世田谷・目黒区、自由が丘駅南口徒歩3分の歯医者
デンタルアトリエ自由が丘歯科の院長の小笠原です。
2024年になり1月ですが、日々忙しく診療しております。
歯で悩んでいる方は何か月も不安を抱えて生活している方も多く、年が明けてどんどんと治療がスタートして、少しでも不安が無くなってくれれば私も嬉しく思います。
今回のタイトル内容とは違いますが最初に少し、最近の日々の診療のお話をm(__)m
1月も神経温存療法と言って、神経を抜かずに治療を行いました。


虫歯を取っていくと既に虫歯が神経まで達しており、歯髄から出血が見られます。通常ですと、神経まで虫歯の感染があると、抜髄といって神経を取る処置がされます。
一般的な歯医者では保険のルールに従って神経を抜きます。当院では神経を抜かずに、神経を残す処置をしていますので、この患者さんに神経を残す処置をしています。

出てしまった神経をMTAセメントを使って、神経を取らずに閉鎖していきます。
こちらも他の患者さんですが、

他院で虫歯処置をした後、しみる痛み、違和感が取れずに当院に来院されました。
治療内部を見てみると、神経がむき出しになっていました。これでは痛みがずっと続いてしまいます。
当院で神経を回復させるように、神経温存療法を行いました。

神経を保護して閉鎖していきます。
無事神経は取らずに処置が終えました(^^)
まだ1月の治療で現在は経過観察を行っていますが、その後も症状の悪化の報告はありません。
神経を取ってしまうと歯がもろくなり、神経を取っていない歯と比べて歯の寿命が短くなります。
また技術力の低い担当医に神経を取る、根管治療をしてもらうと、感染により再発リスクが高くなります。
私としては出来るだけ再治療を防ぎ、歯の寿命を延ばす手助けができれば良いと、日々治療に当たっています。
1月も遠方からお越しの方がいました。山形県からお越しの方。静岡の方面からお越しの方。東京でも2時間近くかけてお越しの方もいらっしゃり、わざわざお越しいただきありがとうございます。ご期待に沿えるように、これからも最良の医療を提供していきたいと思います。
今回のブログの本題に戻り、ダイレクトボンディングの治療です。
検診で虫歯が見つかった患者さんです。
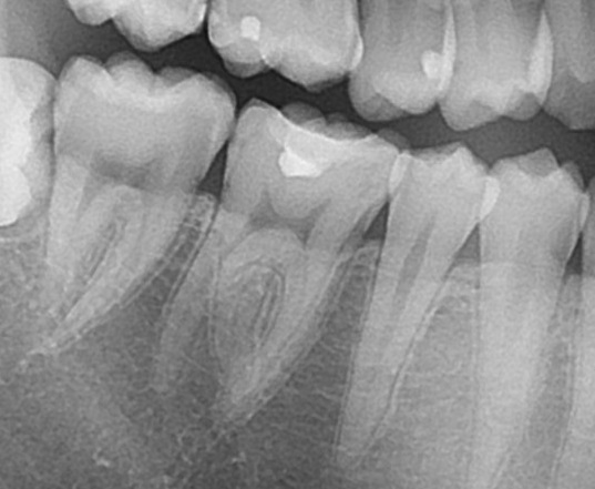
レントゲン写真(エックス線)を見てみると、

右下の歯ですが、奥から2番目、レジンで詰め物がされています。(レントゲンで白く写っています)
虫歯がある場所は、

赤く示した場所です。歯と歯の間で黒く虫歯の影が確認できました。歯と歯の間の虫歯は自分で気づくことができず進行していきます。レントゲン写真で歯の中の状態が確認できると、虫歯を見つけることができます。
お口の中を見てみると、

このような状態です。一見すると特に問題が無いように思われます。
ですので、虫歯って怖いのです(>_<)

赤い矢印の場所にレントゲンで写った虫歯があります。
青い矢印がレジンで詰め物がされています。
虫歯を削っていきましょう。

歯を歯の間を削ってみると、中には茶色虫歯が見えてきます。
古いレジンの材料も削り取ってしまいます。

このような状態です。実はレジンの中も虫歯が感染しています。
う蝕検知液という虫歯を染色するお薬を縫って確認します。

歯と歯の間の虫歯の個所と、さらにレジンが詰まっていた中にも赤く染色され、虫歯が確認できます。
虫歯は全て取り除きましょう。

虫歯を全て取り除きました。以前の治療のさらに内部に虫歯の感染があったため、深く虫歯を取ってあります。神経までは到達していませんでした。良かったですね。
このくらいの歯の残量となると、インレーで修復することを選択肢に入れます。また奥歯で噛む力が強くかかるので、セラミックインレーで修復したほうが予後が良いと思われます。
しかし今回は患者さんと相談し、最小限の治療がご希望でしたので、コンポジットレジンを使いダイレクトボンディングで仕上げます。その際のリスクについては同意の上で行います。
私はですが、専門的なお話をした上で、患者さんのご希望をうかがい、納得していただき治療を決めていきます。そのため、私自身がお話する時間を設けて、一人一人の患者さんと向き合うスタイルで日々治療を行っています。

装置を取り付けて、ダイレクトボンディングで歯の形を成形していきます。
治療が終わった状態です。

色と形を整えて、元の歯の状態に戻していきます。

歯と歯の状態も、

以前の詰め物よりも審美的に仕上げて治療を終えます。
どこを治療したか分からないくらい自然に仕上がりましたね(^^)/
その後2年の状態です。

今のところ問題もありません。
自分では気づけない場所の虫歯や、古い詰め物の中にも進行している場合は、痛みが出て気づいた時には遅いことが多いです。
先日も患者さんから「虫歯があるのに、痛みは出ないんですか?」とご質問がありましたが、虫歯が進行していても痛みはほどんどありません。神経に到達すると痛み症状が出る方が多くいらっしゃし、そこで歯医者を受診すると神経を抜く処置がされます。
虫歯は症状が無いことが多く、自分では気づけません。歯医者さんで早めに見つけてもらい、早めに治療をしてもらいましょう(^^)/
当院では歯により良い治療を提供しています。
そのため当院での虫歯治療は保険適応外です。
【治療費】
・ダイレクトボンディング
費用:1本 16,500~44,000円 (税込)
(範囲によって治療費が変わります)
【施術の副作用やリスク】
治療中または治療後に出血や痛みや腫れを伴う場合があります。