院長の小笠原です。
今回の症例はセラミックを入れた後の不調です。
「他院で1ヵ月前にセラミック治療をしてもらった歯に違和感がある。」
フロスも引っかかり、隙間が空いている感じがするとの事でした。
治療したばかりの歯がフロスで引っかかる主な原因は「詰め物がズレて入っている」しかありません。
そのままにしておいては再度虫歯リスクにつながりますし、やり直さなければ良くはなりません。
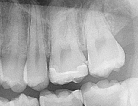
今回のケースに入り、まずはレントゲン写真(エックス線検査)です。

左上の奥歯ですが、よく見ると分かることがあります。

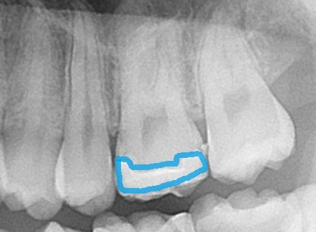
青で示したところがセラミックです。
セラミックはレントゲンで薄く白く写ります。

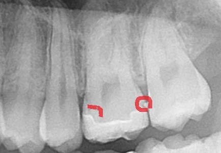
赤い枠の所ですが、右側に白い粒のような出っ張りが。左側には黒い影が見えてきます。
ここから分かることは
- セラミックが上手くセットされていない
- セラミックの中に虫歯が残っている
という事が推測されます。
レントゲン検査から分かることが沢山あります。
先日のことで別の患者さんですが、
「歯ぐきが腫れて、他院で見てもらったら虫歯が何本かあると言われた」という事です。
話を聞いてみると、そこは歯を削らない歯医者でレントゲン写真は撮っていないとの事です。
・・・
・・・
歯ぐきの腫れの診断は?そしてどうやって虫歯を診断したのでしょうか(*_*;
レーザー検査や、拡大鏡を使った視診検査も一応ありますが、レントゲン写真を取らずに診断する歯医者・・・
世の中の医学の当たり前ですが、検査は有用なので行われています。検査をせずに手術したら医者は訴えられます。これが世の中の当たり前です。
もし虫歯が中で深い場合、根の方に炎症が波及しているかもしれません。
独自の理論で診断する歯医者は免許を剝奪した方が良いと思う私です(-_-;)
今回治療した先生もそうですが、最大限努力した結果とは言い難く、
治せないならやらない方がいいと思います。
話がそれてすみません(*_*)症例に戻りましょう。
お口の中を見てみると、


青い枠の箇所にセラミックが入っています。一応セラミックなので白い材料で見た目きれいです。


頬っぺた側から見てみると、セラミックと歯の接合部に黄色い付着物があります。
歯とセラミックがずれてついていますし、接着剤がはみ出て固まっています。
詰め物が引っかかるやズレているといった「不適合」の場合、もう装着されているので、お口の中で修正することが困難となります。この場合はやり直ししないと状態が良くならないので、患者さんに説明して、こちらでしっかりと治療をやり直します。
やり直すと決まれば削って外していきます。

セラミックを削っていきます。削り途中ですが、中から茶色い色が見えてきました。

セラミックがセットされた内部は茶色く虫歯が残っています。

う蝕検知液という虫歯を染色するお薬を塗ってみると、赤く色が付いている所に虫歯が残っています。
今回は最初の推測通りで、セラミックのズレと、中の虫歯残りがありました。
当院では他院で治療した歯のトラブル患者さんも多くいらっしゃいます。その方たちを診察していると、他院での虫歯の取り残しや、詰め物の不適合といった不備が多く見受けられます。
歯医者は技術職です。担当する先生の腕の良し悪しがあります。患者さんはそれには気づくことはできません。
「歯医者はどこも一緒でしょ」
「治療が早く終わったから腕がいい」
「先生が優しいから」
と、まったく根拠のない理由で通院している方が多くいらっしゃいます。
歯医者選びは大変です(-_-;)
治療に戻りましょう。
虫歯は全て取り除きます。

う蝕検知液を用いて、しっかりと丁寧に虫歯を取ります。

染色されないところまで取るとこのような状態。
これで虫歯の心配はなくなりました。

後は虫歯が深かったところをレジンでコーティングして、セラミックが入るように形を整えます。

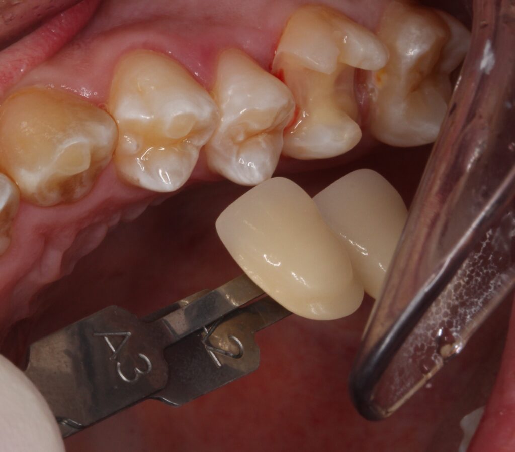
歯の色に合ったセラミックを製作します。色見本を使ってその方の歯の色を記録します。
後日歯科技工士が製作したセラミックの歯が入ります。
しっかりと歯に合った適合の良いセラミックインレーを歯にセットします。

当院で新しく製作したセラミックインレーがセットされた状態です。
色合いも綺麗に仕上がり、どこを治療したか分からないくらいですね(^-^)
その後、違和感もなくフロスの引っかかりもなくなり快適に食事もできるようになったようです。無事治療が終わって良かったです。
そして治療してから2年後の状態です。

特に変化もなく経過は良好です。セラミックも綺麗な状態を維持しています(^-^)
このまま長持ちするでしょう。
ものすごい数の歯医者があり、どこへ行けばいいか分からないかたも多くいらっしゃいます。
何気なく近所の歯医者を選んで、
何気なく虫歯を指摘され、
何気なく保険か自費か材料の選択に迫られ、
何気なく担当医の腕ではなく材料を選んでいる、
そんな方が多くいらっしゃいます。
さらには、自費のセラミック治療を選ぶ際に「値段」だけで安い歯医者へ行く方も多くいらっしゃいます。安い歯医者には理由があります。
「自信が無いのでその値段設定にしている」もしくは「薄利多売」で営業を行っているかが多いです。
自費の治療は専門的な治療です。毎日保険治療をメインで行っている歯医者で自費治療を行うと、保険治療の延長で自費の施術をされてしまいます。つまり自費のクォリティーが低くなるということです。
歯の治療は数年後にトラブルが起こる場合も多くあります。
セラミック治療では欠けたという事が良く起こります≫セラミック?が欠けた?よくあるトラブル
≫セラミック矯正のトラブル
当院では歯により良い治療を提供しています。
そのため当院での虫歯治療は保険適応外です。
【治療費】
・セラミックインレー
費用:1本 110,000円 (税込)
(別途型取り代がかかります)
【施術の副作用やリスク】
治療中または治療後に出血や痛みや腫れを伴う場合があります。