世田谷目黒区、自由が丘駅南口徒歩3分の歯医者
デンタルアトリエ自由が丘歯科の院長の小笠原です。
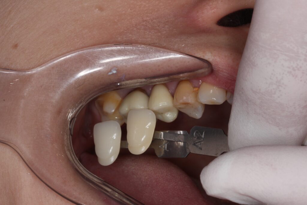
検診で虫歯が見つかった患者さんです。
お口の中を見てみると、
一番奥の歯に金歯(ゴールドインレー)が入っています。
ゴールドインレーは現在でも使用する保険適応外の修復材料です。
私も日常的に患者さんに使用します。
①壊れない
②歯へのフィットが非常に良い
③長期安定し虫歯にもなりにくい
☟私も以前Youtube動画で説明しています。
https://www.youtube.com/watch?v=ZmULbCilJDk
ご覧になる方はどうぞ🙇
適切に処置されたゴールドインレーは虫歯のリスクが低く、
長く使えます。
今回のケースをよく見ると、

詰め物と歯の間に隙間があります・・・
いくら材料の性質が良くても、治療する担当医が適切に処置できなければ、
長持ちしないのは良くあることです。
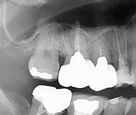
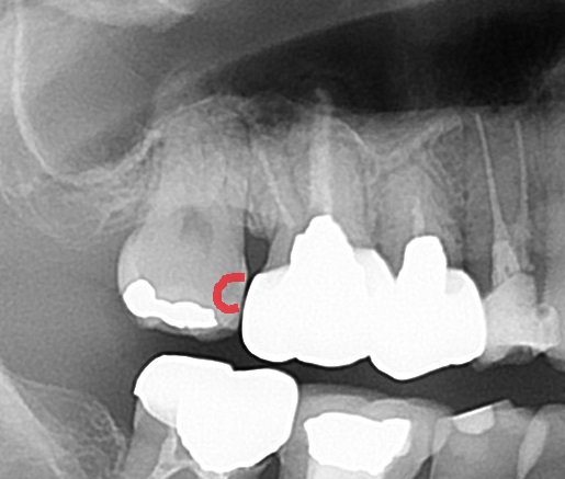
またレントゲン写真(エックス線写真)でけんさすると、

このように歯の内部が見えてきます。
よく見ると、

手前との間に、黒く虫歯の影が見えます。
つまり、詰め物をしたところとは別に!
歯が虫歯になってしまった場合は治療が必要になります。
以上の事から、
①歯により良い材料で
②しっかりと治療をしてもらい
③その後虫歯のケアをする
という基本的なことが必要です。
私のお仕事は①と②を確実に行い。
③の指導をすることを基本としています。
お口の中に戻ると、

ここにも虫歯があります。
またよくよく見ると、

ここも茶色く虫歯になっています。
治療に入りましょう。

歯を削って行くと、内部に黒い虫歯が見えてきました。
金歯を外してみると、

インレーの隙間から内部に虫歯の侵入があります。
「う蝕検知液」という虫歯を染色するお薬を塗ると、

赤く色が染まっている箇所が虫歯です。
虫歯は全て取り除きましょう。
虫歯を取って、セラミックインレーが入るように形を整えます。

どうしても範囲が広くなってしまいましたが、
虫歯がなくなり歯の中はきれいになりました。
今回は神経まで虫歯の進行はありませんでした。
歯型を取ってセラミックインレーを製作します。

歯の色を記録して、歯科技工士がその方に合った歯を製作します。
セラミックインレーがセットされた状態です。

どこを治療したのか分からないくらい綺麗に仕上がりました(^^)/
自然な色でセットされています。
手前の歯のジルコニアクラウンの不自然な白い色が目立ちますね。
歯が綺麗になり患者さんも喜んでいただきました。
いくら良い材料を使ったとしても、
歯科医師の腕次第で悪くなります。
また1度直したから安心。というわけではなく、
虫歯リスクがあったからその歯は治療されました。
そのリスクを取り除かない限り虫歯にはなります。
予防が大切です(*_*)
ネットでは詰め物の種類で、
利点、欠点などの情報が多く出ていますが、
あくまで「材料」の特性のみです。
治療する歯科医師の技術力は考慮されていませので注意が必要です。
当院では歯により良い治療を提供しています。
そのため当院での虫歯治療は保険適応外です。
【治療費】
・セラミックインレー
費用:1本 110,000円
(別途型取り代がかかります)
【施術の副作用やリスク】
治療中または治療後に出血や痛みや腫れを伴う場合があります。
・公式ホームページ
・アメブロ
・デンタルアトリエYoutubeチャンネル