院長の小笠原です。
患者さんからよく「歯が黒くなっていて虫歯でしょうか?」と聞かれることがあります。
歯の黒い所は虫歯なのでしょうか?
歯の黒い線の正体は?
実際には、虫歯ではなく「着色」ということが多いです。特に歯の表面の溝に沿って黒い線や、黒い点がある場合は、細かな溝に着色が入り込んで黒く色がついていることがほとんどです。歯ブラシの毛先が入らないミクロ単位の溝なので、歯磨きでとれることはありません。
実際に症例を見てみましょう
今回のケースも、歯に黒い線があるのですが、虫歯の歯でした。
20代男性。検診で虫歯が見つかった患者さんです。
歯の状態を見てみましょう。

下の一番奥歯です。歯の表面の溝に沿って、黒い線があります。
こちらは虫歯ではなく着色です。
しかし虫歯というのは表面上で確認できないことが多いので、黒い線だから虫歯じゃないと勝手に判断してはいけません。
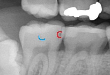
エックス線(レントゲン)写真で歯の内部を確認してみましょう。

エックス線写真では見えない歯の内部が確認できます。
どこに虫歯があるかというと、

赤いところが黒くなっており、虫歯で歯が溶けた像がでています。
青いところも、よくよく見ると、うっすら影があり、こちらも虫歯です。歯の側面ですね。
表面上では黒い線に目が行ってしまいますが、実際に虫歯があるのは歯と歯の間のところです。
虫歯はちゃんと歯医者さんで専門的に検査してもらはないと分かりません。
虫歯を取っていきましょう。
歯を削っていきます。

歯と歯の間から茶色い虫歯が出てきました。やはりこここに虫歯がありましたね。
さらに歯を削っていきます。

神経まで行くわけではありませんが、虫歯が広がっています。
ここで分かることがあります。
黒い線の下では虫歯が広がっていないという事です。

側面の虫歯も取ってあります。
そして黒い着色も削り取ってあります。虫歯ではなく着色なのですが、虫歯を取った所を詰める際に、つなぎ目と溝が隙間になってしまい、虫歯菌が入り込む可能性がありますので、再発リスクとなる所は綺麗に整えておきます。
後は、形を整えて型取りをしていきます。今回はセラミックインレーにて修復を行います。

歯の色を色見本でチェックして、専門の歯科技工士が、その方に合ったセラミックを製作します。
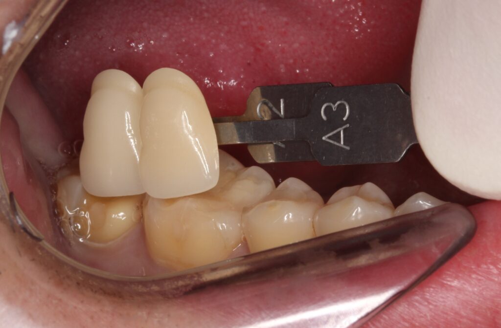
後日セラミックがセットされた状態です。

綺麗に歯にセラミックインレーがセットされました。
どこを治療したか分からないくらいに綺麗になりました(^^)/
※手前の歯にもセラミックが入っていますが、当院で行ったものではありません。
黒い線は虫歯でないとはっきり分かるの?
歯の着色と虫歯は、患者さん自身では判断することができません。プロの私ですが、判断が難しい場合も多くありますm(__)m
しかし虫歯というのは一般の方が簡単に見つけられない場合が多いです。
見つかりにくい虫歯の記事がこちらに書いてあります☟
≫https://dental-atelier-jiyugaoka.com/cases/decay/4851/
そんな中で、実は着色なのに虫歯と言われ、歯が削られてしまう場合も多くあります。
歯医者の中には「疑わしきは罰せよ」と黒い着色を虫歯として削ってしまう先生が多くいます。なぜかというと、100%確実に判断することはできないのと、患者さんにそれを説明する時間がもったいないこと。さらに削って詰めないと報酬がもらえないことが挙げられます。
日本の保険治療では、治療をしないと報酬がもらえません。歯医者は削らないと儲からないということです。
歯に黒い箇所があったらどうすればいいの?
まずは歯医者へ行って見てもらいましょう。
しっかりと検査をしてもらうことで、虫歯が広がっているか、そうでないかの区別はつきます。
ただ、虫歯には判断が難しい場合も多くあります。まずは検査してもらい、担当医と相談してから治療を決めていきましょう。
しかし、細い黒い線状のものは虫歯ではないことがほどんどです。不安でしたら歯医者へ行くことをお勧めします。
《まとめ》
歯に黒い所があるから、これは虫歯だ!
と勝手に決めない方がいいです。今ではインターネットで検索すると、色々と情報が出てきます。その情報を見て逆に不安になる方も多く、自己判断は禁物です。
歯医者でしっかりと検査してもらい、相談して治療を決めていきましょう。
当院では、しっかりと検査をしたのちに状態を説明し、治療をするかどうかを患者さんと相談しながら決めていきます。
着色や、軽度な虫歯など「治療はせずに経過を見ていく」という選択肢をする場合もあり、出来る限り患者さんの歯を大切に、削らないように心がけています。
当院では歯により良い治療を提供しています。
そのため当院での虫歯治療は保険適応外です。
【治療費】
・セラミックインレー
費用:110,000円 (税込)
(別途型取り代がかかります)
【施術の副作用やリスク】
治療中または治療後に出血や痛みや腫れを伴う場合があります。
この記事の著者・監修者:院長・歯科医師 小笠原慶一