銀歯を白くセラミックに変えていきたい患者さんです。
今回は右上の奥歯の銀歯です。
お口の中を見てみると、
銀歯が多く入っています。
今回は奥歯2本の治療です。
エックス線写真で、銀歯内部の虫歯を認めます。
エックス線写真は歯の見えないところが見えてきますので、
歯の内部にむし歯があるのが分かります。

親知らずがあるのも分かります。
そして、親知らずが当たっている手前の歯がむし歯になっています。
むし歯になると、歯の内部が溶けてくるので、エックス線写真で黒く抜けた像ができます。

赤く囲まれた歯が上の親知らずで、
赤くマーキングしてある箇所にむし歯があります。
銀歯を外していきます。

銀歯を外すと内部にむし歯が広がっています。
う蝕検知液を使い、むし歯の箇所を染色しています。
赤く色が染まっている箇所にむし歯があります。

どんどんむし歯を取っていくと、むし歯があちらこちらから侵入され、
歯の内部全面に広がっているのが分かります。
親知らずが見えてきましたね。分かりますか?
親知らずの当たっている所をみると、

奥に少し見えるのが親知らずです。
少し歯の頭が出てきています。
そして、親知らずが当たっている手前の歯にむし歯が侵入しているのが分かります。
長年、親知らずが中途半端に生え、手前の歯と隙間を作り、むし歯になってしまいました。
ただでさえ、一番奥の親知らずは歯ブラシがしずらく、不衛生になるのですが、
中途半端に生えた親知らずは、より磨きずらく、むし歯になりやすく、
さらには、手前のはも一緒にむし歯になってしまいます。
下手に親知らずを残していたせいで、共倒れになってしまいます。
親知らずを抜く、抜かないはしっかりと確認したうえで、
担当の先生と相談していきましょう。
抜きたくない気持ちは分かりますが、先延ばしにしてあまりいいことはありません。
結果、今回は親知らずを抜歯しました。
まずむし歯をすべて取り切り、削った歯をレジンで保護します。

今回はむし歯はかなり進行ありましたが、治療中に神経まで達しなかったので、
神経を残すようにします。
後々に痛みが強く出た場合、神経を治療する可能性もあるので経過を見ます。
その間に、親知らずを抜いて、抜いたところの治癒を待ちたいと思います。
その期間、歯に問題が無ければ、セラミックをセットして治療を終えます。
抜いた後の約3カ月後の状態です。

親知らずがあったところは凹みがまだ残っていますが、
歯はなくなり、歯肉が回復しています。
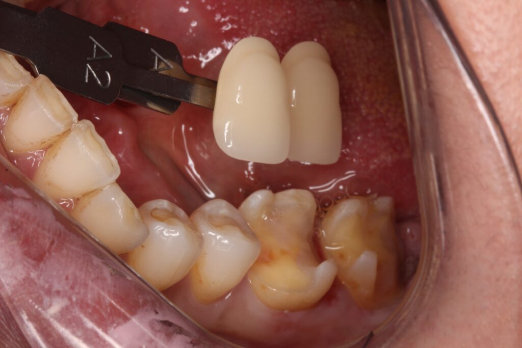
手前の歯はセラミックが入るように再度削り直し、形を整えます。

歯の色を記録して、セラミックを製作します。
セラミックがセットされた状態です。

奥歯2本にセラミックが入り、綺麗に歯の形が戻っています(^-^)

一番奥の歯も、親知らずがなくなりすっきりです。
歯ブラシがしずらい箇所なので、今後も再度むし歯にならないようにケアが必要です。
この患者さんはデンタルフロスを使用し、うまくケアができていましたのでOKです(*^_^*)
親知らずは残してよいものと、早めに抜歯した方が良いものがあります。
個人では判断できず、担当する歯科医師も判断が異なります。
特に、親知らずの抜歯が不得意な歯科医師は、
「残しておきましょう」「何かあったときに対応しましょう」
と言われることが多いように思われます。
親知らずの抜歯は嫌なものなので、患者さんの負担になることは勧めたくない気持ちは分かりますが、後で治療が大変になるものや、不利益になる場合は早めに対応することをお勧めします。
お気軽にご相談ください(^^)/
【治療費】
・セラミックインレー
費用:1本 88,000円
(将来的に値段が変わる場合があります)
【施術の副作用やリスク】
治療中または治療後に出血や痛みや腫れを伴う場合があります。