院長の小笠原です。
ゴールドインレーは一般的に「金歯」とも言われ、
金を主成分として14k、18kの「金合金」であったり、白金(プラチナ)を混ぜた「白金加金」と呼ばれる材料のことです。
「金合金」か「白金加金」のどちらかは医院によって違います。なぜか?
簡単に説明すると、担当する先生の好みとなります。そしてどちらが優れているということではありませんので、正直どちらでもいいと思います。ちゃんと治りますし、長持ちします。しかし、今回のケースのように、何を選んだら良いということだけではありませんので、最後まで見てくださいね。
ネットで調べると、ゴールドは歯にとってのメリットの記載が多く
- 歯になじみやすい
- しっかりと適合すると虫歯になりにくい
- 噛みあう歯を傷つけない
- 壊れない
などなど、欠点である「見た目が金」という審美性以外は良いことばかりの記載が目立ち、当院でもゴールドを修復材料として希望される方も多くいらっしゃいます。
確かに良い材料で、私もおすすめはします。しかし、治療をしたら全て安心ということではありませんので、今回のケースのお話をしていきましょう。
40代女性。検診で虫歯が見つかった患者さんです。
虫歯の歯はゴールドインレーが入っており、もう何年も前に治療したようです。
お口の中を見てみると、

奥歯の歯ですがゴールドインレーが入っています。
レントゲン検査(エックス線)で虫歯を確認しているのですが、この歯に虫歯があります。
これは金合金なのか、白金加金なのか、正直見分けはつきません。材料の組成は治療した先生しか分かりません。どちらの方が優れているという訳ではなく、しっかりと治療がなされていれば問題はなく、信頼できる担当医の先生がより良いと思われる材料を選ばれるのが良いではないでしょうか。
材料はあくまで、材料です。下手な先生が治療すれば、良い材料でも絶対に長持ちしません。
お話を戻して治療に入ります。
患者さんに状況をご説明して、同意のもと治療を行います。
インレーを削って外していきます。

外れました。セメントと呼ばれる白い接着剤が付いています。
ゴールドインレーがしっかりと装着されていたので、インレーの下は綺麗な状態でした。
では、どこに虫歯があるのでしょうか?
実は、こちらです。

矢印のここは、奥歯との間です。

外す前の状態だと、この奥歯との歯と歯の間です。ここから虫歯が入り込んでいました。
さらに、

接している奥歯の歯にも虫歯があります。歯と歯の間に汚れがたまり、こちらから徐々に虫歯が侵入したのですね。
奥の歯の虫歯は小さい虫歯なので、そこだけ削り取って治します。

虫歯を取って、レジン材料で修復します。ダイレクトボンディングとも言われます。

白いレジン材料で修復が終わりました。穴がふさがっています。
ゴールドが入っていた歯ですが、大きく虫歯が広がっていた訳ではありませんでした。
虫歯はしっかりと取り除き、新しい詰め物が入れられるように歯の形を整えます。
今回はゴールドではなく、セラミックを使い修復します。
患者さんの希望としては、絶対にゴールドがいいという訳でもなく、すごく噛み合わせが強いという訳でもなく、審美的な希望もありましたので、相談のもと、セラミックインレーにて修復することとしました。
何かしら大きなリスク等が無ければ、この材料を使わなければいけないという訳ではありません。現在、セラミックは歯と同等の硬さもあり、しっかりと設計した上で使用すれば、割れるということではありません。その方の希望や状況によって相談しながら材料を決めていきます。
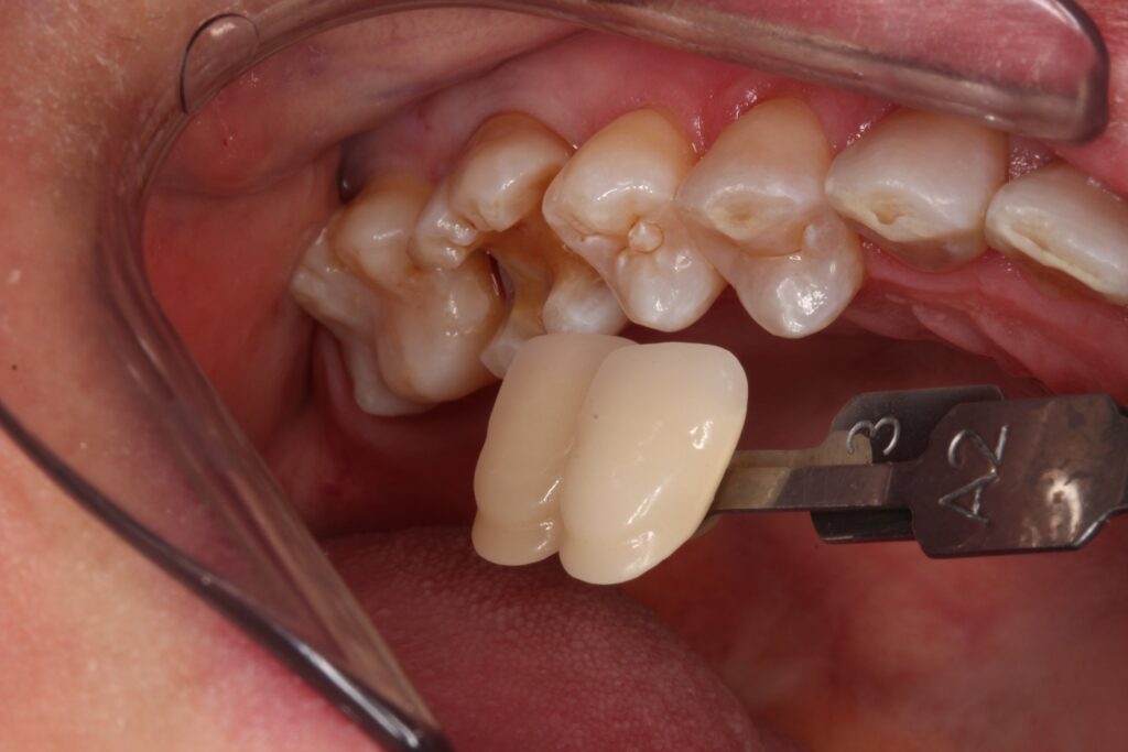
あとは、歯型を取っていきます。セラミックインレーですので、その方の歯の色に合わせて製作します。

色見本で歯の色を記録し、専門の歯科技工士がその方に合った歯を製作します。
後日、セラミックインレーがセットされた状態です。

綺麗にセラミックがセットされました。
どこを治療したか分からないくらいに仕上がりましたね(^^)


金属材料は、存在感がありますね(*_*)
噛む力が強い人、奥歯で見えにくい場所、セラミックが割れてしまう方などは、金属材料を使うことも良いかもしれません。その方に応じて、材料を選択するのがよろしいかと思います。
途中でお話ししたように、材料はあくまで材料です。
下手な先生に治療してもらうと、良い材料を使ったとしても長くはもちません。セラミックがすぐ割れる先生もいます。上手な先生に治療してもらうと、銀歯だろうが長持ちします。
しかし、今回のように、治療した場所ではない所から虫歯が侵入した場合、材料に関係なくその歯は虫歯になります。
良い材料で治療したから安心。という訳では全くありません。
日々の歯のケア、虫歯予防を心掛け、歯医者さんでの定期健診とプロフェッショナルケアをしてもらうことで、新しい虫歯にならないようにしていきましょう(^^)/
虫歯予防のコラム記事です☟
どこよりも分かる虫歯の解説①【虫歯になりやすい人編】
当院では歯により良い治療を提供しています。
そのため当院での虫歯治療は保険適応外です。
【治療費】
・セラミックインレー
費用:110,000円 (税込)
(別途型取り代がかかります)
・ダイレクトボンディング
費用:16,500円~44,000円(税込)
(治療範囲によります)
【施術の副作用やリスク】
治療中または治療後に軽い出血や痛みを伴う場合があります。また治療により歯がしみることもあります。
「デンタルアトリエ自由が丘歯科」小笠原院長の書籍

『歯のトリセツ』
誰もが嫌いな歯の治療。虫歯になる人には共通点があります。基本的な「歯」の扱い方がわかる1冊。あなたの歯の取扱説明書です。
書籍購入のURLはこちら>>>https://amzn.to/2ISey4G

『ホワイトニングはまだやるな!』
ネックになりやすい治療費の話も含め、一般の目線に立って、実践できる歯の守り方、歯医者との向き合い方を具体的に解説してくれる一冊です。
書籍購入のURLはこちら>>>https://amzn.to/3aFwYif
この記事の著者・監修者:院長・歯科医師 小笠原慶一