院長の小笠原です。
今回は、他院で治療した歯の痛みが続いていたが、
当院で治療をして、痛みがなくなり治った方を記載したいと思います。
現在の症状は
30代女性。半年前に虫歯治療をしてもらったが、その後も・・
・冷たいものや温かいものを口に入れると痛い。
・食事で物を噛んでも痛く、治療した方で食事ができない。
・治療してもらった担当医に相談するも、「様子を見ましょう」と言って何もしてもらえない。
・他の歯医者を受診するも、「虫歯が大きく神経まで行っていたのかもしれない」「痛みが続く場合、神経を取る」と言われた。
との事です。
ネットで調べて当院を受診されました。
患者さんは治してくれる歯医者さんをインターネットで探し、当院へたどり着いたとの事でした。神経を取ることも考え、ダメもとで来院してみたとの事です。
遠方の方で通院に1時間以上かかるところお越しいただきました。
ありがとうございますm(__)m
お口の状態は
お口の状態を見てみると、

下の奥歯ですが、レジンというプラスティック樹脂で治療が終えてありますので、一見治療した場所がわかりません。

この範囲でレジンが詰めてあります。
よく見ると少し黄色めで詰めてありますので分かります。
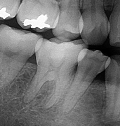
エックス線写真で確認してみると、

このような状態で歯の中が見えます。
レジンは少し白目で写りますので、

ここに詰まっています。
歯の神経は黒く見えますので、

ここに神経が写っています。
照らし合わせてみると、
神経近くの深いところまでレジンが詰めてあるのが確認できます。
状態を確認すると
ここから推測すると、
今現在痛みがあるので、神経はまだ生きています。
以前の虫歯治療が深くまでされているので、神経が痛んでいるので症状が残っていると推測できます。
治療としては、レジンをすべて取り除き、痛んでいる神経を回復させてあげれば、症状がなくなると考えられます。
患者さんに現状を説明し、同意のもと治療を開始します。
治療内容
治療を動画でまとめてみました。
動画にも説明がありますが、
今回の原因は、一部神経が出てしまった所まで詰め物がされていたことです。
神経を保存しましたので、応急的に削った部分を埋めて

この状態で痛みの経過を見ていきます。
施術1か月後・・・
「冷たい飲み物でしみる感じが落ち着いた」とのことでした。
良かったです(^-^)経過良好ですね。
あとは最終的な詰め物をして治療を終えていきます。
治療終了
最終的な詰め物をしていきます。
今回は患者さんの嚙み合わせも考慮し、セラミックインレーにて詰め物をします。
症状が落ち着きましたので、必要最小限範囲で歯の形を整えなおし、型取りを行います。

歯の色を色見本で記録して、その方の歯の色と形に合ったインレーを製作します。
後日セラミックインレーをセットします。

セラミックがセットされました。
歯にピッタリと入り、綺麗に仕上がりました(^-^)
症状もなくなり、日々の生活の辛さがなくなったとの事です。
無事治療が終わって良かったですね(*^-^*)
まとめ
歯の神経は目で確認するには小さいです。
保険診療では、虫歯治療中に神経が出てしまえば問答無用に神経を取る処置を行います。合法です。それが日本医療のルールです。
(ここではあえて日本の腐ったルールの文句は言いませんがw)
また歯科医師としてもなるべく神経を取りたくないので、出来るだけ神経を取らずに経過を見ながら治療を進めていたと思います。
(あわよくば神経が自己回復してくれというお祈りw)
しかし、治療後3か月たっても変化が見られない場合はまず治りません!
自然と痛みが治まった時は、神経が耐えきれず死んでしまった場合です。
何かしらの処置をしなければ、患者さんは毎日痛みに耐えるしかありません。
今回の方は半年も痛みに耐え、毎日の食事も気を使い満足に召し上がれなかったようです( ノД`)…
この方は喜んでいただき、最後にお礼を言っていただきました。
最初に記載がありますが、ダメもとで来てみたが症状が治まり、神経を取らずにすんで良かったとの事ですm(__)m
少しでも歯で悩んでいる方の不安が解消されれればと思い、このブログもSNSも続けて情報発信をしています。
お気軽にご相談ください(^^)/
当院では歯により良い治療を提供しています。
そのため当院での虫歯治療は保険適応外です。
【治療費】
・神経保存治療
費用:38,500円(税込み)
・セラミックインレー
費用:1本 110,000円 (税込)
(別途、型取り代や処置料がかかります)
【施術の副作用やリスク】
治療中または治療後に出血や痛みや腫れを伴う場合があります。
※学術的内容ではなく、一般の方のための内容であり、簡略化して説明編集してあります。