世田谷・目黒区、自由が丘駅南口徒歩3分の歯医者
デンタルアトリエ自由が丘歯科の院長の小笠原です。
40代女性。虫歯の治療を希望の患者さんです。
歯医者はかれこれ10年以上は行っていないようで、虫歯も、詰め物が取れた所も放置していたとの事です。
当院には「ずっと歯医者に行っていなくて悪くなってしまったので、しっかりと治療をして、お口を綺麗にしたい」という方が多くいらっしゃいます(^^)/
自信が持てるように綺麗に治療しますので、遠慮なくご相談ください(^-^)
お口の中の状態
今回は右上奥歯の虫歯治療です。
お口の中を見てみると

歯が黒くなっている所、
以前治療したであろう歯の詰め物が取れてしまっている所、
など綺麗な感じではありません(*_*)
治療する所は
今回のブログで治療するところは、

5・6・7番目の歯の虫歯治療と、

こちらの親知らずの歯(矢印)です。
親知らずは手前の歯に当たっていて、中途半端に出ています。
歯ブラシも当てられないので、表面が黒く着色がついています。
親知らずの治療
親知らずは・・・
すぐに抜きましょう(^^)/
こちらは難しい治療ではありません。
麻酔をするので治療中の痛みはありませんし、
治療後も1日ほど痛み止めを飲む程度で終わります。
抜歯後、傷が落ち着いたところで虫歯治療を開始です。
虫歯の治療を進める
親知らずのあったところは穴になっています(*_*)
まだ治りかけです。
親知らず手前の歯を削っていくと、

親知らずが当たっていたところは磨けないので黒く汚れが付いていますね。
親知らずは手前の歯を虫歯にしてしまうリスクがあるので、
早めに抜くことをお勧めします(*_*)
6番、7番の歯の間も虫歯になっています。

古い詰め物や、虫歯をすべて削り取り、歯を綺麗にしていきます。

虫歯をすべて取り除くと、
歯の中の象牙質という黄色い所が綺麗に見えています。
所々にまだ茶色く点々と色がついているところがありますが、
こちらは虫歯ではありません。
う蝕検知液という虫歯を染めるお薬で染まらないので、
歯についてしまった着色です。
虫歯でないところは問題ありません。
黒いところ全て取ると、歯を削りすぎてしまい、内部の神経が出てしまう可能性があります。
そのためにう蝕検知液を使って必要な所だけ丁寧にチェックします。
セラミックによる部分的な修復を行うために歯の形を綺麗に整えます。
虫歯の進行状態の説明
今回、何年も放置していたにもかかわらず、
虫歯が神経まで進行していることもなく、状態としてはひどくありませんでした。
患者さんとしても、「相当深刻な状態だろう・・・」と心配しているようでしたが、そうではありませんでした。
なぜかというと、虫歯が進行度合い(リスク)は、
「糖質(炭水化物)」の摂取頻度にある程度比例しますので、
糖質の食生活習慣がしっかりとしている方は、長年放置したとしても状態が悪化しないことが良くあります。
つまり、虫歯がどんどん見つかる、また虫歯進行が早い人は、
日頃からお菓子やジュース。糖(炭水化物)の入った飲み物などを時間に関係なくダラダラ飲み食いしている人が多いです。
虫歯予防のお話はまたどこかでお話しするか、直接聞いてください(^^)/
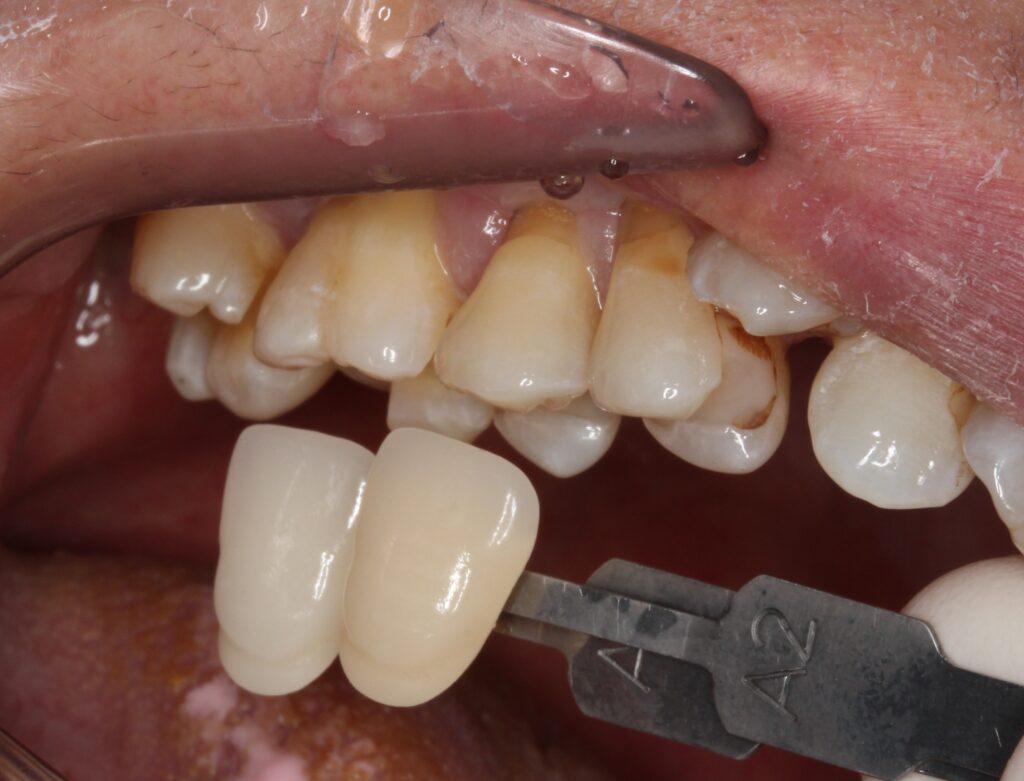
セラミックのセット
歯の形を整えた後は、
歯の型取りを行い、歯の色を記録します。

後日、製作したセミラックインレーをセットします。

色合いも綺麗にセットされました(^^)/
着色や、古い詰め物、取れた所でまだらだった歯が、
白く綺麗になりました。
最初の状態と比べると・・・

やはり歯は白く綺麗なのがいいですよね(*^-^*)
次回は残った一つ手前の歯の虫歯治療をして終わります。
当院では歯により良い治療を提供しています。
そのため当院での虫歯治療は保険適応外です。
【治療費】
・セラミックインレー
費用:1本 110,000円 (税込)
(別途型取り代がかかります)
【施術の副作用やリスク】
治療中または治療後に出血や痛みや腫れを伴う場合があります。
※学術的内容ではなく、一般の方のための内容であり、簡略化して説明編集してあります。