「半年前に別の歯医者で虫歯の治療をしてもらったが、
違和感が残るので見てほしい」という患者さんです。
患者さんに良くあることなのですが、
治療したのに、3カ月以上経過しても何かしら気になる症状がある場合は、治っていない場合が多いです。
(歯がしみるなどの知覚過敏症状は残る場合があります)
担当医から、
「もう少し様子を見ましょう」
「噛み合わせが悪いです」
「歯ぎしりをしているせいです」
など根本原因の治療をせずに経過だけを見ている場合。
その後3カ月以上経過しても症状の改善が無い場合は、別のしっかりと検査していただける歯医者を受診することをお勧めします。
真に受けて、我慢して半年以上過ごす必要はありません。
また症状が続き、我慢し続けると、歯にとっても治療が手遅れとなる場合がありますので注意が必要です。
今回の場合です。
お口の中を見てみると、

左上の奥歯の2本です。
赤い枠で囲まれた範囲を前回の治療で治してもらったようです。

ここに詰め物が入っています。
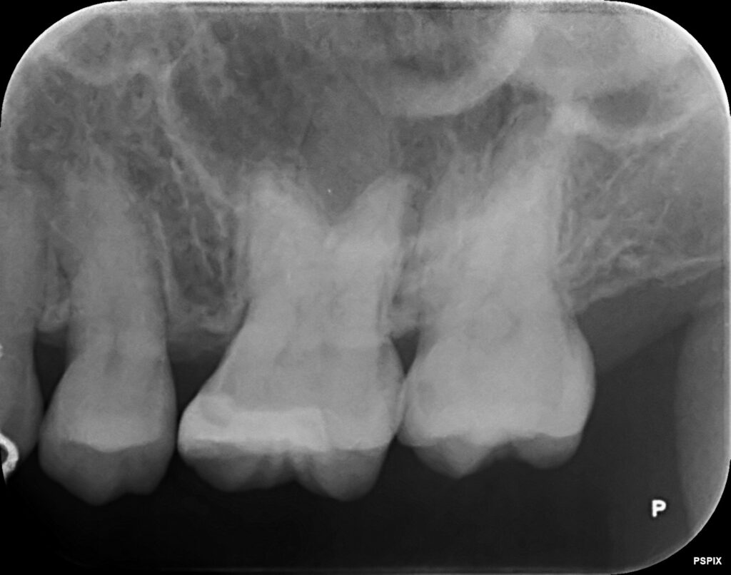
レントゲン写真を撮って歯の内部を検査してみます。

レントゲン写真を確認してみると、原因が分かりました。

赤い枠が以前治療した6番目の歯です。
もう一つ奥の7番目の歯の内部に、黒い影がありました。
青い枠で囲まれた箇所に虫歯がありました。
お口の中を良く確認してみると、

歯と歯の間の所が少し黒くなっているのが見えます。
今回の原因ですが、
以前治療した歯ではなく、
もう一つ奥の歯の虫歯が未だ治療されていないので、
その後の違和感が残っていると考えられます。
今回の治療ですが、
まず残っている虫歯の治療を行う。
↓
違和感が解消されるなら、この虫歯が原因です。
↓
それでも違和感があるようなら手前の歯の再治療を行う。
となります。
治療を行っていきましょう。
奥歯の歯と歯の間を削っていくと、

内部に茶色い虫歯がありました。
レントゲン写真で確認しているので分かりますね。
さらに削っていくと、

茶色い虫歯が広がっています。
「う蝕検知液」という虫歯を染めるお薬を塗って確認すると、

赤く色が付いた箇所に虫歯があります。
虫歯はすべて取り除きましょう。
歯と歯の間からの虫歯なので、
手前の歯との間が虫歯になっていないか確認します。

手前の歯はきれいで虫歯になっていませんでした。
良かったです(*^-^*)
虫歯を取り除きました。

さらに、この歯は以前行った古い詰め物が入っていましたので、
古い材料も取ってしまいます。

外側の材料の内部も綺麗にしていきます。
虫歯の進行は、歯の神経までは達していませんでしたので、
歯の形を整えて、
「インレー」という部分的な詰め物を入れて修復させます。
歯の形を整えて歯型を取ります。

歯の色を写真で記録します。
人それぞれ歯の色は違います。
その方に合った歯の色に仕上げます。
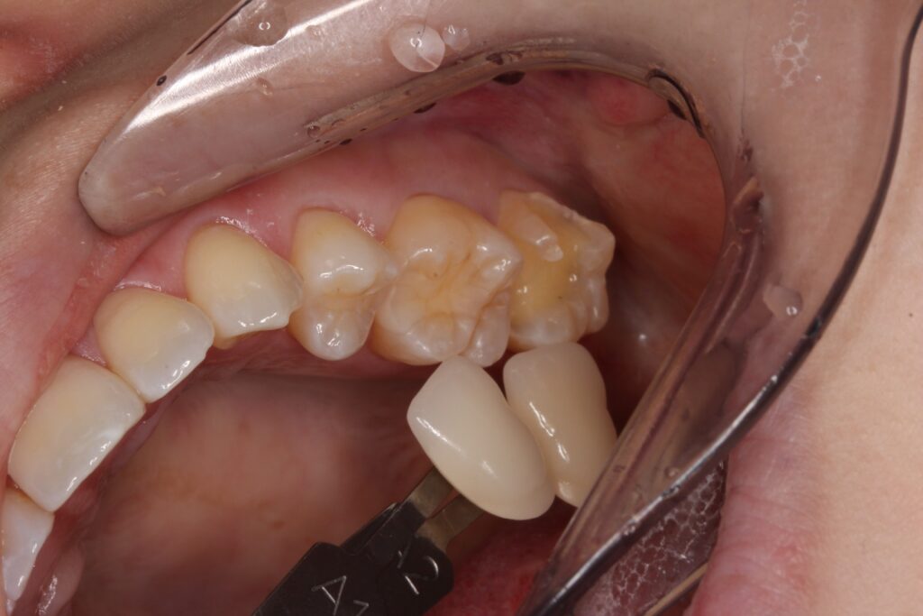
後日、セラミックインレーをセットします。

治療が終わった状態です。
治療した箇所が分からないくらい綺麗に仕上がりました(^^)/
治療後、患者さんは特に違和感を感じなくなったとの事です。
ですので、これで治療は終了します。
良かったですね(*^-^*)
治療したのに違和感が消えない場合は、
①治療した歯が治っていない場合
また
②他の歯に原因がある場合
が考えられます。
今回は後者でしたね。
本来は、最初に治療をする際に、
こちらの歯の虫歯治療も一緒にしなければなりません。
・レントゲンの写り具合で虫歯が分からなかったのか、
・その時はレントゲン写真に写るほど虫歯が広がっていなかったのか、
・見逃されてしまったのが・・・
原因は定かではありませんが、
何かしらの気になる症状が続く場合は、しっかりと検査をして原因を追究することが歯にとっては良いです。
セカンドオピニオンといって、歯医者を変えて
別の先生の意見を聞くこともするべきです。
歯でお悩みの際はお気軽にご相談ください(^-^)
当院では歯により良い治療を提供しています。
そのため当院での虫歯治療は保険適応外です。
【治療費】
・セラミックインレー
費用:1本 110,000円
(別途型取り代がかかります)
【施術の副作用やリスク】
治療中または治療後に出血や痛みや腫れを伴う場合があります。