院長の小笠原です。
今回は他院でドックスベストセメントを使った治療の予後不良のケースです。
ちょっと前置きの説明が長くなります。ケースを見たい方は、写真がある下の方に進んでくださいね(^^)/
初めに、当院ではドックスベストセメントは使っておりません。
削らない虫歯治療とは?
ドックスベストセメントとは、殺菌作用のあるセメントというお薬を塗ることで、虫歯を削らずに治療するという治療方法です。
「歯を削らずに治療!」という、なんともありがたい、誰もが飛びつきそうなキャッチワードですね。
しかし、世の中そんなにうまい話はありません。
特に「虫歯で溶けた歯」というのは再生する訳ではありません。
他にも、「3Mix法」「オゾン治療」「カリソルブ?」「レーザー治療」など、虫歯を削らすに治療するという治療方法が世の中にはあるようです。
(※レーザーはEr:YAGレーザーは当院でも使用しますが、レーザーだけで虫歯治療をすることはやっていません)
そもそも、ちょっと考えてみると分かるのですが、
そんなに良い治療だったら世界中で基準となる治療方法になっていますし、大学病院などで採用され、学生たちが大学で教わります。
しかし、そうなっていなのが現状です。
歯科では、他にも治療に使用する機械や材料ではなく、オーリングテスト(O-リング)と呼ばれる、感覚的な治療などもあります。
悩んでいる方は藁にも縋る思いで治してくれる先生を探すのですが、宗教じみています。
そのような治療を世界的な基準ではなく行っている病院があります。否定はしていません。信じるか信じないかはあなた次第です。
ただ、あなた次第で医療をしてはいけません。
特に日本では、一度免許を取得すると、更新も定年もありません。40年前の知識のままであったり、一般的ではない施術を行っても、法に触れなければ免許を剥奪されることがありません。
メディアでも最新医療や、変な治療法を紹介することがありますが、内容が間違っていても一切責任は取りません。「新常識」といった視聴率を取るだけの話題性のあるネタに騙される人が多くいます。
虫歯に感染した歯質は最低限削る必要はあります。学会のガイドラインでもそのように決まっています。
実際にドッグスベストセメント治療の数年後
40代女性。
以前、ドックスベストセメント治療をしたもらったところが痛い。
4年前にドックスベストセメントで治療をしてもらい、これまでに1度詰め物が取れてやり直してもらった。今回、痛みが出てきた。という事です。
ドックスベストで治療してもらった患者さんに多く共通するのですが、「詰めたところが取れて、やり直してもらう」という事です。今回のケースを見ると分かるのですが、虫歯を残して詰め物をするので、詰め物が歯に接着せずに、後々に取れることが多いと思われます。(←これは全く良いことではありません)
お口の中を見てみましょう。

ここで一番奥の歯が治療してもらった歯です。

青い枠の場所にレジンというプラスチック樹脂が詰めてあります。材料の色が白いので一見分からないかも知れません。
しかしよく見てみると、

詰め物の際に、何やらあやしく黒くなっている所があります。
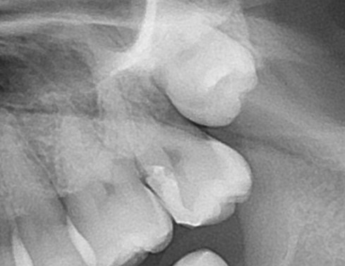
エックス線(レントゲン検査)で歯の中を見てみましょう。

一番奥に生えてきていない親知らずがあります。一つ手前の白く詰め物がされている歯です。

☝歯の神経は赤く記したここにあり、

☝青い箇所がレジンが詰めてあります。
神経に近く、ほぼ神経に触れるように詰め物がされています。

☝詰め物がうまく詰められておらず、飛び出て段差になっていることも見て取れます。
患者さんに状況を説明して治療に入ります。
レジンを削って中の状態を見ていきましょう。

表面から削っていきます。
先ほど、歯ぐきの際が黒くなっていましたが、さらに中に続くように虫歯が進行しているのが分かります。

さらに削ると内部は黒く、
歯ぐきは炎症を起こしているので出血してきます。

ほとんどのレジンが剥がれ、内部に白いセメント?が見えます。これが詰めてあるセメントですかね。
余分な詰め物は削って取り除きます。

セメントも取り除くとこのような状態です。
詰め物の中で、茶色く虫歯が広がっているのが確認できます。

虫歯を染色する「う蝕検知液」で染め出すと、青く虫歯が広がっているのが確認できます。
ドックスベストセメントの中は虫歯でドロドロです。
後はしっかりと虫歯を取り除き、最終的な詰め物をしていきます。
神経にもダメージがあったので、MTAセメントで神経を保護しました。
症状が落ち着いたのを確認した後に、形を整えて、型取りを行います。

セラミックインレーにて修復を行います。その歯にぴったりと合うように専門の歯科技工士がセラミックを製作します。

セラミックがセットされました。
綺麗に仕上がりましたね(^^)/

隙間が無く、今後も虫歯が入り込むリスクが無くなりますね。
治療してから、1年後の状態です☟

自発痛症状はその後はありません。
多少の知覚過敏症状はあるようです。ちゃんと神経は生きています。
今後も経過を見ながら歯を守っていきましょうね(^^)/
削らない治療のデメリット
ちょっと考えると分かることですが、
治療のコンセプトであるように、虫歯を削らず残して治療しています。
ドロドロ虫歯が残っている、接着できない状態で詰め物されているので詰め物は取れます。
今回も詰め物も段差があり、うまく詰められておらずどんどん虫歯菌が侵入されるようになっています。
これらにより虫歯が進行し、痛み症状が出てきたと考えられます。
削らない薬に頼る歯科医師は、歯を修復する技術が下手な傾向があります。
何しろ薬に頼るくらいですから。
海外ではトレーニングして技術を磨くのが一般的です。
「今回がたまたまそうだっただけ?」
まぁそれもあるかもしれません。しかし、この治療をしに探して遠方まで治療に行ったということでしたので、専門の先生の施術でしょう。(一度詰め物が取れた際も施術してもらった先生の所へ行ったようです)
先月も、その専門の医院に行ったという別の患者さんが来院されました。
たまたまで悪くなったら患者さんも可哀想です。
このような治療は、すぐに症状が出ない場合が良くあります。
突貫工事、手抜き工事じゃないですが、その時の見た目は良くても、数年たってくると再発するという事が多くあります。
数年たったその時では、元の治療が悪かったのか?患者さんの虫歯リスクのせいなのか?原因が分かりません。
「本来、神経を取るはずだったが、取らずに数年もったから良いのでは?」
という考え方もあるでしょう。
どのような治療方法を選択するかは患者さん次第となります。
しかし、より良い方法として、しっかりと治療をして今後の生活で不安の無いようにするという選択肢もあると思います。
私のこれまで多くの患者さんを治療していますが、他院のやり直し治療をするケースが多いです。
そのなかで「3Mix法」であったり「ドックスベストセメント治療」の予後不良の方を良く見ます。
私はそのような削らない治療はやりません。(オーリングはやりません笑 医学ではなく宗教)
《まとめ》
できれば歯を削りたくはないです。
しかし悪い所を残すことで後で余計に悪くなることが考えられます。
何でもかんでも削るわけでもありません。
削りすぎないように、大切な歯の神経を取らないように神経温存療法を行います。そして、神経を残した患者さんの予後を年単位で確認し、実際に術後も経過良好で神経を取らずに治療を終えているのを確認しています。
最低限必要な処置はあり、治療をする時に、ちゃんと治療をすることで歯の寿命を延ばすことができます。
当院では歯により良い治療を提供しています。
そのため当院での虫歯治療は保険適応外です。
【治療費】
・セラミックインレー
費用:110,000円 (税込)
(別途型取り代がかかります)
【施術の副作用やリスク】
治療中または治療後に軽い出血や痛みを伴う場合があります。また治療により歯がしみることもあります。
「デンタルアトリエ自由が丘歯科」小笠原院長の書籍

『歯のトリセツ』
誰もが嫌いな歯の治療。虫歯になる人には共通点があります。基本的な「歯」の扱い方がわかる1冊。あなたの歯の取扱説明書です。
書籍購入のURLはこちら>>>https://amzn.to/2ISey4G

『ホワイトニングはまだやるな!』
ネックになりやすい治療費の話も含め、一般の目線に立って、実践できる歯の守り方、歯医者との向き合い方を具体的に解説してくれる一冊です。
書籍購入のURLはこちら>>>https://amzn.to/3aFwYif