世田谷・目黒区、自由が丘駅南口徒歩3分の歯医者
デンタルアトリエ自由が丘歯科の院長の小笠原です。
検診で虫歯の疑いが確認された、40代女性の方です。
歯医者さんでは、レントゲン検査(エックス線)を行い虫歯のチェックをします。
レントゲンで虫歯の影を確認するのですが、実際に虫歯があるのかは、歯の内部を削ってみないと確定しないことが多くあります。
特に他院で治療している場合、前の先生の治療癖があり、それによって症状が残ってい場合も多くあります。
今回のケースです。
患者さんですが、症状はたまに違和感がある程度で、痛みは感じていません。前医でハイブリッドセラミックインレーで治療をしてもらったようです。治療は5年以内と比較的新しいようです。
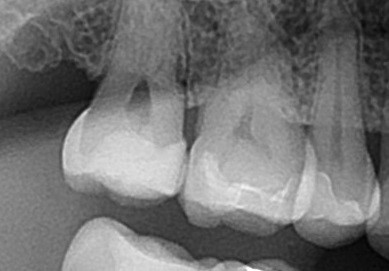
問題のれレントゲン写真を確認してみると、

右上の奥歯です。一番奥の歯ですが、歯の内部になにやら黒い影があります。

そう、矢印で示したここに、黒い影があります。
お口の中を見てみると、

このような状態です。

今回の歯はこちらの青枠の歯ですね。
他の歯にも詰め物が入っています。均一な黄色みがあり、歯と浮いた感じに詰められているため、ハイブリッドセラミックという材料だと推測が出来ます。
ハイブリッドセラミックは、名前に「セラミック」を使っているので、100%のセラミック材料と間違えている方が多くいるのですが、実際には「強化プラスティック」のようなもので、セラミックではありません。ただの合成樹脂です。材料も歯より柔らかく、耐久性はなく壊れやすい材料となっています。
治療後によくトラブルにもなるので、こちらの記事にも書いてあります☟
セラミック?が欠けた?よくあるトラブル
今回は壊れた訳ではなく、詰め物の中の状態のことですが、
患者さんに状況を説明します。
エックス線で影がある場合、可能性としては①虫歯がある場合と、②隙間がある場合によるものです。どちらもその箇所が空洞になっているので黒く写ってきます。
今回の場合は、

詰め物の間に横に広がり層状に黒く見えるために、詰め物に隙間があるのではないかと思われます。
隙間ですが、これがいいかというと、いいわけではありません。ただ単に担当医の施術ミスということと言えます。通常ですと隙間の内容に詰め物を埋めていかなくてはいけません。
隙間に虫歯菌が残っている場合に、虫歯は再発しますし、隙間は力がかかった際のひずみにより、詰め物が壊れたり、外れたり、最悪の場合、歯が欠ける原因になる可能性があります。
内部の状況は、詰め物を削り取って見なくては分かりません。患者さんの同意のもと、治療に入ります。
詰め物を削っていきます。

表面からハイブリッド材料を削って取っていきます。
中からうっすら白い材料が見えてきました。
ハイブリッドは柔らかいのですぐに削れます。

中から白い材料が出てきました。これはセメントと呼ばれる材料です。
保険でよく使われ、虫歯が深い場合に神経を保護するように削った箇所に埋め固めます。
主に保険治療を行い、時々自費で治療する医院によくあるのですが、最後の詰める材料はハイブリッドセラミックと自費材料で、それまでの虫歯治療と埋める材料はいつも通りに保険材料でされます。
何かというと、自費治療と言いながら材料のみが自費というだけで、それまでの内部の施術が保険材料という、いわば手抜き工事みたいな治療ということです。(手を抜いているわけではないと思いますが)
多くの歯医者ではよくあるのですが、虫歯治療を始める前ではなく、ある程度行ったところで、
「詰め物ですが、保険にしますか?自費にしますか?」と説明があることです。
この場合、最後に乗っける材料だけが自費のいい素材ということで、それまでの内容は保険である場合が多いです。
患者さん側も、自費のいい治療をしてもらったのに、実はうまく詰められていない。
ということが良くあります。
さらに中を削っていくと、
インレーの部分が取れて、セメントが出てきます。
この間に隙間がありました。

古いセメント材料は削り取ってしまいます。

セメントをほぼとったところ、中が茶色くなっています。
かなり深いところまで虫歯治療がされていたようです。
今回の原因は、セメント材料の間に隙間がありました。大きく虫歯が広がってはいませんでしたが、不安が解消されました。
あとは、削り取ったところをレジン材料を歯に接着させて、隙間の無いように埋めます。
歯の形を整えて歯型を取っていきます。

歯の色見本で歯の色を記録して、セラミックインレーを製作します。
後日セラミックがセットされた状態です。

綺麗にセラミックがセットされました。治療した個所が分からないくらいに仕上がりましたね。
ハイブリッドインレーとは全く違います。


術前と術後です。
エックス線写真も比較してみてみましょう。


しっかりと密閉され、歯と一体型になっているのがわかります。他の歯にみられる、セラミックとのつなぎ目も見られません。この状態だとしっかりと接着され安心となります。
患者さんからするとちゃんと治療をしたと思っていても、実は歯の中の状態はどうなっているか分からないものです。
見えないところだからこそ、手を抜かずに確実に治療をするのが大切ですよね。私は日々そう思いながら治療に当たっています。
当院では歯により良い治療を提供しています。
そのため当院での虫歯治療は保険適応外です。
【治療費】
・セラミックインレー
費用:110,000円 (税込)
(別途型取り代がかかります)
【施術の副作用やリスク】
治療中または治療後に出血や痛みや腫れを伴う場合があります。