世田谷・目黒区、自由が丘駅南口徒歩3分の歯医者
デンタルアトリエ自由が丘歯科の院長の小笠原です。
40代女性。
奥歯の違和感(親知らず)を主訴に来院された患者さんです。
親知らずが残っていて今回は初めて痛み、違和感を感じ始めたようです。
症例を見ながら、親知らずについて考えてみましょう。
親知らずは早く抜いたほうが良い?
親知らずは早くは10代ですが、20代頃に生えてくる方が多く、痛みや違和感などの症状が出なければ、抜かずにそのまま過ごしている方が多くいらっしゃいます。
しかし、30代、40代さらには50代を過ぎてから症状が出て治療に入る方も多くいらっしゃいます。
後になればなるほど外科処置が辛かったり、
今回のケースのように手前の歯を虫歯にしてしまったりと治療が大変になることがあります。
症状がないからといって、放っておいて良いものではありません。
今回のように、手前の歯を虫歯にしてしまう可能性もあります。
その場合、自分では気づくことは少なく、気づいたら状態が悪くなっていることがほとんどです。
悩んでいる場合は、歯医者さんを受診して確認してもらいましょう。
親知らずのせいで虫歯になった症例
早速症例を見てみましょう。
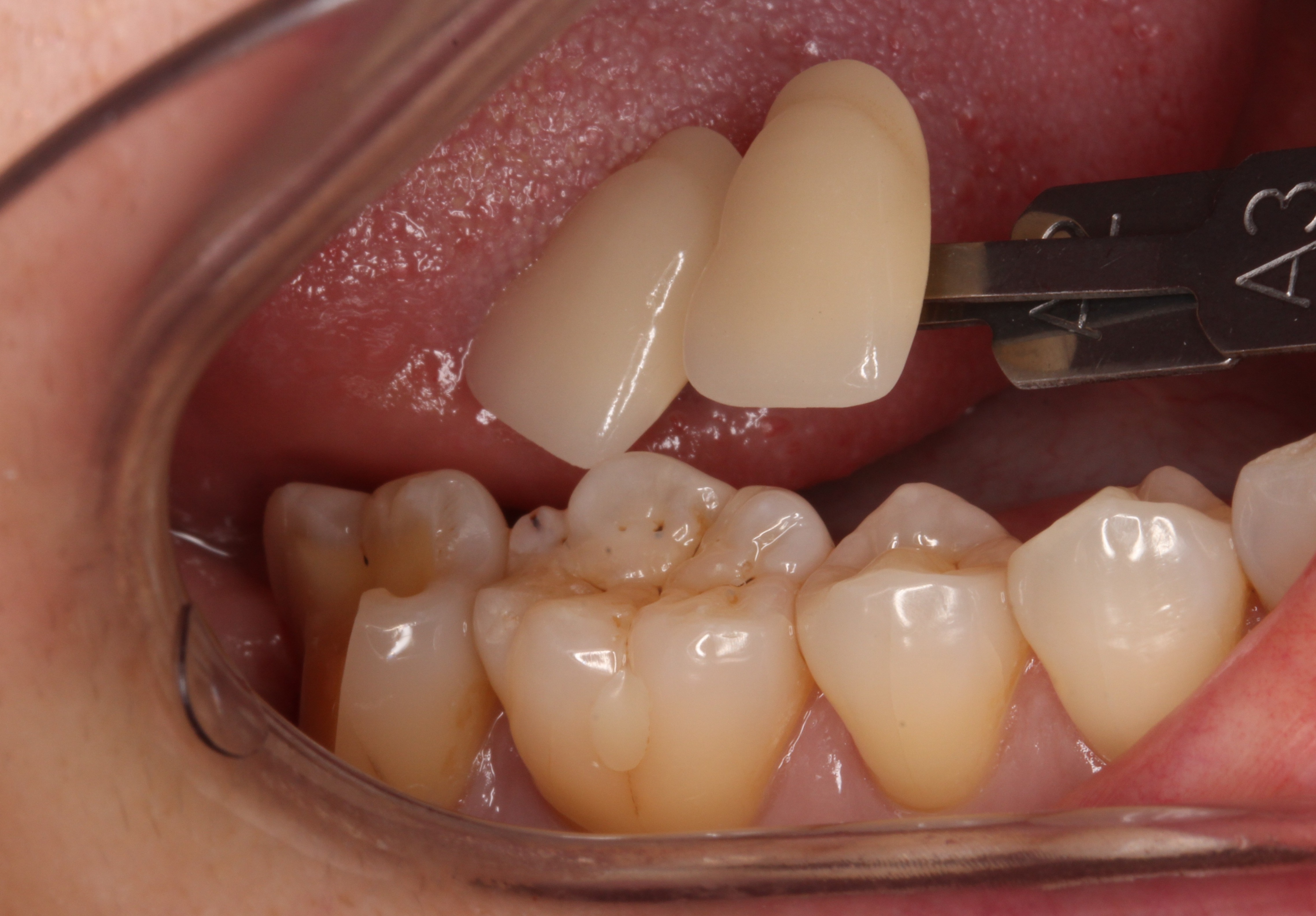
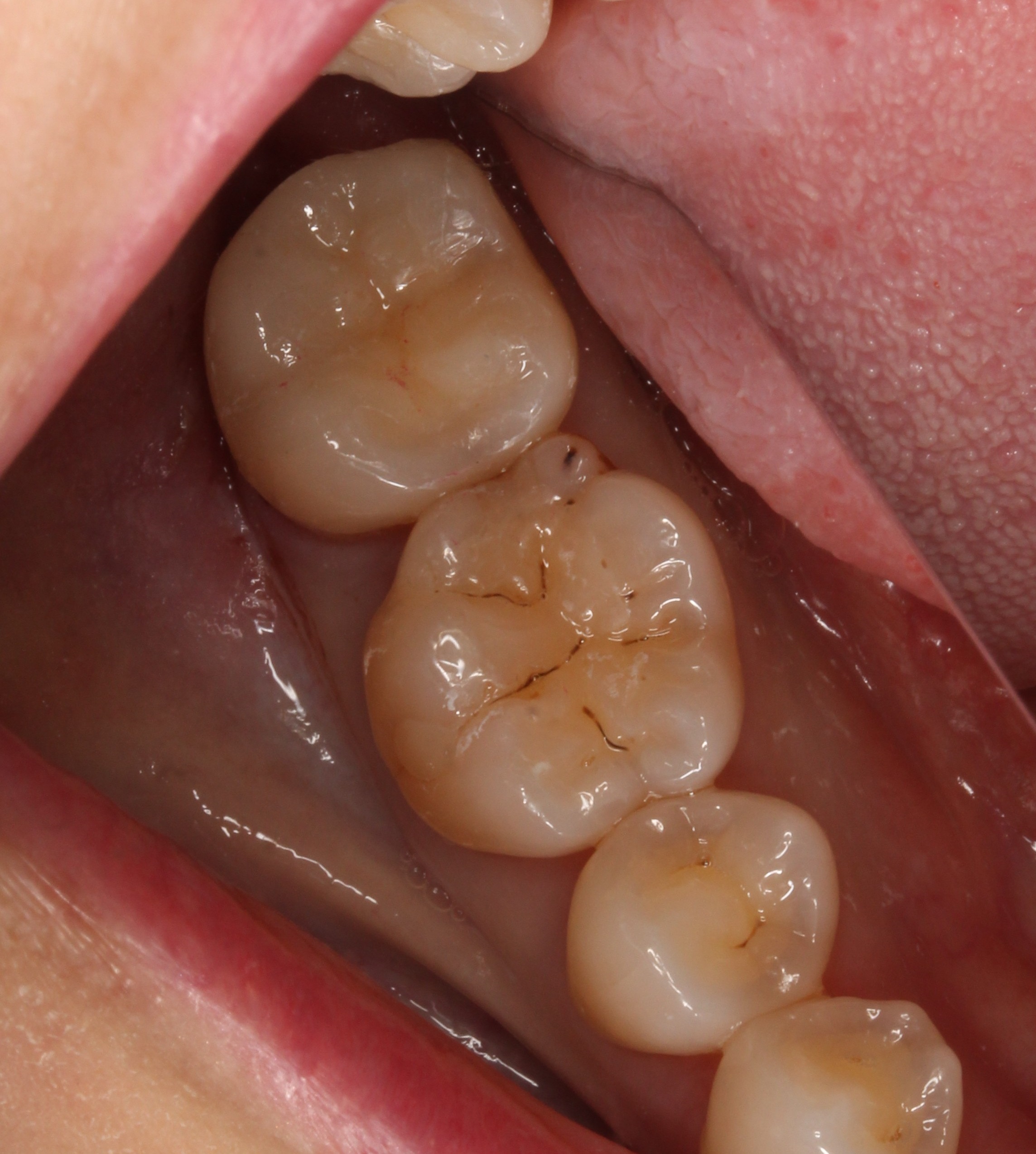
お口の中を見てみると、

このような状態。
親知らずがひょっこり顔を出しているのが分かりますね。
ここです。
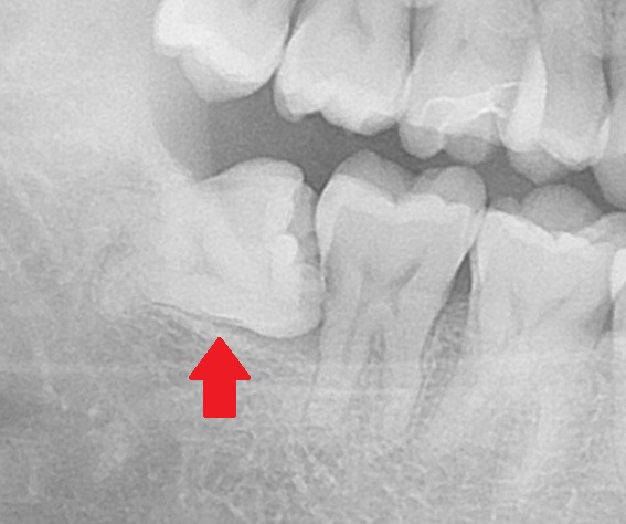
エックス線(レントゲン)写真を見てみると、
親知らずが横向きになっているのが分かります。
そして手前の歯にぶつかっています。
手前の歯に当たっている所が何やら黒くなってるのが分かりますでしょうか?
ここです。
ここが虫歯になっています。
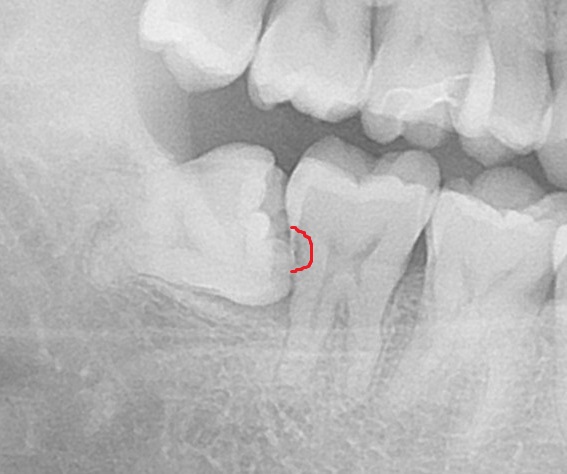
1つ前のレントゲン写真と見比べると、赤枠の部分が黒く映っているのが分かりますね。
お口の中からは見えない部分なのですが、親知らずに物が詰まり、年月が経ち手前の歯を虫歯にしてしまいました。
親知らずが原因で虫歯になってしまった歯は特に注意が必要です。
なぜかというと、歯は横から虫歯が進行すると、内部神経に侵入されやすく、
神経を取らなければならない事が多くなります。
治療の流れです。
①親知らずの抜歯:まず邪魔な親知らずを抜きます。
②傷口が治るのを待ちます:1ヵ月以上待ってから虫歯の治療をします。(同時にすることもあります)
③虫歯の治療:虫歯治療がスタートです。神経が無事か確認します。
④最終的な被せ物:親知らずの傷の状態と、虫歯治療をした歯の状態が安定した所で虫歯治療をフィニッシュさせます。
⑤その後、再度虫歯にならないようにケアと経過観察
今回は治療が終わるまで3ヵ月ほどでした。
親知らずを抜歯しました。

通常通りの親知らずの抜歯です。
傷口を黒い糸(縫合糸)で縫ってあります。
1週間後、抜糸。
まだ傷口が痛々しいですね。
1週間もすると痛みなどの症状は治まります。
1か月後の傷口と、虫歯治療の開始です。
親知らずがあったところは、ぽっかりと穴が開いています。
大きな親知らずがあったので、その穴が残っています。
穴は2~3ヵ月で埋まります。徐々に歯ぐきが上がって埋まってきます。
歯ぐきが落ち着いているので虫歯に治療をスタートします。
歯の奥側(裏側)の虫歯の治療は、器具が届きずらく治療の難易度がかなり上がります。
表面から奥に向かって削っていきます。
親知らずがあったところの穴に接している、歯が茶色くなっています。
親知らずの穴はここ
虫歯になっているのはここ
やはり虫歯がありましたね。茶色くなっています。
虫歯が内部に侵入しているので、丁寧に虫歯を取っていきます。

まだまだ深くに虫歯がありますね。
親知らず、歯ぐきの中で虫歯になっていたのでしょうがないです。
これで虫歯をすべて取り除きました。
茶色い虫歯はなくなり、歯の中の象牙質、黄色い色が綺麗に見えています。
虫歯はう蝕検知液を使い丁寧に取ってあります。
今回は神経まで達していませんでした。
神経を取らずに治療をせずにすんでよかったですね。
抜歯1ヵ月後の今回は虫歯を取るところまで。
まだ親知らずの傷が落ち着いていないので、
今回は虫歯を取ったところをレジン樹脂で埋め固めて、
経過を見るとともに、親知らずを抜いた歯ぐきの治癒を待ちます。
さらに虫歯を取って1ヵ月後です。
その後虫歯治療をした歯も痛みなどなく、神経も問題ありません。
虫歯を取ったところは最終的にはセラミックインレーで部分的に修復します。
歯の形を整えたところです。
親知らずの穴も埋まってきているのが分かります。
時間はかかりますが、傷口は綺麗に治ってきます。
後は、歯の色を記録して
削ったところにセラミックをセットしていきます。
セラミックインレーがセットされた状態です。
治療した所が分からないくらい綺麗になりましたね(^^)/
これで治療が終わります。
今後は、親知らずがあったところ。セラミックが入っている裏側まで、ブラシやフロスを入れて清潔に保つ必要があります。
セラミックは汚れが付きづらく虫歯のリスクが減りますが、
今回もともと大きな親知らずがあった凹みに汚れがたまると再度虫歯リスクや歯周病リスクとなります。
患者さんにも日々のケアを頑張ってもらう必要がありますね。
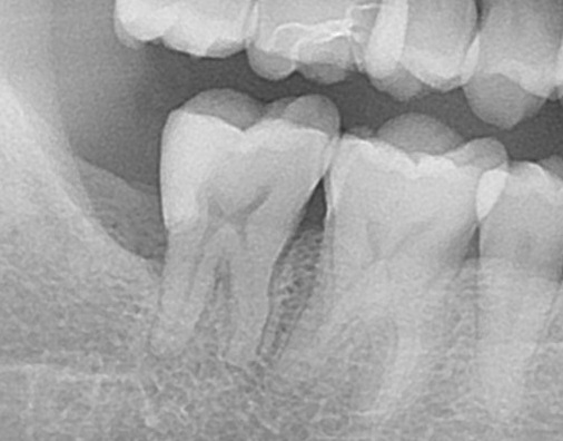
2年後の状態
約2年後のレントゲン写真の状態です。
親知らずはなくなりました。虫歯だったところは窪みがあります。
セラミックもピッタリ入り、その後虫歯の再発はありません。
お口の中を見てみると
どこを治療したか分からないですね。
セラミックも綺麗に安定しています。
無事治療が終わって良かったですね(*^-^*)
最後に
今回は親知らずから手前の虫歯の治療でした。
この場所は治療がとてもしずらく難易度が上がります。
また治療の基準はなく、担当医の考え方や腕次第で治療内容が変わります。
神経を取る場合が多く見受けられます。
また手前の歯も抜歯される場合もあります。
当院ではなるべく最小限で神経も残しながら治療を進めています。
虫歯の範囲によって治療内容は変わりますが、患者さんと相談をしながら治療を進めています(^^)
当院では歯により良い治療を提供しています。
そのため当院での虫歯治療は保険適応外です。
【治療費】
・セラミックインレー
費用:1本 110,000円 (税込)
(別途型取り代がかかります)
【施術の副作用やリスク】
治療中または治療後に出血や痛みや腫れを伴う場合があります。
※学術的内容ではなく、一般の方のための内容であり、簡略化して説明編集してあります。