院長の小笠原です。
30代女性。検診で虫歯が見つかった患者さんです。
本人は痛みなどの自覚症状はありませんでした。
とても分かりにくいところに虫歯がありました。
いつものように治療説明ブログなのですが、
治療解説は最後にします☟
今回は、最後にお話しするケースと同じ、
ご自身で気づきづらい虫歯について説明したいと思います。
・自分では分からない場所の虫歯
虫歯ですが、患者さんが自分で分かりやすい場所もあれば、分からない場所の虫歯もあります。
例えば、上の歯。
下の歯はお口を開けて鏡で見ることができるのですが、上の歯は外側(頬っぺた側)くらいしか見えず、特に奥歯は自分では見ることが難しい場所です。
余談ですが、たまに上の奥歯の虫歯をご自身で見つけてくる患者さんもいらっしゃいます。
患者さんに「よくわかりましたね」と聞くと、
市販の丸い歯科用ミラーを購入して、鏡越しで頑張って見て、見つけたとの事です(笑)
熱心な方もいるものですね(; ・`д・´)
または、歯と歯の間。
噛む面は鏡で見て黒くなっていると確認できますが、
歯と歯の間の虫歯はご自身では見ることができません。
実際に専門家の歯医者でも確認が難しく、歯医者によっては見逃されてしまうことが多くあるのも事実です。
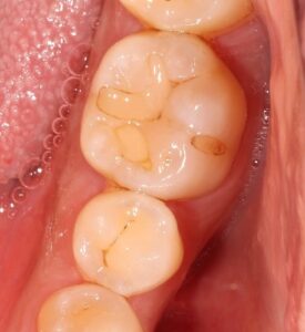
虫歯の例を見てみましょう。
歯と歯の間の虫歯です。どこに虫歯があるか分かりますでしょうか?

虫歯の所を削ってみてみると・・・

歯と歯の間の中に茶色い虫歯がありました。
これは分かりませんね。
・間違いやすい虫歯
よく患者さんから「ここは虫歯ですか?」と聞かれる場所があります。
実際には虫歯ではなく「着色」なのですが、ご自身では分からないと思います。
例えば、この写真には黒いところが何か所かあります。

これは虫歯でしょうか?
その①歯の溝の黒
矢印の歯ですが、
患者さんの多くが虫歯かと悩む、このような歯。

歯に黒く筋が入っています。
これは溝に入り込んだ「着色」で虫歯ではありません。
歯の表面には山と谷があり、谷の溝はミクロ単位の隙間になっています。
その隙間は歯ブラシの毛先よりも小さく、隙間に入った着色は取れません。
虫歯ではありませんので削り取る必要はありません。
その②詰め物の隙間の黒
今度はこちらの矢印の歯ですが、

まだら模様の様に黒い筋があります。
こちらは詰め物をした箇所に着色が入り込んでいます。
以前、レジンというプラスティック樹脂で詰め物がしてある歯なのですが、詰め物と歯との接着が剥がれ、その隙間に着色が入り込んでいます。
そのため詰め物の形に沿って黒い筋となって見えています。
治療が必要ないかというと一概に言えず、先ほどの「歯の溝」と違い人工的な隙間となっているため虫歯が入り込んでいる可能性もあります。
エックス線検査(レントゲン検査)など専門的な検査を行い、虫歯を確認しましょう。
(※着色ですが歯の内部で虫歯になっている可能性があります。
すべて自己判断せず歯医者さんでみてもらいましょう)
・詰め物の中の虫歯
詰め物の中で虫歯になってしまうことは多くあります。
一度治療をしていることから「再発」と言っていいかもしれません。
詰め物も「銀歯」「レジン」「CAD/CAM(キャドキャム)」「ハイブリッドレジン」「セラミック」「ジルコニア」など、現在では色々な種類の詰め物が存在します。
ただ全て人工物であり、虫歯にならない詰め物などは存在しません。
ここでは詰め物の話は割愛しますが、
例えば、銀歯。

金属は表面からは中の状態が分かりません。
銀歯を外してみると、

銀歯の中で虫歯が広がっています。
次はレジン。

白い材料なので、一見分かりませんが、

ここにレジンが入っています。
数年前に詰めてもらったようです。
レジンを削ってみると、

中で茶色い虫歯が広がっています。
う蝕検知液という、虫歯を染色するお薬を塗ってみると、

赤く色が付いている箇所が虫歯です。
詰め物の中の虫歯はエックス線検査などで確認をします。
しかし、銀歯など金属は詰め物の中(詰め物の下)の状態がはっきりと分かりません。外してみないと分からない場合も多く、本人が気づかないうちに進行し、詰め物を外してみると虫歯が広がっていることも多くあります。
原因としては、
①詰め物の隙間から虫歯が入り込んだ
銀歯の耐久年数は5年~7年とも言われ、経年劣化によって歯と詰め物との間に隙間ができ、徐々に虫歯が入り込むことが良くあります。
詰め物は人工材料です。他の詰め物に関してもそれは言えます。
以前治療したということは、虫歯になったところと言い換えることができます。
虫歯リスクがあった所ですので、歯ブラシ習慣や、甘いものの間食など食生活習慣が以前と変わらなければ再度、何度でも虫歯になると言えます。
治療をしたからもう虫歯にならないなんてことはあり得ません。
例えば、車で事故をした場合。修理すれば車は綺麗に直りますが、本人がなぜ事故になったか?運転の仕方を注意・見直さなければまた同じように事故をしますよね。
②虫歯の取り残し
虫歯治療をした際に虫歯を取り残してしまい、その上から詰め物をした場合、中で虫歯が広がる可能性もあります。
こればかりは担当の歯医者の技術力によりますので、何とも言えません。
まとめ
虫歯は自分では気づかない場合が多く、歯医者さんで定期健診を受けることが必要となります。
歯の定期健診の間隔ですが、3,4か月に1度は見てもらうことをお勧めします。
歯の病気リスクが低い方は半年に1度など間隔を延ばしてもいいと思いますが、担当医の判断にゆだねましょう。
またエックス線検査は1年に1度は行い、見えない歯の内部のチェックをしてもらいましょう。
過去に虫歯になってしまったといって悪いわけではありません。
虫歯になってしまった場合、
①なぜ虫歯になったのか
②なぜその場所が虫歯になったのか
③しっかりとした治療を行い
④日々の虫歯予防を心がけ
⑤歯医者さんで定期検診を
こちらの点を注意しておく必要があります。
説明の最後に大切なことをお伝えしておきます。
「痛みがあれば虫歯」と勘違いしている方がほとんどです。
誰が教えたのでしょうか。。。
進行中は痛みはなく、本人では気づかないことがほとんどです。
痛みが出たときには既に遅く、虫歯が神経まで進行してしまっています。
その際は神経を取る治療をしなければならない可能性もあります。
この後説明する治療ケースも、見た目はすごい虫歯なのですが患者さんは痛みなど自覚症状はありませんでした。
当院で虫歯が見つかる方のほとんどは痛みは感じていません。
早めに歯医者さんで検査してもらいましょう!
補足ですが、
「歯磨きしないと虫歯になる」
こちらも嘘で、歯磨きしなくても予防ができてれば「虫歯」になりません。
(注)歯磨きしないと「歯周病」にはなります
誰が教えたのでしょうか。。。
ではでは、
やっと今回の治療例を説明していきましょう!
ここまで読んでいただいてありがとうございます(^-^)
最初にも説明しましたが、
30代女性の方で、検診で虫歯が見つかりました。
本人では分からにくい、
いや、分からない所の虫歯でした。
この場所の虫歯を自分で分かる人はほとんどいません。
場所は、上の奥歯の頬っぺた側に虫歯がありました!
お口の中を見てみると、

すごく黒くなっていますね・・・(*_*)
上の奥歯はご自身では見えませんし、
さらに頬っぺた側は、頬っぺたが邪魔をして自分では見えづらい場所となります。
また歯ブラシも意識して磨かなければ磨けないところです。
汚れが残り、虫歯が徐々に進行していきます。
通常通り治療を進めます。
局所麻酔をして虫歯を削っていきます。
麻酔が効いていると治療中の痛みはありません。

表面から削っていっている途中ですが、
内部まで黒く虫歯が侵入しています。

左側、頬っぺたがぶつかっている所が黒く虫歯になっており、
内部入り込んでいます。

歯の半分くらい削っています。
虫歯は取り残すと再発しますのでしっかりと取り除きます。
虫歯をすべて取り除き、歯の形を整えます。

虫歯は神経までは達していませんでした。良かったですね。
虫歯の深い箇所はレジンでコーティング保護してあります。
歯の中が綺麗になりましたね!
あとは歯型を取ってセラミックインレー(部分的な詰め物)を製作します。
歯のなくなった箇所をセラミックで修復成形します。

歯の色見本を照らし合わせ、その方の歯の色に合ったセラミックを歯科技工士に製作してもらいます。
後日セラミックがセットされた状態です。

どこを治療したか分かりませんね。
綺麗にセラミックがセットされました(^^)/
あの真っ黒な虫歯が、元の歯のように修復されましたね。
セラミックは汚れが付きにくいので再度虫歯になるリスクは低くなります。
ただ、今後もその場所を磨かない習慣であると虫歯になる可能性はあります。
虫歯になったのには理由があります。
虫歯になりやすい生活習慣だったか?
→生活習慣を見直さなければなりません。
磨けていない場所だったか?
→今後は注意してケアしなければなりません。
虫歯は予防ができます。
私ですが、大人になってから(この歯科業界に入ってから)
1本も虫歯になってないです。虫歯がありません。
予防知識があれば虫歯は防げます。
お気軽にご相談ください(*^-^*)
当院では歯により良い治療を提供しています。
そのため当院での虫歯治療は保険適応外です。
【治療費】
・セラミックインレー
費用:1本 110,000円 (税込)
(別途型取り代がかかります)
【施術の副作用やリスク】
治療中または治療後に出血や痛みや腫れを伴う場合があります。
※学術的内容ではなく、一般の方のための内容であり、簡略化して説明編集してあります。