世田谷・目黒区、自由が丘駅南口徒歩3分の歯医者
デンタルアトリエ自由が丘歯科の院長の小笠原です。
30代男性、検診で虫歯が見つかった患者さんです。
今回の場所は上の奥歯です。

数年前に他院で虫歯の治療をレジン(プラスティック樹脂)で治療してもらったようです。
上の奥歯は患者さんが自分で見ることができないので、
・以前の治療がどうなっているか
・虫歯になっているか
が分かりにくいのが特徴ですね。
以前のブログに、見つけにくい虫歯の解説があります☟
https://dental-atelier-jiyugaoka.com/cases/decay/4851/
今回は6番目の奥歯です。
歯を見てみましょう。

こちらの歯ですが、レジンの詰め物がされています。

赤枠で示した、ココですね!
よく見ると、
レジンが劣化したのか詰め物との間に隙間ができてきています。

歯との間に隙間ができています。
青く示している所です。
歯の詰め物は全て、歯と接着していなければ意味がありません。
・歯と詰め物との接着が剥がれてしまっている場合。
・詰め物が歯と合っていない(ズレている)、ちゃんとフィットしていない場合。
など、歯に隙間があれば細菌が侵入していきます。
細菌の大きさ、サイズは1μmと、
1mmの1000分の1の大きさです。

目に見えない細菌は、目に見えない隙間でも入り込みます。
ましてや目に見える隙間は容易にどんどん侵入していきます。
今回の様に、歯と詰め物に大きな隙間がある場合、
内部で虫歯になっている可能性も高くなります。
治療に戻り、
レジンを削って取り除いていきましょう。

削っていくと、内部が茶色くなっているのが見えてきます。
レジンを全て取り除いてみると、

このような状態です。
中が茶色くなっているのが分かります。
う蝕検知液という虫歯を染色するお薬を塗ってみましょう。

赤く染まっている箇所が虫歯のところです。
詰め物の中がほとんど虫歯で広がっています。
虫歯を丁寧に削り取っていきます。

その都度、虫歯を染め出して虫歯の残っている所を確認します。
染まっている箇所がだいぶなくなってきました。

うっすら色が残っている所も丁寧に取っていきます。
綺麗に虫歯が取れました。

広範囲の虫歯でしたので、その分歯も削らなければなりません。
当院では最小限に虫歯を取り除くよう心掛けています。
歯の内部の神経までは達していませんでしたが、
神経近くまで虫歯がありました。
削った表面をレジンでコーティングして、

歯の形を整えていきます。
後は、歯型を取っていきましょう。
今回はセラミックインレーをセットしていきます。
ダイレクトボンディングという、レジンで修復することも出来はしますが、
・1度レジンで治療した場所の再治療であること
・虫歯を取ったあとの歯の残り範囲が少なくなっていること
・6番目の歯、大臼歯という噛む力がかかる奥歯であること
などを考慮し、セラミックによる治療を行います。
患者さんのどうしても希望でダイレクトボンディングをすることもできますが、
レジンや歯が割れるリスク、
その際の再度治療をしないといけないリスク、
その際はさらに大きく歯を削るリスク、
などを承知の上行うこととなります。
なるべく歯を削りたくなり、削らないようにしたいのですが、
その歯の状況に応じて治療の選択肢は変わります。
当院ではその都度、患者さんと相談したうえで治療を行っていきます(^^)/
歯を色を記録します。

その方の歯の色に合わせて、歯科技工士がセラミックの詰め物を製作します。
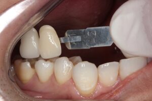
後日セラミックがセットされた状態です☟

綺麗な歯に仕上がりました(^^)/

どこを治療したのか分からないように歯の形と色を再現し、
隙間の無いようにピッタリと一体化させています。
オールセラミックは歯と同じくらいの強度があります。
レジンは歯より柔らかい材料です。
経年劣化ですり減り、欠け、変色を起こす可能性があります。
またダイレクトボンディングは担当医の技術力によって治療結果が左右され、
技量の足りない担当医の場合、レジンの剥がれ、劣化の進行が起こり、早期に歯が悪くなることが良くあります。
患者さん自身では気づかないことが多く、レジンのやり直しは日常頻繁にあります。
ひとりひとり患者さんのお口の状況によって、良い治療は異なります。
当院では歯により良い治療を提供しています。
そのため当院での虫歯治療は保険適応外です。
【治療費】
・セラミックインレー
費用:1本 110,000円 (税込)
(別途型取り代がかかります)
【施術の副作用やリスク】
治療中または治療後に出血や痛みや腫れを伴う場合があります。
※学術的内容ではなく、一般の方のための内容であり、簡略化して説明編集してあります。