では歯により良い治療を提供しています。
そのため当院でのむし歯治療は保険適応外です。
【治療費】
・セラミックインレー
費用:1本 88,000円
(将来的に値段が変わる場合があります)
【施術の副作用やリスク】
治療中または治療後に出血や痛みや腫れを伴う場合があります。