こんにちは。院長の小笠原です。
銀歯をセラミックに変えたい30代男性の方です。
奥歯に目立つ銀歯が入っていました。レントゲン写真でも虫歯を確認済みです。

昔に治療した銀歯で、何も聞かれずに治療の流れで銀歯が入ったようです。
銀歯が虫歯になりやすいのを気にされて治療の希望です。
まず銀歯を削って外してみると、

手前の歯の銀歯の中は黒く汚れています。
さらに奥の銀歯の歯との間から黒く虫歯になっています。
手前の歯の処置を進めます。
表面の黒い汚れを取っていきます。

歯と歯の間が虫歯で汚れていたので、歯ぐきが炎症を起こして出血もあります。

以前の銀歯自体がかなり大きく、
さらに内部に虫歯があったので、残っている歯が小さくなってしまっています。
銀歯の下で虫歯が広がっていました。
なるべく神経は残すように丁寧に治療をします。
奥の銀歯も外しましょう。

表面上は虫歯はありませんが、銀歯の際が黒くなっており、
銀歯の隙間から内部に虫歯が入っていました。

虫歯は全て取り除き、
削った面をコーティングして、歯の形を整えます。

ご本人の希望に沿って、
なるべくご自身の歯を残すようにして修復していきます。
歯の色を記録して、歯の色に合わせてセラミックインレーを製作します。

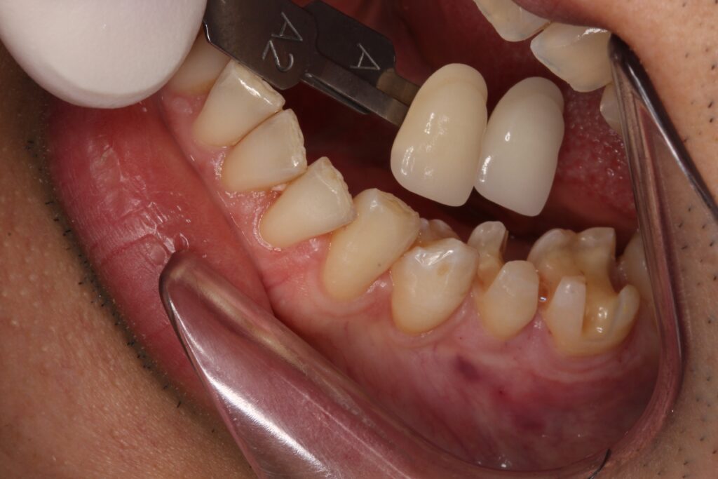
後日セラミックが歯にセットされた状態です。

綺麗にセラミックが入り、歯の色が綺麗になりました(^^)/
最初の状態がこちらでしたね

銀歯は目立ちますし、
今回のように内部で虫歯が広がっていることが多くあります。
銀歯の寿命は5年~7年とも言われ、経年的に内部で虫歯が広がって再治療になることが多いです。
その後症状もなく食事も問題ないとのことです(^-^)
銀歯もなくなり、見た目も綺麗になり、患者さんにとっても、歯にとっても良い結果となりますね!
当院では歯により良い治療を提供しています。
そのため当院での虫歯治療は保険適応外です。
【治療費】
・セラミックインレー
費用:1本 110,000円 (税込)
(別途型取り代がかかります)
【施術の副作用やリスク】
治療中または治療後に出血や痛みや腫れを伴う場合があります。