世田谷目黒区、自由が丘駅南口徒歩3分の歯医者
デンタルアトリエ自由が丘歯科の院長の小笠原です。
検診で虫歯が見つかった患者さんです。
虫歯の状況は
今回の虫歯は歯と歯が接している間からの虫歯です。
お口の中は、

このような状態です。
一見どこに虫歯があるか分かりません。
歯の状態を見てみると

赤枠で囲まれたところに、
以前、前の歯医者で虫歯の治療をした際のレジン(プラスチック樹脂)が詰めてあります。
今回は新しく虫歯が出来てしまい、再度の治療となります(*_*)
虫歯の箇所は、

矢印の所に虫歯があります。
歯と歯の間から侵入しているために表面上は分かりません。
エックス線(レントゲン)検査で確認済みです。
虫歯治療スタート
虫歯は削って取り除きます。
上から削っていくと、

茶色い虫歯がありました。
茶色くなっている箇所が虫歯です。
まだ進行がひどくなかったので、
早めに処置ができましたが、接している両方の歯に侵入が見られましたので、2本の歯の治療が必要となります。
歯と歯の間の虫歯は1本だけで済まないことが多いです( ノД`)
またこちらの歯ですが、
既に治療がされており、以前のレジンが入っています。
レジンの下に虫歯の侵入があるために、古いレジンも一度取り外して治療を行います。
セラミックによるインレーか、レジンによる詰め物か
再度レジンで修復することもできるかもしれません。
基準としては、すべての「虫歯」と「詰め物」を外して、
「残っている歯の大きさ」を考慮する必要があります。
あまり自身の歯が残っていなければ、レジンで詰めることができません。
理由として、
①レジンは強度は歯より弱いために、耐久力が無い。
→また劣化にともない、やり直さなくてはいけない。
②お口の中でレジンを成形する限界がある。
→レジンの詰め物は術者の技術力に左右されます。
その場合、歯型を取って模型上で歯を製作します。
インレー(部分的な詰め物)を作ることにより、上記2つを解消することができます。
セラミックインレー修復
今回は患者さんと相談して、セラミックによる修復を選択されました。
歯の形を整えて、歯型を取ります。
歯の色を記録して、その方に合ったインレーを製作します。

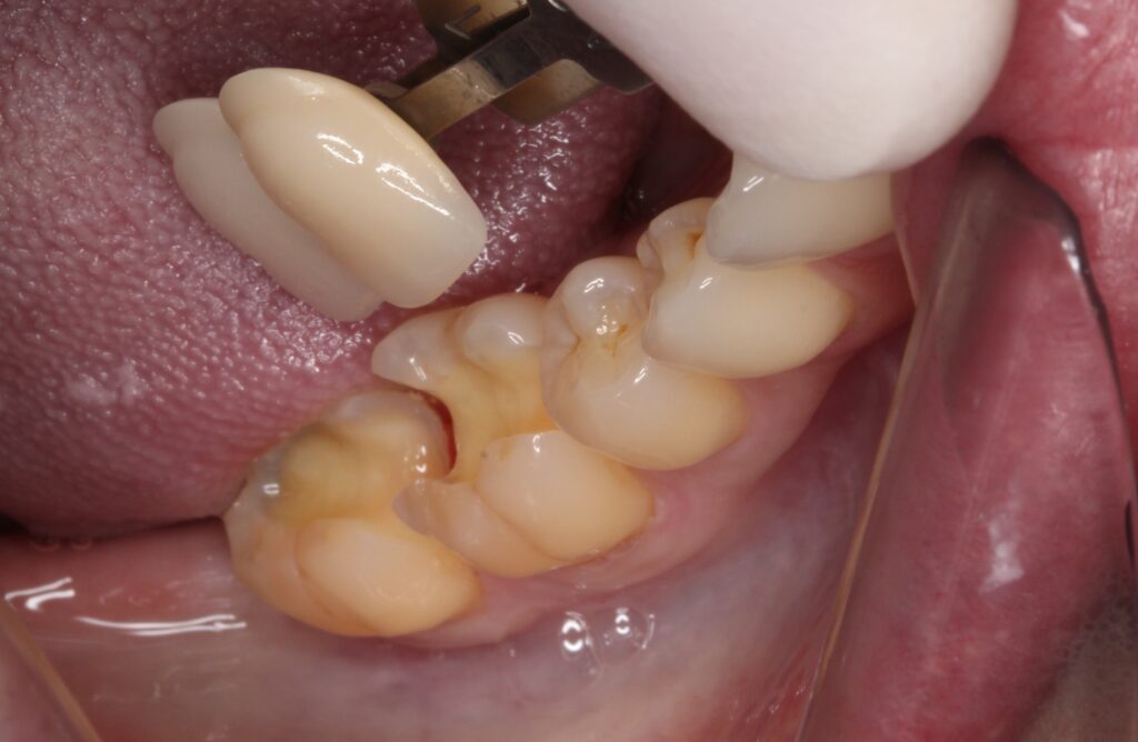
後日、セラミックがセットされた状態です。

奥歯2本にセラミックが入っています。
どこを治療したかわからないくらいに仕上がっていますね(^-^)
虫歯の治療の際になんの材料を選択するか?
ということを患者さんからよく聞かれます。
レジンで治したいという希望もよくあります。
しかし、その方の歯の状態に合わせて材料の選択をしなければ
後々に再治療を行い、より歯を削らなければいけなくなる可能性もあります。
しっかりと担当医と相談して、材料の利点欠点をちゃんと把握して選択できるといいですね。
当院では歯により良い治療を提供しています。
そのため当院での虫歯治療は保険適応外です。
【治療費】
・セラミックインレー
費用:1本 110,000円
(別途型取り代がかかります)
【施術の副作用やリスク】
治療中または治療後に出血や痛みや腫れを伴う場合があります。