世田谷・目黒区、自由が丘駅南口徒歩3分の歯医者
デンタルアトリエ自由が丘歯科の院長の小笠原です。
30代女性。
定期健診で虫歯が見つかった方です。
現在、痛みなど症状はありません。本人は気づいていない虫歯です。
お口の中を見てみると、
下の奥歯で、奥から2番目の歯です。
一見、虫歯がどこにあるのかわかりにくいと思います。
ここの歯と歯の間から虫歯が侵入しています。(赤丸)
よく見ると少し暗い感じに見えますね。
さらに、
ここにヒビ・亀裂が入っています。
歯がひび割れて、虫歯菌が入ってしまいます。
この歯は以前虫歯治療がされており、

よく見てみると、
青く囲んだ範囲に「レジン」というプラスティック樹脂が詰めており、
以前虫歯治療をしてもらったとのことです。
治療を始めていきましょう。
歯と歯の間を削っていくと、

中に茶色い虫歯が見えていきました。
茶色い虫歯は中で広がっています。
レジンの詰め物を削ってみると、内部は黒く、茶色く色がついていて、

「う蝕検知液」という虫歯を染色するお薬を塗ってみると、

赤く色がついている箇所が虫歯です。
歯と歯の間からではなく、
以前詰めたレジンの内部でも虫歯が広がっていました。
さらに虫歯を取っていくと、

奥の歯との間も、虫歯になってしまっていました。
(奥歯の虫歯治療は後日行います!)
歯と歯の間は虫歯になりやすいです!
自分では虫歯だと気づかないので注意が必要です。
虫歯はすべて取り除きましょう。
検知液で染色されないところまで虫歯を取りました。

茶色いところが残っていますが、
検知液で染色されないので、虫歯ではなく「着色」と判断します。
虫歯ではないのでここは削りません。
今回はですが、
歯と歯の間から+以前の詰め物の中
で虫歯が広がっていました。そのため治療は広範囲となりました。
セラミックインレーにより修復します。
削った箇所と、残っている歯の形を整えて、
歯型を取っていきます。

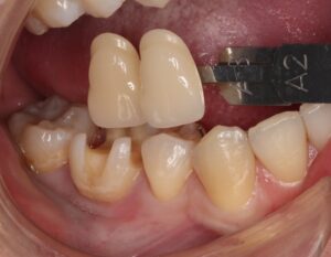
歯の色を、色見本で記録し、その方に合った歯に仕上げます。
後日、セラミックインレーがセットされた状態です。

どこを治療したのかわからないくらい、
綺麗に仕上がりました(^^)/
虫歯もなくなり、審美的にもきれいに治療が終えました。
今回、あれだけ内部で虫歯が進行していても、
本人は痛みなどの症状がありませんでした。
一般の方の多くが誤った知識なのですが、
虫歯の初期~中等度くらいまでは、ほとんど痛みがなく進行します。
いよいよ虫歯が歯の神経に近くなってきた際に痛みなどの症状が出てきます。
つまり、虫歯は痛くなってからは手遅れということですね(*_*;
虫歯は早めに検査して見つけましょう(^-^)
【治療費】
・セラミックインレー
費用:1本 110,000円 (税込)
(別途型取り代がかかります)
【施術の副作用やリスク】
治療中または治療後に出血や痛みや腫れを伴う場合があります。
※学術的内容ではなく、一般の方のための内容であり、簡略化して説明編集してあります。