世田谷・目黒区、自由が丘駅南口徒歩3分の歯医者
デンタルアトリエ自由が丘歯科の院長の小笠原です。
今回は検診で虫歯が見つかった40代女性の患者さんです。
ご自身では特に症状はなく、気づいていませんでした。
歯の場所は下の一番奥の歯です。歯を見てみると、

小さめですが銀歯が入っています。そしてよく見ると、銀歯から奥の方へ黒い線が見えます。
これは歯が割れて、亀裂が走っている状態です。
銀歯を外してみると、

歯の内部が黒くなっていますし、亀裂に沿って黒く虫歯が入り込んでいるのが分かります。
表面から虫歯を削り取っていくと、

やはり亀裂が入っているのが分かります。割れたところから、虫歯菌が入り込み内部で虫歯になっていました。茶色い虫歯がまだ残っていますね。
う蝕検知液という虫歯を染めるお薬を塗って虫歯の所を確認しましょう。

染色するとよくわかりますね。茶色いところの周囲にも虫歯が感染して侵入しているのが分かります。
今回の治療の目的は、虫歯を全て取り除くことと、亀裂を取り除くこととなります。
亀裂が残っている場合、そこから再度虫歯菌が入り込む可能性があります。
そして、さらに歯が割れないようにしっかりと修復してあげることが必要ですね(^^)/

丁寧に虫歯の範囲を確認しながら虫歯を取っていきます。

亀裂も薄くなってきました。
虫歯もすべて取り除き、亀裂も取りましょう。
大きく歯が割れてしまっている場合、歯の内部神経まで割れている場合や、真っ二つに歯が割れている場合は、最悪の場合「抜歯」になる可能性もあります。
今回は亀裂が深くなかったために、最小限に治療を行えました(>_<)

虫歯の深かったところと、亀裂があったところをレジンで接着させ補強すると同時に、歯の内部を保護していきます。レジンでコーティングしています。
後は歯の形を整えて、セラミックが入るように歯型を取っていきます。

歯の色を写真を撮って合わせていきます。
歯科技工士がその方に合ったセラミックの歯を製作し、後日セラミックをセットします。

セラミックがセットされました。
どこを治療したか分からないくらいに綺麗に仕上がっていますね(^^)/
割れないように材料にジルコニアを選択する歯医者や患者さんもいるかもしれません。
ジルコニアは人工ダイヤモンドとも言われ、割れないように負担がかかる場合に使うこともあります。しかし、歯の方が割れてしまうかもしれません。今回も銀歯は無事で、歯が割れてしまいました。
セラミックインレーの場合、ジルコニアよりも歯と強く接着させることができるために、接着強度を上げて歯を補強することができます。
材料の強度を上げればいいということでもありません。その方に合った材料の選択というものがあります。一般の歯医者はそのようなことは考えずに、「ジルコニアという硬い材料がありますが、セラミックにしますか?ジルコニアにしますか?」と患者さんに選択させることが多いような気がします。また値段も違いがあり、比較して安い場合に、単純にそちらを選ぶことがあります。
その方に合った材料や、予後というものは考慮されていません。
安易に、安い材料だからとか、ジルコニアは割れないから、と選択していくのは止めた方が良いかもしれません。
さらに今回の場合は、歯が割れてしまった原因も考えなければいけません。患者さんの噛む力が強かったり、歯ぎしり・食いしばりなが、過度に歯に力がかかることで歯が割れてしまう可能性があります。今回の方は、その後も当院で経過を見ながら検診を行っています。
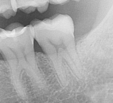
治療1年後のエックス線写真の状態です。

一番奥の歯を治療しましたが、1年以上経過していますが、歯に問題はなく、神経も無事です。
当院では丁寧に治療を行い、患者さんの大切な歯を残すように日々治療を行っています。
当院では歯により良い治療を提供しています。
そのため当院での虫歯治療は保険適応外です。
【治療費】
・セラミックインレー
費用:1本 110,000円 (税込)
(別途型取り代がかかります)
【施術の副作用やリスク】
治療中または治療後に出血や痛みや腫れを伴う場合があります。
※学術的内容ではなく、一般の方のための内容であり、簡略化して説明編集してあります。