院長の小笠原です。
30代女性、検診で虫歯が見つかった患者さんです。
ご自身で特に症状はなく、昔に虫歯治療をした歯ということです。
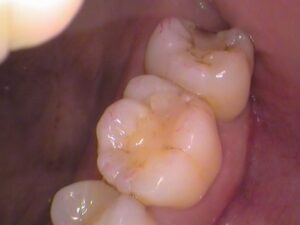
お口の中の状態
お口のを見てみましょう。

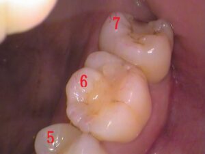
奥歯の歯の3本です。

5番目、6番目、7番目の歯があります。
よく見てみると、

青枠の箇所に「レジン」というプラスティックの合成樹脂が詰められてあります。
白い材料なので一見分かりにくいですが、経年劣化による変色もあり、継ぎはぎみたいに歯に埋められています。
レントゲン(エックス線)検査で治療前に確認済みですが、このレジンの中で虫歯があります。
5番目、6番目の歯の治療から

手前の歯から見ていきましょう。
レジンは削って取り除きます。

なるべく健康な歯の部分は削らないように、丁寧にレジンを削り取っていきます。
麻酔をして治療しますので、治療中の痛みはありません(*_*)
5番目の歯のレジンを取り除きました。
う蝕検知液という、虫歯を染色するお薬を塗って、虫歯をチェックします。

5番目の歯です。
赤く色が染まっている箇所が虫歯です(*_*)
やはりレジンの内部に虫歯が広がっていました。

赤い箇所の虫歯を削っていきます。

虫歯をしっかりと取ったところです。
虫歯の取り残しの無いように染色されないところまで、きれいに取ります。
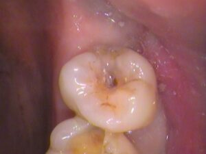
6番目、7番目の虫歯治療へ
7番目の歯の詰め物を削っていくと、

中から茶色い虫歯が出てきました。

茶色い虫歯が内部で広がっています(*_*)
6番目の歯から見てみると、

歯と歯の間から虫歯になっており、
表面から虫歯を削っていくと、

歯の間も黒く虫歯の侵入があるのが分かります。
う蝕検知液で染色されないところまで丁寧に虫歯を取ります。

まだ茶色いところがありますが、
赤く染色されないので、着色であると分かります。
こちらを削ってしまうと、歯の削りすぎになります。
虫歯でないところは残しましょう。
虫歯が入っていたところは、色素が沈着し茶色く歯に色が付いてしまうことが良くあります。
削ったところをコーティング
歯の中には神経があります。
虫歯で深く削ってしまった所は、神経を保護する意味も含めレジンでコーティングして、歯の形を整えます。
インレー(部分的な詰め物)がセラミックで入りますので、セラミックが入るように歯の形も同時に整えます。
5番目の歯の形を整え、

6番目の歯

7番目の歯を整えます。

歯の内部がスムーズに綺麗になっています(^-^)
歯の色の記録をします

歯の色見本を照らし合わせ、その方の歯の色の基準をチェックし記録します。
歯科技工士がその方に合った歯の色にセラミックを製作します。
セラミックがセットされました
後日、出来上がったセラミックを装着します。

治療した箇所が分からないくらい綺麗に仕上がりました(^^)/
セラミックが入っていますが、色や形を歯に合わせているので、どこを治療したのか分かりませんね!

虫歯もなくなり、歯も綺麗に仕上がり、ケアしながら状態が長く保たれれば、歯の寿命が延び健康につながりますね(^-^)
こちらの患者さんは治療後、数日歯が凍みたものの落ち着き、今現在も気にならず食事も快適にできているとの事です。
治療お疲れさまでした!
当院では歯により良い治療を提供しています。
そのため当院での虫歯治療は保険適応外です。
【治療費】
・セラミックインレー
費用:1本 110,000円 (税込)
(別途型取り代がかかります)
【施術の副作用やリスク】
治療中または治療後に出血や痛みや腫れを伴う場合があります。
※学術的内容ではなく、一般の方のための内容であり、簡略化して説明編集してあります。