院長の小笠原です。
患者さんに「虫歯になっています」と説明すると、「今まで痛みがありませんでしたけど?」と言われることがよくあります。
「虫歯」=「痛い」は誰が言っているのでしょうか?
今回は虫歯の説明と、実際の治療例についてご紹介したいと思います。
【治療例】
30代女性。歯に穴が開いている。
虫歯が進行しているのですが、歯が痛い、歯がしみるなど、本人は自覚がありません。
虫歯についての勘違い。虫歯は痛い?
大勢の方が、「虫歯になると痛い!」と思っています。
検診などでよくありますが、
歯医者「この歯に虫歯があります」
患者「先生、痛くないですよ?」
という会話が日常茶飯事に歯医者では行われています。
誰が教えたのか、日本ではそのような教育?文化?が根強くあります。
虫歯の進行で痛みを感じる方はあまりいません。
早めに違和感程度を感じる方はいます。
強い痛みを感じた時には既に手遅れで、虫歯が急速に神経に侵入して強く痛みが出るので、もうその時には神経を取る(抜く)処置になることが多いです。
虫歯は定期健診で早めに見つけましょう。
虫歯で痛みが出た時には既に遅く、歯医者に急ぎ行った場合は・・・
ほぼ100%神経を取られます。
神経を取ることは日常的に行われる大切な治療です。
ただ、神経を取った歯は、神経を取ってない歯に比べると、
2,3割歯の寿命が短くなると言われます。
(神経を取る際に、歯を削る影響で歯がもろくなります。)
しっかりと治療することで、歯の寿命を延ばすことはできますが。
神経を取らないに越したことはありません。
手遅れになる前に、虫歯の早期発見・早期治療を心がけましょう(^^)/
今回の治療ケース
今回は虫歯が歯の内部で広がっており、歯の神経まで侵入がありました。
本人に自覚症状はありませんが、神経が一部死んでいたものの(壊死)、
まだ大半の神経は生きていたため、神経を残して治療をしました。
MTAセメントを使い神経を回復させ、神経を残しました。
※保険適応外の治療です。
☟治療動画です
今回の治療は4番目・5番目の歯の虫歯治療です。
動画で見ていただいた大きい虫歯は4番目の歯です。
5番目の銀歯も虫歯になっていましたので、一緒に治療をします。

4番目の歯に黒く穴が開いています。

動画ではこちらを治療しました。
神経保存の経過を見ている間に、
5番目の歯の虫歯治療を行います。
銀歯を外してみると、

この状態です。
一見何もないように見えますが、内部に進んでいくと、

4番目側の歯の間から茶色い虫歯が侵入していました。
こちらは神経まではいっていない、小さい虫歯でしたので一安心です。
この歯には銀歯でインレー(部分的な詰め物)が入っていました。
虫歯を取り除き、広げた状態で再度インレーを製作し、セットします。
神経を保存した歯は、その後経過を見たところ、
痛みもなく経過良好でした。
最終的な歯を入れていきます。
詰め物、被せ物の選択
5番目の歯にはセラミックインレーを入れます。
虫歯だったところから奥歯へ延びるように詰め物を作ります。
歯もまだ残っていますので部分的にインレーを入れます。
インレーだった歯の選択肢は、
インレーor
アンレー(部分被せ物) or クラウン(全部被せ物)
となります。
4番目の歯は神経を保存しています。
動画で見た通り、歯の内部はほぼ虫歯。
歯はほとんど残っていませんので、クラウンで被せて歯を補強します。
治療の終了へ
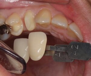
歯の形を整えて、歯の色合わせを行います。

歯科技工士にセラミックの歯を製作してもらい、
後日セットします。

歯がセットされた状態です。
どこを治療したのかわからないくらい綺麗に仕上がりましたね(*^-^*)
中の虫歯はなくなり、
神経も無事保存ができ、
審美的にも良くなりました。
最初の状態です


治療後の方がいいですね!
丁寧に治療を行うことで歯の寿命を延ばすことができます。
また審美的に治療を行うことで、日々の生活がより豊かになります。
今後は虫歯にならないように生活習慣を改め、予防をしていかなければなりません。
予防のアドバイスもいたします(^^)/
お気軽にお問い合わせください。
当院では歯により良い治療を提供しています。
そのため当院での虫歯治療は保険適応外です。
【治療費】
・神経保存療法
費用:44,000(税込)
・セラミックインレー
費用:1本 110,000円 (税込)
・セラミッククラウン
費用:1本 148,500(税込)
(別途型取り代がかかります)
【施術の副作用やリスク】
治療中または治療後に出血や痛みや腫れを伴う場合があります。
※学術的内容ではなく、一般の方のための内容であり、簡略化して説明編集してあります。