世田谷・目黒区、自由が丘駅南口徒歩3分の歯医者
デンタルアトリエ自由が丘歯科の院長の小笠原です。
歯の詰め物が取れたままになっている。ちゃんと歯を治したい。
という希望の患者さんです。40代女性。
詰め物が外れてそのままの状態になっているという方は多くいらっしゃいます。
歯医者へ行くタイミングを逃し、また特に痛みが無く生活に支障がない場合、ついついそのまま放置しているといった具合です。
実際に今回のケースもそうですが、取れてそのままの状態の方が歯ブラシなどのお手入れがしやすく、逆に虫歯が広がらないという事もあります。中途半端に付いていると銀歯の下で虫歯菌が繁殖し、中で虫歯が進行する可能性もあります。
しかし、絶対に取れたまま放置しないでくださいね!
虫歯にはならなくても、歯が寄ってきたり、歯が割れたりと、取り返しのつかないことになる場合もあります。歯はちゃんと治して元の状態に完了させなければいけません。
今回のケースに戻りましょう。
お口の中は、

上の真ん中の歯ですが、詰めてあったものが外れた状態です。表面は茶色く、虫歯があります。
まずは虫歯を綺麗に取ってきましょう。
表面から削っていくと、案外歯の中は綺麗で、虫歯が進行しているというよりか、表面の着色汚れで茶色くなっていたようです。

しかし、一部、茶色く中に進行した虫歯はありますので、ちゃんと取っていきます。
また忘れてはいけないのは、取れたところだけでなく、その歯の虫歯をすべて取りきるという事です。
実際に、

手前との歯の間に、初期ですが黒い虫歯がありました。
ここを治療せずに、取れたところだけやった場合、後々に虫歯が進行され再発。再度治療をやり直さなければならない可能性も出てきます。
見過ごされるケースもよくあります。

虫歯は綺麗に取り除き、削った表面をレジンでコーティングして形を整えます。
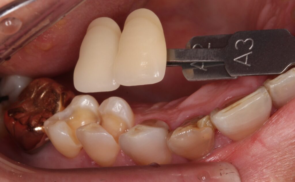
今回はセラミックインレーにて修復を行います。

歯の色を記録して、その方に合ったセラミックを専門の技工士が製作します。
後日セラミックをセットします。

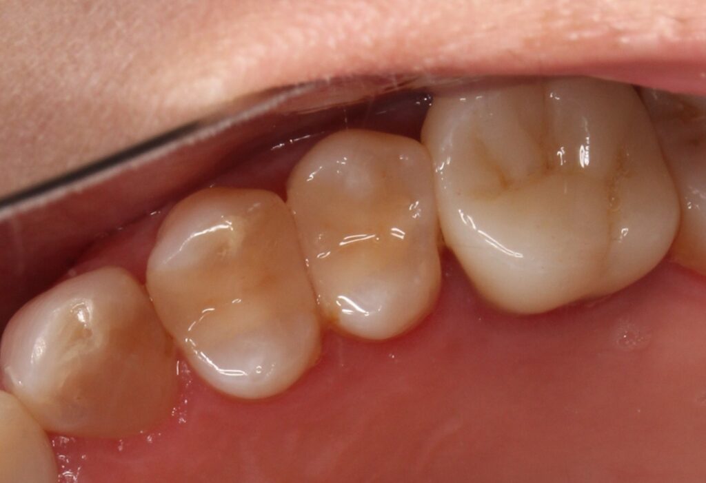
セラミックが装着してあります。
治療した箇所が分からないくらい綺麗に仕上がりました(^^)/
しかし、よく見るとなのですが、歯が窮屈な感じがします。
何かというと、歯と歯の間の詰め物が無かったので、歯が寄ってきてしまい、元の歯と同じサイズで仕上げられないのです。
状態を完全に元に戻そうとすると歯列矯正が必要になります。
患者さんもそれは望んでいませんし、噛み合わせも安定しているので、不都合はほとんどありません。
今回はこの状態で治療が終了です。
術前と術後の状態です。


一つ奥歯のゴールドクラウンも、セラミックに変えています。
やはり白い歯は明るく綺麗に仕上がりますね(^^)
詰め物が取れてしまった場合、早めに歯医者さんで治療をしてもらいましょうね!
当院では歯により良い治療を提供しています。
そのため当院での虫歯治療は保険適応外です。
【治療費】
・セラミックインレー
費用:110,000円 (税込)
(別途型取り代がかかります)
【施術の副作用やリスク】
治療中または治療後に軽い出血や痛みを伴う場合があります。また治療により歯がしみることもあります。
「デンタルアトリエ自由が丘歯科」小笠原院長の書籍

『歯のトリセツ』
誰もが嫌いな歯の治療。虫歯になる人には共通点があります。基本的な「歯」の扱い方がわかる1冊。あなたの歯の取扱説明書です。
書籍購入のURLはこちら>>>https://amzn.to/2ISey4G

『ホワイトニングはまだやるな!』
ネックになりやすい治療費の話も含め、一般の目線に立って、実践できる歯の守り方、歯医者との向き合い方を具体的に解説してくれる一冊です。
書籍購入のURLはこちら>>>https://amzn.to/3aFwYif
・公式ホームページ
・アメブロ
当院の治療の内容が見られます ≫デンタルアトリエYoutubeチャンネル
デンタルアトリエ自由が丘歯科
自由が丘駅から徒歩3分
世田谷区奥沢-30-8-2F
診療時間9:30~18:00
☎03-6715-6603
この記事の作成者