世田谷・目黒区、自由が丘駅南口徒歩3分の歯医者
デンタルアトリエ自由が丘歯科の院長の小笠原です。
虫歯治療のケースです。
検診で虫歯が見つかった患者さんです。本人に自覚症状はありません。
数年前に虫歯治療をしてもらった歯とのことです。
お口の中を見てみると、

下の小臼歯という真ん中の歯です。前の歯医者でレジンで治療されています。レジンは歯と同じ白い材料なので一見、分かりずらいかもしれません。

4番目、5番目の歯で、

青い枠にレジンが詰められています。
本人に症状もなく、見た目も白く、ここに虫歯があるなんて思ってもいません。
詰め物を削って、レジンの中を見ていきましょう。

4番目の歯です。レジンを削ってみると、中から白い材料が出てきます。これはセメントというお薬です。前の先生が虫歯が大きかったので、お薬を一層詰めてから、その上にレジンで詰め物をしたということです。
白いセメントの下には茶色い虫歯が確認できます。
セメントを全て削り取ると、

中には茶色い虫歯が広がっています。やはり外側からだけでは分からないですね。
次に5番目です。

5番目の歯のレジンを削っていくと、こちらも茶色い虫歯が見えてきました。
両方の歯の虫歯をしっかりと取っていきます。
う蝕検知液という虫歯を染めるお薬を塗って、虫歯を確認してみると、

赤く色が染まっている所が虫歯です。虫歯が大きく進行しています。
特に4番目の歯では虫歯の広がりが大きく、以前の治療も踏まえ、歯の半分くらい進行されている状態です。
う蝕検知液を使って丁寧に虫歯をしっかりと取り除きます。

今回のケースですが、なぜ詰め物の中でこんなにも虫歯が広がっていたのでしょう。
詰め物の中で虫歯になっている場合に考えられることは、
①詰め物の隙間から徐々に虫歯が進行してきた
②前の治療の際に虫歯の取り残しがあった
の2つ考えられます。
今回の場合、治療された時期も浅く、両方の歯の詰め物の中に同じように虫歯があったため、②が考えられます。
実際に、虫歯治療には担当する歯医者の腕や、治療癖があります。
う蝕検知液を使わずに治療する先生は多くいますし、レジンを詰める精度が悪く、歯にレジンがしっかりと接着されずに治療される場合もあります。
虫歯が取り残された場合は、徐々に虫歯が広がり、数年後に再発が見られることもあります。
しっかりと虫歯を治療してくれる先生に担当してもらいたいものです(*_*)
今回も、前の治療の状態など分かりませんので、虫歯の取り残しについては本当の所は分かりません。
そのため当院ではすべての患者さんに治療の際に、途中経過も含め写真で記録しています。開業当初からずっと行っており、治療の精度を高く維持するように心がけていますm(__)m
このような歯医者は一握りしかないと思われます。
話を治療に戻して、
虫歯を全て取り除いたら、歯の形を整えて、型取りを行います。
セラミックインレーにて歯を修復していきます。

その方に合った歯の色に仕上げるために、歯の色を色見本で記録しています。
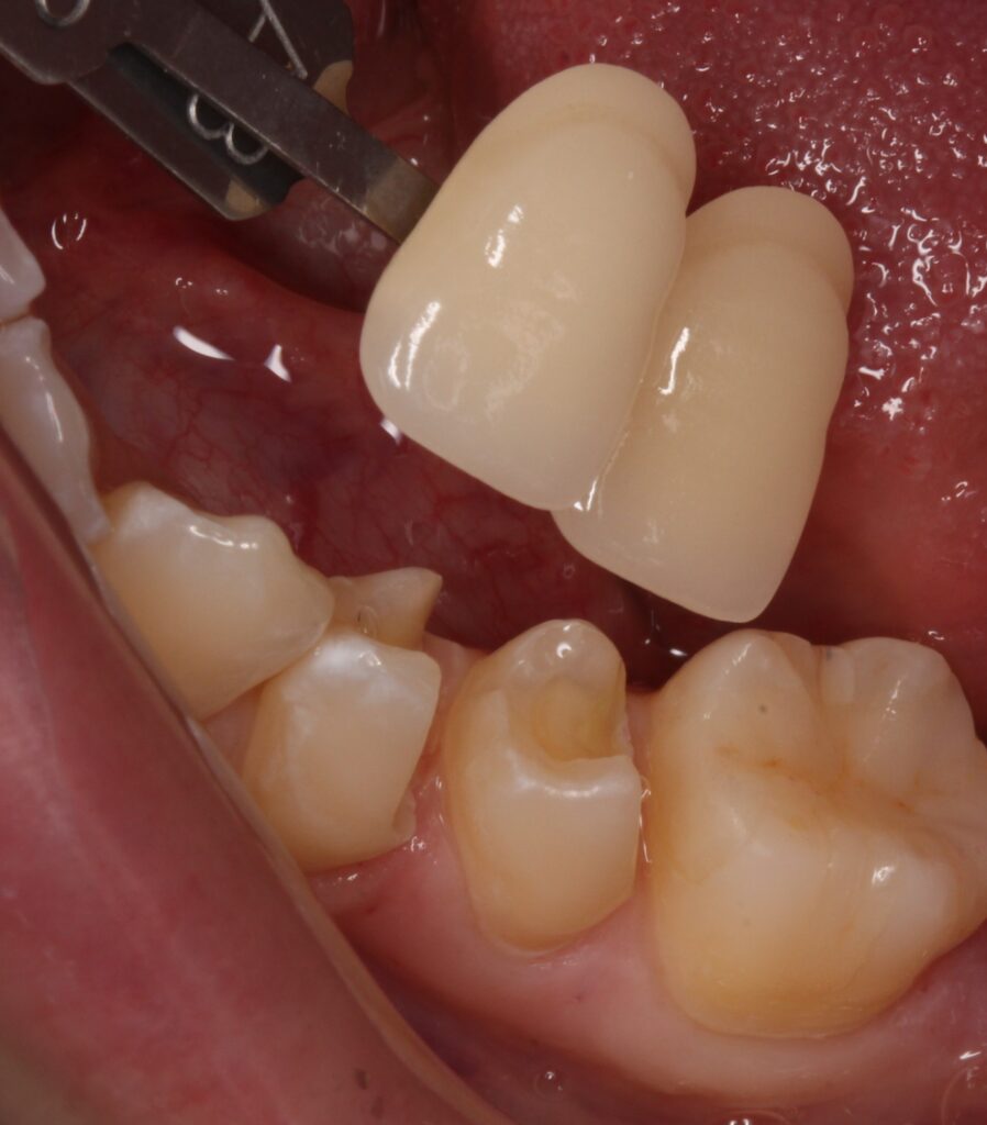
専門の歯科技工士にセラミックインレーを製作してもらい、後日歯にセットしていきます。
セラミックが歯にセットされた状態です。

綺麗にセラミックがセットされました。
どこを治療したか分からないくらいに綺麗に仕上がりましたね(^^)/


術前と術後ですね。
虫歯も無くなり、歯が綺麗に仕上がりました。
今回は神経までは到達していなくて良かったです。治療が遅ければ痛みが出て、神経まで到達されてしまったかもしれませんね。
虫歯は症状が無いことが多く、自分では気づけません。歯医者さんで早めに見つけてもらい、早めに治療をしてもらいましょう。
当院では歯により良い治療を提供しています。
そのため当院での虫歯治療は保険適応外です。
【治療費】
・セラミックインレー
費用:110,000円 (税込)
(別途型取り代がかかります)
【施術の副作用やリスク】
治療中または治療後に出血や痛みや腫れを伴う場合があります。