世田谷・目黒区、自由が丘駅南口徒歩3分の歯医者
デンタルアトリエ自由が丘歯科の院長の小笠原です。
40代女性。銀歯を白くセラミックにしたい希望の患者さんです。
お口の中を見てみると、
大きな銀歯が入っています。
下の奥歯ですが、やはり銀歯は存在感があり目立ちますので気になりますよね。
だいぶ昔に治療した歯で、今まで気になっていたようです。
エックス線写真(レントゲン)で初めに検査を行い、歯の内部の状態は確認済み。
通常通り麻酔を行い、治療中に痛みが出ないようにしてから治療に入りましょう。
銀歯を外してみると、
このような状態。
茶色くなっていますが、虫歯ではなく接着剤の変色や汚れです。
まずは表面の汚れを取り除き、内部に虫歯が進行していないか確認します。
汚れをある程度削り取り、
う蝕検知液という虫歯を染め出すお薬を使って確認します。
赤く色がついている個所が虫歯の個所です。
インレーの隙間から内部に虫歯が入り込んでいましたね。
茶色が濃く虫歯になっている所も見られます。
銀歯の耐久年数は5年~7年とも言われ、
経年劣化で接着剤が剥がれ銀歯が取れてしまうとか、
その隙間から細菌が入り込んで虫歯になってしまうことも多くあります。
虫歯はすべて取り除きましょう。
う蝕検知液が染まらないところまで虫歯を取りました。
内部に茶色いところが残っていますが、こちらは着色です。
う蝕検知液で染まらないので虫歯ではなく着色と判断します。
茶色いところまですべて取ってしまうと、歯の中の神経が出てきてしまいます。
虫歯だけを丁寧に取り除きます。
今回は虫歯が神経までは進行していなかったので、神経の治療の必要はありません。
良かったですね(^^)
削って神経に近づいたところをレジンでコーティングしましょう。
神経を保護するため、またセラミックが入るように形を整えるために行います。
削った表面が白いレジンでコーティングされています。
後は、形を整えて型取りを行っていきます。
もともと銀歯が大きかった影響や、虫歯を削った影響により残っている歯の残量が少なくなっています。
このような場合、クラウンといって被せ物にしたほうがいいです。
残っている歯が薄いので割れる心配がありますので、被せると補強され長持ちすると思います。
今回の場合患者さんがなるべく歯を残したいという希望でインレーという部分的な詰め物で対応しています。
当院では歯の状態を一緒に確認し、患者さんの希望をお聞きしながら治療の方針を決めていきます。
治療にはすべてメリットとデメリットが存在します。
最大限患者さんの希望をお聞きした上で、より良い医療の提供ができるように私自身心掛けて診療に携わっています。
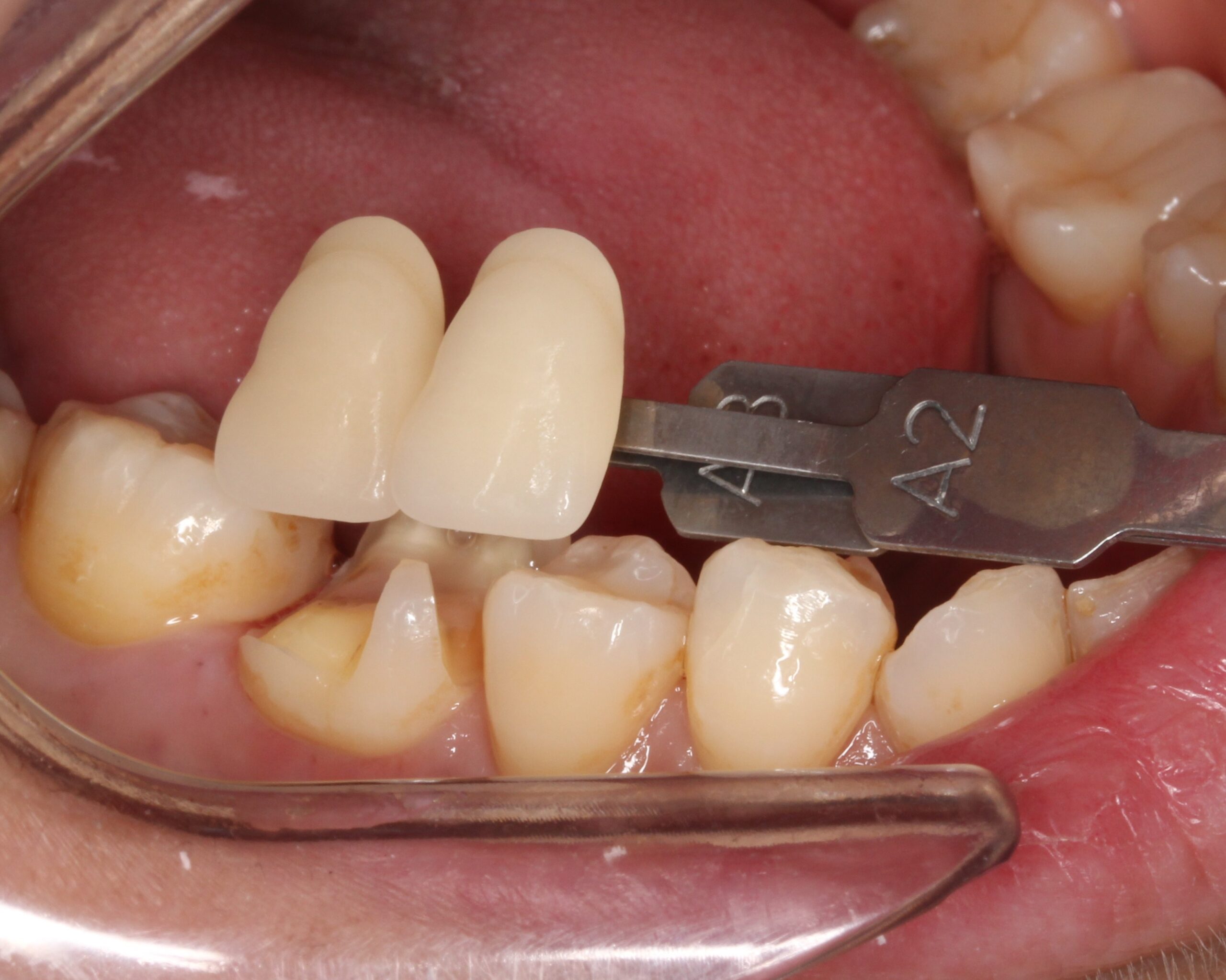
歯の色見本を使い、その方の歯の色を記録します。
あとは歯科技工士がその方に合ったセラミックを製作し、
後日出来上がったセラミックをセットして治療が終了します。

セラミックがセットされた状態です。
綺麗に仕上がりましたね。
治療したところが分からないくらい自然に仕上がりました(^^)/
最初の銀歯の状態を忘れてしまいますね。
これで治療は終わります。
患者さんも満足されよかったです(^^)
その後もメンテナンスにお越しいただき、1年後の状態です。
何も変わりなく、綺麗な状態をキープしていますね!
今後も定期健診を行いながら、治療した歯が維持できるようにしていきましょうね!
治療お疲れさまでした(^^)
当院では歯により良い治療を提供しています。
そのため当院での虫歯治療は保険適応外です。
【治療費】
・セラミックインレー
費用:1本 110,000円 (税込)
(別途型取り代がかかります)
【施術の副作用やリスク】
治療中または治療後に出血や痛みや腫れを伴う場合があります。
※学術的内容ではなく、一般の方のための内容であり、簡略化して説明編集してあります。