世田谷目黒区、自由が丘駅南口徒歩3分の歯医者
デンタルアトリエ自由が丘歯科の院長の小笠原です。
古い金属をセラミックで白くしたい患者さんです。
お口の中を見ると、何年も前に治療した銀歯が2本入っています。

銀歯を削って外していきます。

外したところです。
内部に少し黒い所もあり、表面に白くセメントが残っていますので、
汚れを綺麗に取っていきます。

隙間から内部に虫歯の侵入が認められます。
さらに、銀歯ではなく手前の歯と歯の間からの虫歯もありました。

手前の歯との間に黒く虫歯があります。
治療を行う際は、その歯の虫歯はしっかりと取り除き、虫歯が確実に無い状態にします。
虫歯の取り残しは再発の原因になります。
今回は虫歯は浅く、神経までは達していなかったので神経は治療せずにすみます。
虫歯を全て取り除き、削った面をレジンでコーティング。
形を綺麗に整えます。

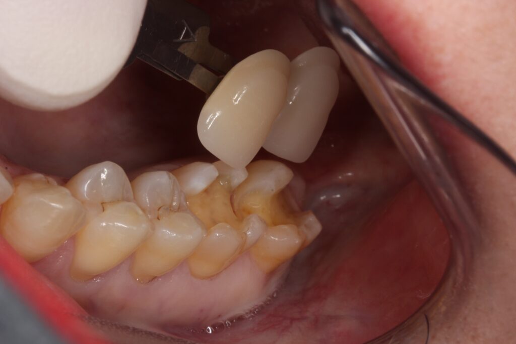
後は型取りを行い、製作したセラミックをセットしていきます。

歯の色を記録して、セラミックを製作。
後日、セラミックをセットします。
セラミックがセットされた状態です。

歯の色と形を合わせてセットします。
綺麗に治療が終わりました(^^)/
最初の状態をもう一度見てみると、

銀歯が良く目立ちます(*_*)
銀歯はセラミックに比べ、見た目が良くないのはもちろん、
虫歯にもなりやすく、治療を繰り返す材料です。
現在でも保険では日常的に銀歯が使用されます。
より歯に優しい治療があります。
それにより歯の寿命は延びます。
当院では歯により良い治療を提供しています。
そのため当院でのむし歯治療は保険適応外です。
【治療費】
・セラミックインレー
費用:1本 88,000円
(将来的に値段が変わる場合があります)
・ダイレクトボンディング
【施術の副作用やリスク】
治療中または治療後に出血や痛みや腫れを伴う場合があります。