世田谷・目黒区、自由が丘駅南口徒歩3分の歯医者
デンタルアトリエ自由が丘歯科の院長の小笠原です。
30代男性 検診で虫歯が見つかった患者さんです。
本人は痛みなどの自覚症状はありませんでした。
お口の中を見てみると

上の奥歯ですが、銀歯が入っています。
何年も前に虫歯治療をしたときに銀歯になったそうです。
この銀歯の中で虫歯が広がっています。
レントゲン写真を見てみると

歯の中の状態が見えてきます。
どこに虫歯があるかというと、

一番奥の歯ですが、
青色の部分が銀歯で、
赤色の場所に虫歯があります。

銀歯の際の部分。歯との接合部から虫歯になってしまっています。
レントゲン写真では黒く隙間みたいになっていますね。
歯と歯の間にデンタルフロスを通してみると、

何か白いものが出てきました。

これですね。
歯垢(プラーク)といって細菌の塊であったり、
食べかすであったり、

銀歯のつなぎ目に汚れが溜まってしまっています。
歯ぐきの中で細菌が繁殖し、歯ぐきが炎症を起こしていますので、

歯ぐきからの出血も出てきます。
銀歯が不適合(歯に合わずズレていること)
になっていると、食べ物が詰まりやすく、詰まった場所には細菌が繁殖し、虫歯や歯周病の原因になります。
つまりお口の病気リスクが高くなるので、しっかりとズレがないように治療をしましょう。
治療を始めていきます。
銀歯を削り取って外してみると、

このような状態でした。
接着剤の汚れを取っていくと、
歯の中に白いものが。

セメントといってお薬で以前の治療で詰めてありました。
虫歯が大きく深い箇所に神経を保護するようにセメントが詰められます。
以前の古いセメントも削り取って歯の内部を確認します。

う蝕検知液という、虫歯を染色するお薬をつけてみると、

手前の歯との間の所が赤く染まっています。
レントゲン写真で銀歯の隙間が黒くなっていたところですね。
やはり虫歯がありました。
また、

セメントが入っていた内部にも虫歯が広がっていました。
隙間から入り込まれたのか、
以前の虫歯の取り残しなのか、
はっきりとは分かりませんが、虫歯は取り除きましょう。
染色を繰り返しながら、

虫歯を丁寧に取っていきます。
虫歯を全部とると、

このような状態です。
検知液で染まらないところまできました。
内部は健康な黄色い象牙質が見えています。
歯の神経までは達しませんでしたので、
神経の治療はしなくて済みました。
一か所気になる所が。

ココですね。
歯の外側なのですが、黒く虫歯の存在があります。
残してしまって、あとでここから虫歯が進行してしまっては困ります。
虫歯は取り除き、
歯の薄くなってしまっている所も整え、

セラミックが入るように形を整えました。
患者さんのご希望も考慮し、
なるべく最小限の範囲で治療を済ませます。
後は歯型を取り、
歯の色をチェックしていきます。

色見本で歯の色を記録して、
その歯に合った色のセラミックインレーを歯科技工士に製作してもらいます。
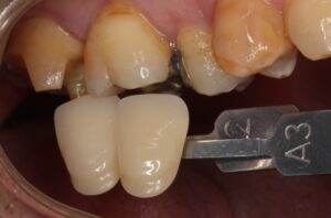
セラミックがセットされました。

歯の色が綺麗に仕上がっています。

治療した所が分からないですね。
最初の状態と見比べてみると、


はやり歯は白い方がいいですね(^^)/
手前の銀歯は今の所虫歯ではないですが、
少しずつでも銀歯を白くしていきましょうね(^-^)
治療お疲れさまでした!
銀歯の耐久年数は5年~7年ともいわれます。
経年劣化により、隙間から虫歯になってしまうことも多くあります。
また治療をした担当医の歯医者が確認不足で、元々歯に合っていない(ズレている)詰め物を入れられてしまった場合も不適合となります。
保険の銀歯は大量生産なので精度が劣る場合が多くあります。
銀歯の中で虫歯になっていたとしても、痛みなどの自覚症状はかなり進行してから出てくることが多いです。自分では気づけないので注意が必要ですね。
フロスをして詰め物に引っかかる場合はズレているといっていいでしょう。
最近では、金属の高騰から銀歯ではなく「レジン」というプラスティックの合成樹脂でインレーを入れられる場合が多くなってきました。
レジンは歯より柔らかく耐久性の低い材料です。
色は白く患者さんウケがいいのですが、治療の繰り返しが多くなる可能性がありますので注意が必要です。
当院では歯により良い治療を提供しています。
そのため当院での虫歯治療は保険適応外です。
【治療費】
・セラミックインレー
費用:1本 110,000円 (税込)
(別途型取り代がかかります)
【施術の副作用やリスク】
治療中または治療後に出血や痛みや腫れを伴う場合があります。
※学術的内容ではなく、一般の方のための内容であり、簡略化して説明編集してあります。