院長の小笠原です。
奥歯が欠けたので見てもらいたい。
虫歯になっているかもしれない。という40代男性の方です。
歯医者へはもう何年も行っていないとの事でした。
欠けた歯を見てみると
お口の中を確認してみると

奥歯に銀歯が入っている歯が2本見えます。
歯と歯の間がなにやら変ですね。

ここですね(矢印)
欠けた所に食べかす(白く)詰まっています。
欠けたのはというと、詰めてあった銀歯が一部欠けてしまったようです。

赤い線の所で銀歯が折れて欠けてしまったようです。
食べかすを取り除いてみると、

内部が黒く虫歯になっていて、
さらに手前の歯と歯ぐきの隙間に汚れが溜まってしまっています。
汚れを取ってみると、欠けた所の中が茶色く虫歯になっているのが見えます。

銀歯を外していきます
どちらにせよ、虫歯の治療と詰め物のやり直しをしなければいけません。患者さんはセラミックによる治療をご希望されたので、治療を始めます。

銀歯を取ってみると、歯の内部は茶色く虫歯の箇所や、
奥の方から黒く汚れが入ってきています。
う蝕検知液という、虫歯を染色するお薬を使いながら虫歯を丁寧に削って取り除きます。

虫歯の箇所は検知液で赤く染まるので、
染色されないところまで虫歯を取りました。

歯の内部の象牙質という(黄色いところ)が綺麗に見えます。
先ほどの茶色~黒の虫歯や汚れが取り除かれました。
虫歯の深い所はレジンという樹脂の材料でコーティングします。
セラミックが入るように形を綺麗に整えなおしました。

セラミックをセットします
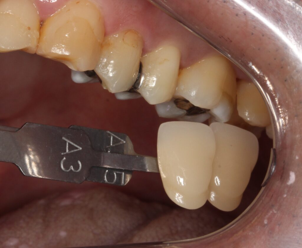
歯の色は人それぞれ異なります。
歯の色見本で歯の色を記録します。

これをもとに歯科技工士が詰め物(今回はセラミックインレー)を製作します。
後日出来上がったセラミックインレーをセットします。

セラミックが綺麗に入りました(^^)/
治療したところが分からないくらいですね。
最初の状態と比べると

10年以上前に治療したとのことです。
前の先生がしっかりと銀歯をセットしてくれていたので、
そこまで虫歯が進行していませんでした。
今回は金属の耐久の限界で壊れたと思われます。
銀歯でも
・担当医が丁寧に歯に合うように詰めてもらった
・虫歯のリスクが少ない方だった
など、条件が良い場合は10年以上もつ場合も多くあります。
しかし・・・
やはり銀歯は目立ちますね(*_*)
綺麗になって患者さんにも喜んでもらいました(^^)/
良かったですね。
当院では歯により良い治療を提供しています。
そのため当院での虫歯治療は保険適応外です。
【治療費】
・セラミックインレー
費用:1本 110,000円 (税込)
(別途型取り代がかかります)
【施術の副作用やリスク】
治療中または治療後に出血や痛みや腫れを伴う場合があります。
※学術的内容ではなく、一般の方のための内容であり、簡略化して説明編集してあります。