院長の小笠原です。
30代、男性。
銀歯を白くセラミックに変えたい。虫歯を治したい患者さんです。
奥歯に昔に治療した銀歯が入っている。
虫歯で穴が開いているとの事です。
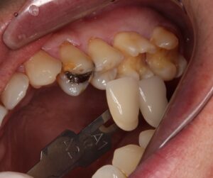
お口の中を見てみると

銀歯の歯(青い矢印)と、
黒く虫歯になっている歯(赤い矢印)が分かります。
エックス線写真(レントゲン写真)で検査済み。
歯の中に虫歯が進行しています。
今回はこちらの2本を治療します(^-^)
まず治療中に痛みの無いように麻酔をしてから、
銀歯を外してみます。

銀歯を削って外しました。
歯の中は黒く、詰め物の中で虫歯になっていました。
虫歯を削り取り、歯を綺麗にしていきます。

表面の汚れと虫歯を削っていくと、
歯の内部の象牙質の黄色い色が綺麗に見えてきます。
さらに一番奥歯の歯の間も茶色く虫歯になっています。
2本とも綺麗に虫歯を取っていきますと、

このような感じで綺麗になりました(^-^)
一見虫歯が綺麗に取れたかと思うのですが、
まだまだ虫歯が残っています。
どこにあるかというと、

赤い矢印の場所です。
左側からちょうど頬っぺたがくっついていますね。
一番奥の外側のここは、特に歯ブラシがしにくく、
多くの方が虫歯になる場所です。
外側からちゃんと見てみると

このように黒く虫歯が広がっています。
歯科医師としても、歯をいろいろな方向からしっかり見て
虫歯がどこまで広がっているかを確認しなければ虫歯の取り残しとなってしまいます。
すべての虫歯を取って、歯の形を整えたら歯型を取っていきます。

歯の色を色見本で確認して、その方の歯の色に合ったセラミックを製作します。
後日セラミックがセットされました。

綺麗に白い歯が入りました(*^-^*)
どこを治療したかわかりませんね!
最初の状態と比べると

なんだか・・・ですね(*_*)
世界的にも先進国で銀歯を使っている国は日本くらいです。
日本でも銀歯に代わる白い材料が導入し始めているのですが、
保険ではセラミックは使用できず、材質的にもチープなCAD/CAMインレー・クラウンというものです(*_*)
欧米では使わないのでは?(笑)
あくまで銀歯に代わる、ただの代替品です。
日本は最新技術を国が認めるのが遅く、
世界と比べると5年~10年ほど遅れている感じですが、
さらに保険範囲内の医療となると、それ以上のタイムラグのように思います。
(※あくまで個人の見解です)
自分の体のためにより良い医療を受けられると良いですね。
当院では歯により良い治療を提供しています。
そのため当院での虫歯治療は保険適応外です。
【治療費】
・セラミックインレー
費用:1本 110,000円 (税込)
(別途型取り代がかかります)
【施術の副作用やリスク】
治療中または治療後に出血や痛みや腫れを伴う場合があります。
※学術的内容ではなく、一般の方のための内容であり、簡略化して説明編集してあります。