世田谷目黒区、自由が丘駅南口徒歩3分の歯医者
デンタルアトリエ自由が丘歯科の院長の小笠原です。
先月治療を行った患者さんです。
今回は患者さん自身では絶対に分からない虫歯です。
お口の中の状態は
患者さんのご希望は「銀歯を白くしたい」とご来院いただきました。
お口の中を見てみると、

下の奥歯。奥から2番目に銀歯が入っています。
こちらの銀歯を白くしたい希望です。
こちらの銀歯をセラミックへ交換しますが、
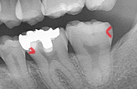
まずはエックス線検査を行い、歯の内部の状況を確認します。
銀歯が白く写っています。

ここから分かることは、
銀歯の中が虫歯になっていること。
さらに奥の歯も虫歯になっていることが分かります。
エックス線写真では虫歯が黒く写ってきます。
どこかというと、

赤く示した箇所が黒く抜けて写っています。
つまり、今回は銀歯を、もう一つ奥の歯の虫歯の治療を行います。
患者さんに説明をし、治療を行っていきます。
銀歯と取って、虫歯治療を行っていきます。
まずは銀歯を削って外していきます。

銀歯を取った状態です。
接着剤が残っていますが、内部は汚れ、あまりきれいな状態とは言えません。
表面の接着剤と汚れを削り取って綺麗にします。

この状態です。
虫歯を確認するために、う蝕検知液を使い虫歯を染め出しします。

赤く色が染色された箇所に虫歯の進行があります。
手前の歯が黒くなっています。
銀歯が当たっていた間の所です。表面を磨いて虫歯かどうか確認します。

黒い所がなくなり、歯の綺麗な表面が出てきましたので、こちらの歯は無事でした(*_*)
詰め物は外してみると、その時に分かることが多くあります。
もし虫歯でしたら治療が必要でした。
銀歯の歯に戻り、虫歯はしっかりと取り除きます。
見えない虫歯を確認する
そして、もう一つの虫歯の歯です。
一番奥の歯(銀歯の奥の歯)を見てみると、

このような状態です。
噛み合う面に以前治療されたレジンが詰めてあり、
一番奥の歯なので、奥に歯ぐきが見えます。
虫歯はこの中で進行しています。

エックス線検査でないと分からない箇所です。
表面から穴を空けていくと、

黒い虫歯が出てきました。
ここの箇所は歯ブラシが届きらづく、虫歯になりやすい場所と言えます。
さらに掘り進めると、

歯ぐきから内部への侵入、さらに側面から虫歯の侵入もありました。
しっかりと検査を行い、虫歯を確認することで見つかった虫歯です。
今回は神経まで達していなかったので、神経治療はせずに済みました。
側面からの虫歯は神経に達する距離が短く、神経治療になりやすい特徴があります。早めに分かって良かったですね(^^)
2つの歯の虫歯をしっかりと取り除き、
削った面をレジンでコーティング。セラミックが入るように形を整えます。
形を整えた状態です。

歯の内部が綺麗ですね(^^)
一番奥の歯ぐきはが黒くなっていますが、
邪魔な歯ぐきを電気メスで切除してあるからです。
しっかりと歯と歯ぐきの境目を出して、ぴったりセラミックが入るように整えます。
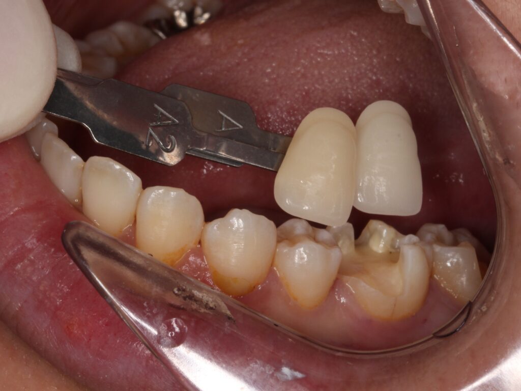
セラミックをセットして治療終了
歯の色を記録してセラミックを製作します。

ひとりひとり歯の色は違うため、歯の色を合わせて、
その方に合うセラミックを製作します。
後日、セラミックがセットされた状態です。

綺麗にセラミックが入りました(^^)/
どこを治療したか分からないくらいですね!
今回は銀歯の中が虫歯になっていましたし、
症状がなくても虫歯が進行していた歯を早めに治療が出来ました。
結果的に来院された患者さんのタイミングが良かったのがあります。
もう1年、2年来院を先延ばしにしていたら・・・
一番奥歯は気づかず進行があり、銀歯の歯もさらに進行があり、
神経まで達して神経を治療しなければいけなかったかもしれません(*_*)
やはり早めに受診と検査を行うことをお勧めします。
さらに定期的に検診、エックス線検査によるチェックを行うことで、
歯を長持ちさせることができます(^^)/
当院では歯により良い治療を提供しています。
そのため当院でのむし歯治療は保険適応外です。
【治療費】
・セラミックインレー
費用:1本 88,000円
(2022年 料金改正を予定しています)
【施術の副作用やリスク】
治療中または治療後に出血や痛みや腫れを伴う場合があります。