院長の小笠原です。
受験のシーズンですね!
インフルエンザが流行っているので注意しましょう!
インフルエンザは予防ができますので、かからない努力も必要です。
インフルエンザ予防についてはこちらの記事も参考にどうぞ(^^)/
https://dental-atelier-jiyugaoka.com/blog/1360/
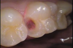
今回の治療は、右上6番目の歯です。
お口の中を見てみると、なにやら黒い所が、、、
本人は痛みなどの症状はないようです。
場所はわかりますか?
赤丸で囲まれたココです!
デコボコしているのですが、前に治療した形跡があり、
レジンで詰め物がされています。
その周囲から虫歯が入り込み、2次虫歯になってしまっています。
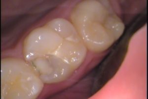
穴をあけてみると
黒い虫歯がでてきました・・・
もう少し掘り進めると、結構黒いですね(^-^;
ちょっと虫歯が大きいです。
虫歯を染めるお薬(う蝕検知液)を使って、虫歯の箇所を染め出しします。
あとは、虫歯を丁寧に慎重に取り除き、

レジンで詰めて形を成形します。
虫歯がすべて痛みを感じるわけではありません。
痛みを感じた時は、神経にばい菌が入り、神経を取らなければいけない状態かもしれません。
早めの治療は、1回で済み、銀歯を入れなくてもすみます。
早期発見、早期治療を心掛けましょう(^^)/