こんにちは。院長の小笠原です。
検診で虫歯が見つかった患者さんです。
本人に自覚症状はなく、虫歯があると気づいていませんでした。
お口の中を見てみると
下の奥歯ですが、どこが虫歯なのか全くわかりません(*_*)
レジンも入っているのですが 、レジンは白い材料なので、区別がつかないこともあります。
数年前に治療したようですが、レジンはここに入っています。

噛む面と、頬っぺた側の側面にも詰められています。
詰め物の中が虫歯になっている場合は表面からは分からないことが多いです。
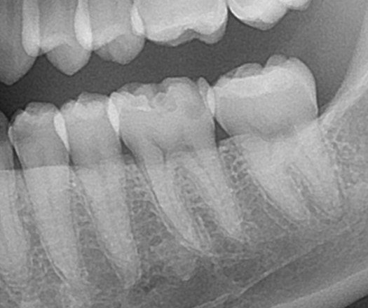
今回は検診でエックス線検査(レントゲン)で虫歯が確認されました。
エックス線写真を見てみると

見えない歯の中が見えてきます。
虫歯は歯が溶けてしまう病気で、歯が溶けると、レントゲン写真では黒い影が出てきます。
虫歯の黒い影はここにあります。

虫歯がありますので、治療を行っていきます。
治療中に痛みが出ないように麻酔を効かせてから治療に入ります。
表面のレジンを削っていきます。
まだ白いレジンが残っています。詰め物を削り取っていくと、

穴があきました。
レジンの下で茶色く虫歯が広がっています。
表面からは分からない虫歯です。詰め物の中で進行しています。
詰め物の下で虫歯になっている場合は、
①詰め物の隙間から虫歯菌が入り込んだ場合
②以前治療した際に、虫歯が取り残されていて、再発した場合
が考えられます。
以前は他院で治療を行い、その時の状況が分かることができないために確実な原因は分かりません。
再発も徐々に内部で広がるために、気づくまでに時間がかかります。
数年後に虫歯が見つかった場合、自分のケアが悪かったのか、前の治療が悪かったのか判別はつきません。
歯の治療をされる際は、信頼できる先生に治療をしてもらうことをおすすめします。
話を治療に戻しましょう。
う蝕検知液という虫歯を染色するお薬を塗って虫歯を確かめます。
青く染め出されている箇所が虫歯です。
虫歯はちゃんと取りましょう。

虫歯が広がっています。
染色→削る→染色→削る・・・と繰り返して丁寧に虫歯を削っていきます。
だいぶ取れてきました。
今回は神経まで虫歯の進行はなかったので、神経の処置はせずに済みました。

染色後、色が付かないので、これで虫歯が全て取り除けています。

深く虫歯で削ってしまった箇所は神経に近づいています。神経を保護するためにも、削った箇所をレジンでコーティングしています。
頬っぺた側の古いレジンも中を確認します。

レジンを外すと、赤い検知液で染まる箇所がありました。
こちらもしっかりと綺麗にしてから、

新しくレジンで修復します。
1つの歯で部分的に数か所レジンが入っている場合、しっかりとすべてのレジンを取り除き、内部を確認します。
もし、古いレジンの中に虫歯が残っている場合、新しく詰めたものに進行される可能性があります。
せっかく治療したのに、数年後に別の個所からの虫歯が広がったということにならないようにしましょう。
この歯の虫歯を全て取り除きましたので、後は最終的な修復を行います。
今回はセラミックインレーにより修復を行います。
歯の形を整えて歯型をとっていきます。
歯の色を色見本で確認します。その方の歯の色に合ったセラミックを専門の技工士が製作します。

後日セラミックが歯にセットされた状態です。

綺麗に歯にセットされています。どこを治療したか分かりますか?
歯の色に綺麗に仕上がり、ピッタリと歯と一体になっています。
虫歯も全て取り除き、しっかりとセラミックが入っていますので、将来的にも安心ですね。
詰め物の中の虫歯は自分では気づけない場合が多くあります。
歯は一度治療したから安心というものではありません。
一度虫歯になっているということは、今まで通りの生活習慣をしている限り、新しく虫歯になりますし、やってもらった歯医者によっても予後が違います。
ちゃんとレジンが接着されていない場合や、虫歯の取り残しにより、虫歯が数年後に再発する可能性があります。
担当医の低い技術によるものですが、受けている患者さんは分かりません。
エックス線による定期的な歯の検診を行い、虫歯を検査してもらいましょう!
当院では歯により良い治療を提供しています。
そのため当院での虫歯治療は保険適応外です。
【治療費】
・セラミックインレー
費用:110,000円 (税込)
(別途型取り代がかかります)
【施術の副作用やリスク】
治療中または治療後に出血や痛みや腫れを伴う場合があります。
この記事の著者・監修者:院長・歯科医師 小笠原慶一