世田谷・目黒区、自由が丘駅南口徒歩3分の歯医者
デンタルアトリエ自由が丘歯科の院長の小笠原です。
銀歯の詰め物が以前取れて、そのままになっているが、治したい
という患者さんです。
詰め物が取れてしまっても、症状がなければ、ついついそのままにしてしまう(*_*)
ってことも多いですよね(^^;
詰め物取れたら、早めに歯医者さんへ行きましょうね!
そのままにしておくと歯が悪くなることが多くあります。
詰め物が取れるには原因があります。
①接着剤の劣化により接着力がなくなり取れた
②詰め物の下が虫歯になり、維持力がなくなり取れた
③詰め物自体の形が悪く、外れやすい
などが考えられます。
治療後初期で取れた場合は③
治療数年後に取れた場合は①②が考えられますが、
どちらにせよ、早めに対処しないと、歯が悪くなることしかないので
歯医者さんで見てもらいましょうね(^^)/
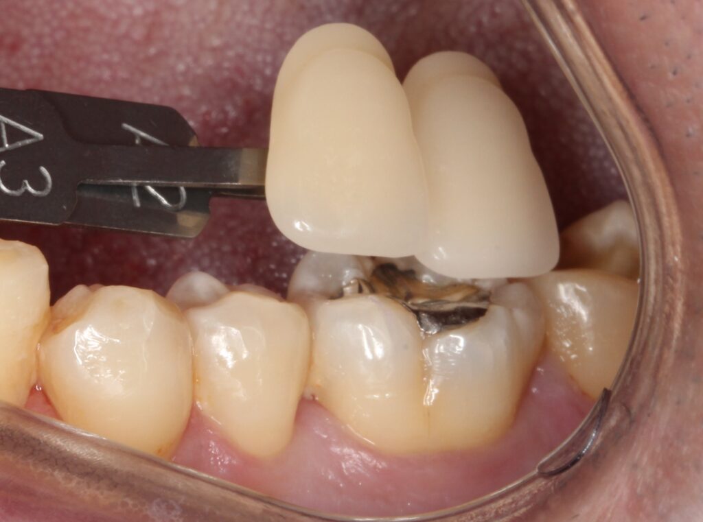
今回のケースです。お口の中を見てみると、

なにやら詰め物が入ってあっただろう形に歯がくぼんでおり(赤枠)

その内部が茶色く色が付いています。
歯の内部が露出して虫歯が広がっているように思われます。
虫歯チェックと虫歯除去
う蝕検知液という虫歯を染色するお薬を使いながら、
虫歯の箇所を取っていきます。

赤く色が染まっている箇所が虫歯です。
やはり虫歯が内部に進行していました。
しかし、神経までの侵入はありませんでしたので(; ・`д・´)
神経治療は必要なく、虫歯治療のみ行います。
虫歯を全て取りきり、形を整えます。

綺麗になっていますね(^-^)
患者さんの希望で今回はセラミックによる治療を行います。
歯型を取り、歯の色を記録します。

色見本で歯の色を確認し、その方に合った色のセラミックを製作します。
治療終了
後日、出来上がったセラミックをセットします。

一番奥の歯にセラミックがセットされました。

色合いも綺麗に仕上がり、どこを治療したのかわからないくらいですね(^^)/
手前の銀歯が目立ちますね(*_*)
手前の銀歯の歯は、特に虫歯ではなく、患者さんの希望がないので今回治療は行いません。
当院では虫歯など状態の説明をしっかり行います。
その上で治療を希望するのは患者さん自身なので、審美希望がなく、
虫歯でなければ治療しないことも多くあります。
無理に治療することはありません。
詰め物が取れてしまった場合は、何らかのサインです!
「大丈夫だろう」と再度つけてもらったとしても・・・
取れるには原因があり、またつけたとしても状態が悪化することが良くあります。
担当医としっかりと相談をして、これ以上悪くならないように対処してもらいましょう(^^)/
当院では歯により良い治療を提供しています。
そのため当院での虫歯治療は保険適応外です。
【治療費】
・セラミックインレー
費用:1本 110,000円 (税込)
(別途型取り代がかかります)
【施術の副作用やリスク】
治療中または治療後に出血や痛みや腫れを伴う場合があります。
※学術的内容ではなく、一般の方のための内容であり、簡略化して説明編集してあります。