世田谷目黒区、自由が丘駅南口徒歩3分の歯医者
デンタルアトリエ自由が丘歯科の院長の小笠原です。
親知らずが原因の虫歯の症例です。
30代女性。親知らずの抜歯を希望され当院に来院されました。
お口の中を見てみると

親知らずが横向きに生えているのが分かります。
左下奥歯の状態です。
よく見ると、手前の歯にぶつかっている親知らずですが、
黒く虫歯になっているのが分かります。
方向が違う歯と歯の間は隙間になるので、汚れが溜まるのが特徴です。
エックス線写真で状況を確認すると

横向きの親知らずが、手前の歯にささっています。
食い込んでいる手前の歯が黒く虫歯になっているのが分かります。
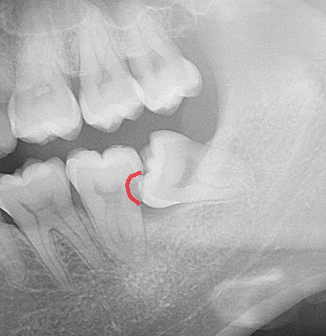
どこかというと、

ここですね。
エックス線で黒く抜ける像が出来ています。
虫歯で歯が溶けています。
歯の側面からの虫歯は神経までの距離が短く、
虫歯が神経まで到達しやすい特徴があります。
以前のブログですが、私は親知らずは早めに対処することをお勧めしています。
https://dental-atelier-jiyugaoka.com/cases/1024/
患者さんに手前の歯の状況をご説明し、
まずは親知らずを抜歯します。
親知らずを抜歯した後の状態です。

大きな親知らずだったため、
大きな穴が空いています。
こちらは徐々に塞がってきますので問題はありません。
親知らず抜歯後、症状が落ち着いたところで、
手前の歯の虫歯治療を行います。

親知らずが無くなり、傷も落ち着いてきました。
まだ穴が空いています。
虫歯はこの見えている歯の裏側から侵入されています。
ここの虫歯治療は直視できないため、難易度が上がります。
見える範囲から徐々に歯を削り、虫歯まで到達します。

茶色い虫歯が見えてきました。
そうここですね!

隠れていた虫歯が見えました。
少しづつ丁寧に削りながら、虫歯を取っていきます。
そうすると、

やはり虫歯が深く、歯の神経内部が出てきました。

矢印の先に赤い所が見えます。
歯の内部は神経と血管が走っており、神経に到達したのが分かります。
患者さんには事前に「神経まで達した場合は神経処置を行います」
と説明済みです。
この場所の処置は非常に難しく治療にはしっかりとした説明をし、同意を得ます。
残念ではありますが根管治療に移ります。
ラバーダム防湿を行い、精密な根管治療を行います。
根管治療が終了したCT画像です。

3次元的に確認します。
根の中に白く写っているのがお薬です。
2つの根管が根の先で1つになっているのも分かります。
あとは、補綴処置へと進みます。
症状が無いことを確認し、ファイバーコア(芯棒)による土台を立てます。

ファイバーが入っています。
歯の形を整えて

ひと回り小さく山型に整えます。
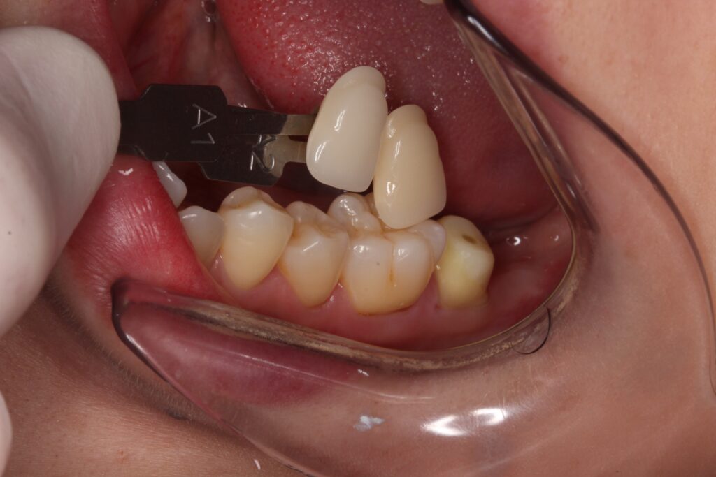
歯の色を記録して、セラミッククラウンを製作します。

後日出来上がったセラミックをセットします。
セットした状態です。

歯が戻り綺麗に仕上がりました(^^)/
親知らずの穴も塞がっていますね!
約2,3カ月で穴が塞がります。
早めでしたら根管治療は回避できたかもしれませんが、
そういってもしょうがないです・・・(*_*)
その後の治療をしっかりと行うことで問題なく長期に安定することは出来ます。
治療が難しい一番奥の歯だからこそ、
やるときはしっかりと治療を完了させたいですね!
【治療費】 (税込)
・根管治療(大臼歯):110,000円
・ファイバーコア:22,000円
・セラミッククラウン1本 148,500円
(+別途型取り代)
(2022年に価格改正を予定しています)
【施術の副作用やリスク】
治療中または治療後に出血や痛みや腫れを伴う場合があります。
・公式ホームページ
・アメブロ
・デンタルアトリエYoutubeチャンネル